• 文献检索
  • 文档翻译
  • 深度研究
  • 学术资讯
  • Suppr Zotero 插件Zotero 插件
  • 邀请有礼
  • 套餐&价格
  • 历史记录
应用&插件
Suppr Zotero 插件Zotero 插件浏览器插件Mac 客户端Windows 客户端微信小程序
定价
高级版会员购买积分包购买API积分包
服务
文献检索文档翻译深度研究API 文档MCP 服务
关于我们
关于 Suppr公司介绍联系我们用户协议隐私条款
关注我们

Suppr 超能文献

核心技术专利:CN118964589B侵权必究
粤ICP备2023148730 号-1Suppr @ 2026

文献检索

告别复杂PubMed语法,用中文像聊天一样搜索,搜遍4000万医学文献。AI智能推荐,让科研检索更轻松。

立即免费搜索

文件翻译

保留排版,准确专业,支持PDF/Word/PPT等文件格式,支持 12+语言互译。

免费翻译文档

深度研究

AI帮你快速写综述,25分钟生成高质量综述,智能提取关键信息,辅助科研写作。

立即免费体验

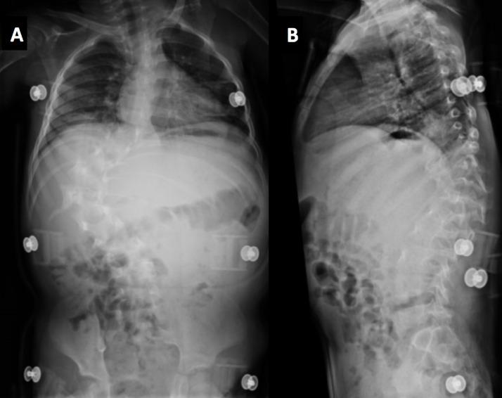
伴有周围性恶性神经鞘瘤和脊柱侧弯的丛状神经纤维瘤病——是否需要更多的监测影像学检查?

Plexiform neurofibromatosis with peripheral malignant nerve sheath tumor and scoliosis - more surveillance imaging needed?

作者信息

Kamaludin Siti Nurhazwani, Yusuf Marlina, Nicholas Warren Erwin, Paul Aaron, Teh Yong Guang

机构信息

Department of Radiology, Sabah Women and Children's Hospital, Kota Kinabalu, 88400, Malaysia.

Department of Orthopedics, Sabah Women and Children's Hospital, Kota Kinabalu, 88400, Malaysia.

出版信息

Radiol Case Rep. 2022 May 6;17(7):2388-2393. doi: 10.1016/j.radcr.2022.03.111. eCollection 2022 Jul.

DOI:10.1016/j.radcr.2022.03.111
PMID:35570863
原文链接:https://pmc.ncbi.nlm.nih.gov/articles/PMC9096456/
Abstract

Malignant peripheral nerve sheath tumors (MPNSTs) are rare but aggressive neoplasms associated with neurofibromatosis type 1. Specifically, children with deep plexiform neurofibromas are 18 times more likely to develop MPNSTs compared to the general population. However, there is currently no standard surveillance imaging protocol for children diagnosed with deep plexiform neurofibromatosis. We present a case of a boy with neurofibromatosis type 1 and scoliosis, who later developed MPNST. This case highlights the need for more frequent surveillance imaging and the challenges of diagnosing MPNST in a patient with scoliosis. In order to facilitate early detection of malignant transformation, we suggest annual surveillance MR imaging for patients known to have deep plexiform neurofibromatosis.

