Suppr超能文献

SOX2 胚胎干细胞标志物和激素受体的独特表达模式表明,猪和牛子宫内膜中存在一个上皮干细胞/祖细胞亚群。

Unique expression patterns of the embryonal stem cell marker SOX2 and hormone receptors suggest the existence of a subpopulation of epithelial stem/progenitor cells in porcine and bovine endometrium.

机构信息

Department of Anatomy, Histology and Embryology, Faculty of Veterinary Medicine, University of Veterinary Sciences Brno, Brno, Czech Republic.

Department of Pathology, Znojmo Hospital, Znojmo, Czech Republic.

出版信息

Vet Med Sci. 2022 Jul;8(4):1489-1501. doi: 10.1002/vms3.802. Epub 2022 May 13.

Abstract

BACKGROUND

There are currently insufficient data on the population of endometrial epithelial stem/progenitor cells in farm animals.

OBJECTIVES

With the aim of identifying a potential population of epithelial stem/progenitor cells in the porcine and bovine endometrium, this study immunohistochemically examined the expression patterns of the oestrogen and progesterone receptors, as well as that of the embryonal stem cell marker SOX2.

METHODS

A total of 24 endometrial tissue samples obtained from cycling pigs (n = 12) and cows (n = 12) were included in our study. Each endometrium was divided into basal, middle and luminal portions. The percentage of marker-positive cells and the intensity of the immunoreaction in each portion of the endometrium were determined.

RESULTS

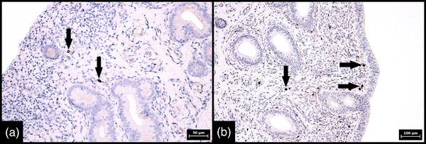
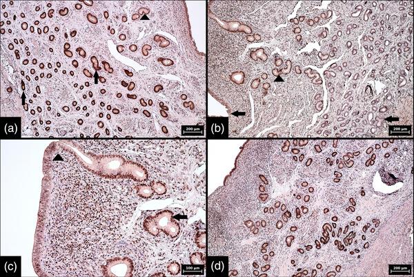
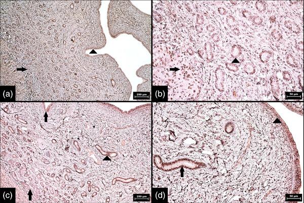
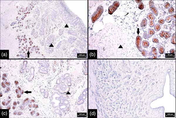
Inverse expression patterns of SOX2 and progesterone receptors were found in both animal species throughout the oestrous cycle. Strong diffuse SOX2 expression was detected in the basal portions of the glands, while a significant decrease in positivity and a weak immunoreaction were found in the luminal two thirds of the glandular epithelium. Strong progesterone receptor expression was observed in at least 90% of glandular cells in the middle and luminal portions, whereas weak staining and significant decrease in positivity were detected in the basal portions of the glands. One oestrogen receptor expression pattern resembled that of progesterone receptors.

CONCLUSION

The inverse expression patterns of SOX2 and hormone (especially progesterone) receptors suggest that endometrial epithelial stem/progenitor cells represent a subset of cells that reside in the basal portions of the endometrial glands in both the bovine and porcine endometrium.

摘要

背景

目前关于家畜子宫内膜上皮干细胞/祖细胞的群体数据还不够充分。

目的

本研究旨在鉴定猪和牛子宫内膜中上皮干细胞/祖细胞的潜在群体,通过免疫组织化学方法检测了雌激素和孕激素受体以及胚胎干细胞标志物 SOX2 的表达模式。

方法

本研究共纳入 24 个来自发情周期猪(n=12)和牛(n=12)的子宫内膜组织样本。每个子宫内膜分为基底、中部和腔部。测定了标记物阳性细胞的百分比和子宫内膜各部分免疫反应的强度。

结果

在整个发情周期中,两种动物的 SOX2 和孕激素受体均表现出相反的表达模式。在腺体的基底部分检测到强烈的弥漫性 SOX2 表达,而在腺体腔部的前三分之二部分,阳性率显著降低,免疫反应较弱。孕激素受体在中部和腔部的至少 90%的腺体细胞中表达较强,而在腺体的基底部分则检测到较弱的染色和阳性率显著降低。一种雌激素受体表达模式类似于孕激素受体。

结论

SOX2 和激素(特别是孕激素)受体的相反表达模式表明,子宫内膜上皮干细胞/祖细胞代表了牛和猪子宫内膜中位于腺体基底部分的细胞亚群。

https://cdn.ncbi.nlm.nih.gov/pmc/blobs/280c/9297784/4e02c841c457/VMS3-8-1489-g009.jpg

文献AI研究员

20分钟写一篇综述,助力文献阅读效率提升50倍。

立即体验

用中文搜PubMed

大模型驱动的PubMed中文搜索引擎

马上搜索

文档翻译

学术文献翻译模型,支持多种主流文档格式。

立即体验