Suppr超能文献

僵人样综合征:垂体大腺瘤伴全垂体功能减退的一种不寻常表现。

Stiff Person-Like Syndrome: An Unusual Presentation of Pituitary Macroadenoma with Panhypopituitarism.

作者信息

Goh Kian Guan, Yusof Khan Abdul Hanif Khan, Nasruddin Azraai

机构信息

Department of Endocrinology, Hospital Putrajaya, Putrajaya, Malaysia.

Department of Neurology, Faculty of Medicine and Health Sciences, Universiti Putra Malaysia, Serdang, Malaysia.

出版信息

Case Rep Neurol. 2022 Mar 18;14(1):157-161. doi: 10.1159/000522253. eCollection 2022 Jan-Apr.

Abstract

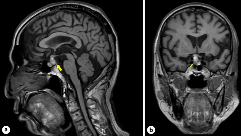
Pituitary adenoma can manifest as pituitary hypofunction, which can cause symptoms of panhypopituitarism. Commonly, symptoms of hormonal deficiencies such as lethargy, weight change, cold intolerance, and sexual dysfunction are reported. Optic chiasmal compression leads to visual field changes and the discovery of the pituitary lesion. However, limb stiffness is a rare presentation of hypopituitarism, especially hypocortisolism. We report a 68-year-old man who presented with progressive lower limb stiffness associated with truncal instability mimicking a stiff person syndrome (SPS). Hypoglycaemia and hyponatraemia prompted the discovery of pituitary macroadenoma with panhypopituitarism. Investigation showed pituitary macroadenoma on magnetic resonance imaging with hypocortisolism, hypothyroidism, and hypogonadotropic hypogonadism. After initiating hydrocortisone replacement, the patient had complete resolution of lower limb stiffness with no permanent neurological sequelae. It is postulated that hypocortisolism and hyponatraemia disrupt the metabolic function of muscle leading to stiffness. As a result, lower limb rigidity, flexion deformities, and pain are more common. Differentiating adrenal insufficiency associated with rigidity and SPS is important as the response to treatment for both conditions differs. Prompt treatment leads to fast resolution and prevents contractures in adrenal insufficiency-associated rigidity. Thus, recognizing limb rigidity as the first presentation of hypopituitarism is important to avoid long-term complications.

摘要

垂体腺瘤可表现为垂体功能减退,进而导致全垂体功能减退的症状。常见的是出现如嗜睡、体重变化、不耐寒及性功能障碍等激素缺乏症状。视交叉受压会导致视野改变以及垂体病变的发现。然而,肢体僵硬是垂体功能减退尤其是皮质醇缺乏症的一种罕见表现。我们报告一例68岁男性,表现为进行性下肢僵硬并伴有躯干不稳,类似僵人综合征(SPS)。低血糖和低钠血症促使发现垂体大腺瘤伴全垂体功能减退。检查显示磁共振成像发现垂体大腺瘤,伴有皮质醇缺乏、甲状腺功能减退和低促性腺激素性性腺功能减退。开始氢化可的松替代治疗后,患者下肢僵硬完全缓解,无永久性神经后遗症。据推测,皮质醇缺乏和低钠血症会破坏肌肉的代谢功能,导致僵硬。因此,下肢僵硬、屈曲畸形和疼痛更为常见。区分与僵硬相关的肾上腺功能不全和SPS很重要,因为这两种情况的治疗反应不同。及时治疗可快速缓解并预防肾上腺功能不全相关僵硬中的挛缩。因此,将肢体僵硬识别为垂体功能减退的首发表现对于避免长期并发症很重要。

https://cdn.ncbi.nlm.nih.gov/pmc/blobs/1bac/9035960/10b79e2522ed/crn-0014-0157-g01.jpg

文献检索

告别复杂PubMed语法,用中文像聊天一样搜索,搜遍4000万医学文献。AI智能推荐,让科研检索更轻松。

立即免费搜索

文件翻译

保留排版,准确专业,支持PDF/Word/PPT等文件格式,支持 12+语言互译。

免费翻译文档

深度研究

AI帮你快速写综述,25分钟生成高质量综述,智能提取关键信息,辅助科研写作。

立即免费体验