摘要

恶性外周神经鞘瘤(MPNSTs)虽罕见但具有侵袭性,与1型神经纤维瘤病相关。具体而言,患有深部丛状神经纤维瘤的儿童发生MPNSTs的可能性是普通人群的18倍。然而,目前对于诊断为深部丛状神经纤维瘤病的儿童尚无标准的监测成像方案。我们报告一例患有1型神经纤维瘤病和脊柱侧弯的男孩,其后来发展为MPNST。该病例凸显了更频繁进行监测成像的必要性以及在脊柱侧弯患者中诊断MPNST的挑战。为便于早期发现恶性转化,我们建议对已知患有深部丛状神经纤维瘤病的患者每年进行监测性磁共振成像检查。

https://cdn.ncbi.nlm.nih.gov/pmc/blobs/cf32/9096456/7cc696f3034f/gr5.jpg
https://cdn.ncbi.nlm.nih.gov/pmc/blobs/cf32/9096456/66ca5ceb7378/gr1.jpg
https://cdn.ncbi.nlm.nih.gov/pmc/blobs/cf32/9096456/8af86588ae0a/gr2.jpg
https://cdn.ncbi.nlm.nih.gov/pmc/blobs/cf32/9096456/fc983bbb5750/gr3.jpg
https://cdn.ncbi.nlm.nih.gov/pmc/blobs/cf32/9096456/c05d3a73ce3f/gr4.jpg
https://cdn.ncbi.nlm.nih.gov/pmc/blobs/cf32/9096456/7cc696f3034f/gr5.jpg
https://cdn.ncbi.nlm.nih.gov/pmc/blobs/cf32/9096456/66ca5ceb7378/gr1.jpg
https://cdn.ncbi.nlm.nih.gov/pmc/blobs/cf32/9096456/8af86588ae0a/gr2.jpg
https://cdn.ncbi.nlm.nih.gov/pmc/blobs/cf32/9096456/fc983bbb5750/gr3.jpg
https://cdn.ncbi.nlm.nih.gov/pmc/blobs/cf32/9096456/c05d3a73ce3f/gr4.jpg
https://cdn.ncbi.nlm.nih.gov/pmc/blobs/cf32/9096456/7cc696f3034f/gr5.jpg

相似文献

1
Plexiform neurofibromatosis with peripheral malignant nerve sheath tumor and scoliosis - more surveillance imaging needed?伴有周围性恶性神经鞘瘤和脊柱侧弯的丛状神经纤维瘤病——是否需要更多的监测影像学检查?
Radiol Case Rep. 2022 May 6;17(7):2388-2393. doi: 10.1016/j.radcr.2022.03.111. eCollection 2022 Jul.
2
Association between benign and malignant peripheral nerve sheath tumors in NF1.1型神经纤维瘤病中良性与恶性周围神经鞘膜瘤的关联
Neurology. 2005 Jul 26;65(2):205-11. doi: 10.1212/01.wnl.0000168830.79997.13.
3
Association of plexiform and diffuse neurofibromas with malignant peripheral nerve sheath tumor in NF I patients: a whole-body MRI assessment.NF I患者中丛状和弥漫性神经纤维瘤与恶性外周神经鞘膜瘤的关联:一项全身MRI评估
Skeletal Radiol. 2024 Apr;53(4):769-777. doi: 10.1007/s00256-023-04497-z. Epub 2023 Oct 31.
4
Pathology of tumors of the peripheral nerve sheath in type 1 neurofibromatosis.1型神经纤维瘤病中周围神经鞘肿瘤的病理学
Am J Med Genet. 1999 Mar 26;89(1):23-30. doi: 10.1002/(sici)1096-8628(19990326)89:1<23::aid-ajmg6>3.0.co;2-#.
5
Potential role of 18fluorodeoxyglucose-positron emission tomography/computed tomography in differentiating benign neurofibroma from malignant peripheral nerve sheath tumor associated with neurofibromatosis 1.18 氟脱氧葡萄糖正电子发射断层扫描/计算机断层扫描在鉴别 1 型神经纤维瘤病相关的良性神经纤维瘤与恶性外周神经鞘瘤中的作用。
Neurosurgery. 2009 Oct;65(4 Suppl):A160-70. doi: 10.1227/01.NEU.0000337597.18599.D3.
6
Multimodal Imaging in Neurofibromatosis Type 1-associated Nerve Sheath Tumors.1型神经纤维瘤病相关神经鞘瘤的多模态成像
Rofo. 2015 Dec;187(12):1084-92. doi: 10.1055/s-0035-1553505. Epub 2015 Sep 2.
7
Low mutation burden and frequent loss of CDKN2A/B and SMARCA2, but not PRC2, define premalignant neurofibromatosis type 1-associated atypical neurofibromas.低突变负担和频繁缺失 CDKN2A/B 和 SMARCA2,但不缺失 PRC2,定义了良性神经纤维瘤病 1 相关非典型神经纤维瘤。
Neuro Oncol. 2019 Aug 5;21(8):981-992. doi: 10.1093/neuonc/noz028.
8
Confirmation of mutation landscape of NF1-associated malignant peripheral nerve sheath tumors.神经纤维瘤病1型相关恶性外周神经鞘膜瘤突变图谱的确认
Genes Chromosomes Cancer. 2017 May;56(5):421-426. doi: 10.1002/gcc.22446. Epub 2017 Mar 7.
9
Histopathologic evaluation of atypical neurofibromatous tumors and their transformation into malignant peripheral nerve sheath tumor in patients with neurofibromatosis 1-a consensus overview.1型神经纤维瘤病患者非典型神经纤维瘤性肿瘤及其向恶性外周神经鞘瘤转化的组织病理学评估——共识综述
Hum Pathol. 2017 Sep;67:1-10. doi: 10.1016/j.humpath.2017.05.010. Epub 2017 May 24.
10
ERBB2 and ERBB3 Growth Factor Receptors, Neuregulin-1, CD44 and Ki-67 Proliferation Index in Neurofibromatosis Type 1-associated Peripheral Nerve Sheath Tumors.1型神经纤维瘤病相关周围神经鞘瘤中的ERBB2和ERBB3生长因子受体、神经调节蛋白-1、CD44和Ki-67增殖指数
Anticancer Res. 2022 May;42(5):2327-2340. doi: 10.21873/anticanres.15712.

