Suppr超能文献

行微波消融术治疗肺部磨玻璃结节患者的肺功能变化的相关因素。

Factors Associated with Pulmonary Function Changes in Patients Undergoing Microwave Ablation for Pulmonary Ground-Glass Nodules.

机构信息

Department of Interventional and Vascular surgery,the Affiliated Hospital of Putian University, Putian 351100, China.

Department of Respiratory and Critical Care Medicine,the Affiliated Hospital of Putian University, Putian 351100, China.

出版信息

Technol Cancer Res Treat. 2022 Jan-Dec;21:15330338221094429. doi: 10.1177/15330338221094429.

Abstract

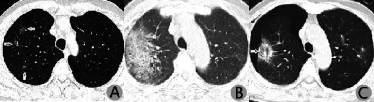
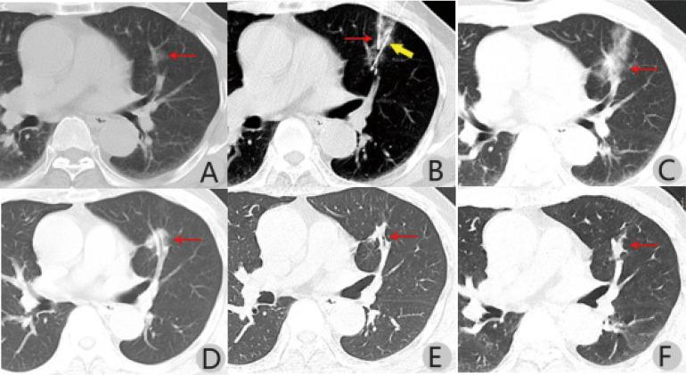
Microwave ablation has become an alternative treatment for pulmonary ground-glass nodules (GGN) and is widely accepted by clinicians. However, its effect on lung function remains unknown. Therefore, this retrospective study aimed to explore pulmonary function changes and associated risk factors in patients undergoing computed tomography (CT)-guided microwave ablation (MWA) for treating pulmonary GGN. Thirty-five patients diagnosed with pulmonary GGN on thin-layer chest CT and enhanced CT were examined. Patients unable or unwilling to undergo thoracoscopic surgery underwent CT-guided simultaneous percutaneous core needle biopsy and MWA. Pulmonary function tests (PFT) were performed before ablation and 3 days and 6 months post-ablation. Forced expiratory volume in one second (FEV1), FEV1%, forced vital capacity (FVC), maximal voluntary ventilation (MVV), and peak expiratory flow (PEF) values pre- and post-MWA were analysed. Linear regression analysis was used to examine the correlation between ablation volume and changes in PFT findings 3 days post-ablation. Associations between patient characteristics, rates of postoperative complications, and PFT findings were analysed. Forty-eight lesions were completely ablated and examined intraoperatively. There were significant differences in pre- and post-operative PFT findings on day 3 but not at 6 months. The mean ablation volume after 3 days of 11.4 ± 6.3 cm was positively correlated with changes in FEV1, MVV, and PEF values. Patients' age (mean, 59.4 ± 13.0 years) positively correlated with changes in PEF values. The rates of change in FVC and MVV values were significantly higher with multiple pulmonary nodules than with isolated pulmonary nodule. PFT findings were similar between patients who experienced or did not experience complications (eg, pneumothorax and pleural effusion). Pulmonary function could be impaired shortly after MWA. PFT findings may correlate with age, ablation volume, and number of ablated lesions. In most patients, pulmonary function returned to the preoperative state after 6 months.

摘要

微波消融已成为治疗肺部磨玻璃结节(GGN)的一种替代治疗方法,被临床医生广泛接受。然而,其对肺功能的影响尚不清楚。因此,本回顾性研究旨在探讨 CT 引导下微波消融(MWA)治疗肺部 GGN 患者的肺功能变化及其相关危险因素。

对经薄层胸部 CT 和增强 CT 诊断为肺部 GGN 的 35 例患者进行了检查。对于不能或不愿接受胸腔镜手术的患者,进行 CT 引导下经皮同轴芯针活检和 MWA。在消融前和消融后 3 天和 6 个月进行肺功能检查(PFT)。分析 MWA 前后的 1 秒用力呼气量(FEV1)、FEV1%、用力肺活量(FVC)、最大自主通气量(MVV)和呼气峰流量(PEF)值。采用线性回归分析评估消融体积与 3 天 PFT 检查结果变化之间的相关性。分析患者特征、术后并发症发生率与 PFT 检查结果之间的关系。

48 个病灶完全消融并在术中检查。术后 3 天的 PFT 检查结果与术前有显著差异,但在 6 个月时无差异。术后 3 天的平均消融体积为 11.4±6.3cm,与 FEV1、MVV 和 PEF 值的变化呈正相关。患者年龄(平均 59.4±13.0 岁)与 PEF 值的变化呈正相关。多发肺部结节患者的 FVC 和 MVV 值变化率明显高于孤立性肺部结节患者。有或没有并发症(如气胸和胸腔积液)的患者的 PFT 检查结果相似。

MWA 后肺功能可能会短暂受损。PFT 检查结果可能与年龄、消融体积和消融病灶数量有关。在大多数患者中,肺功能在 6 个月后恢复到术前状态。

https://cdn.ncbi.nlm.nih.gov/pmc/blobs/cae2/9118901/2885fcb20f64/10.1177_15330338221094429-fig1.jpg

文献检索

告别复杂PubMed语法,用中文像聊天一样搜索,搜遍4000万医学文献。AI智能推荐,让科研检索更轻松。

立即免费搜索

文件翻译

保留排版,准确专业,支持PDF/Word/PPT等文件格式,支持 12+语言互译。

免费翻译文档

深度研究

AI帮你快速写综述,25分钟生成高质量综述,智能提取关键信息,辅助科研写作。

立即免费体验