本文引用的文献

1
Histopathologic evaluation of atypical neurofibromatous tumors and their transformation into malignant peripheral nerve sheath tumor in patients with neurofibromatosis 1-a consensus overview.1型神经纤维瘤病患者非典型神经纤维瘤性肿瘤及其向恶性外周神经鞘瘤转化的组织病理学评估——共识综述
Hum Pathol. 2017 Sep;67:1-10. doi: 10.1016/j.humpath.2017.05.010. Epub 2017 May 24.
2
Malignant Peripheral Nerve Sheath Tumor.恶性外周神经鞘膜瘤
Surg Oncol Clin N Am. 2016 Oct;25(4):789-802. doi: 10.1016/j.soc.2016.05.009.
3
MRI features in the differentiation of malignant peripheral nerve sheath tumors and neurofibromas.
MRI 特征在恶性外周神经鞘瘤和神经纤维瘤的鉴别诊断中的应用。
AJR Am J Roentgenol. 2010 Jun;194(6):1568-74. doi: 10.2214/AJR.09.2724.
4
Neurofibromatosis type 1.1型神经纤维瘤病
J Am Acad Dermatol. 2009 Jul;61(1):1-14; quiz 15-6. doi: 10.1016/j.jaad.2008.12.051.
5
Malignant Peripheral Nerve Sheath Tumor: molecular pathogenesis and current management considerations.恶性周围神经鞘膜瘤:分子发病机制及当前治疗考量
J Surg Oncol. 2008 Mar 15;97(4):340-9. doi: 10.1002/jso.20971.
6
Association between benign and malignant peripheral nerve sheath tumors in NF1.1型神经纤维瘤病中良性与恶性周围神经鞘膜瘤的关联
Neurology. 2005 Jul 26;65(2):205-11. doi: 10.1212/01.wnl.0000168830.79997.13.
7
Elevated risk for MPNST in NF1 microdeletion patients.1型神经纤维瘤病微缺失患者发生恶性外周神经鞘膜瘤的风险升高。
Am J Hum Genet. 2003 May;72(5):1288-92. doi: 10.1086/374821. Epub 2003 Mar 26.
8
International consensus statement on malignant peripheral nerve sheath tumors in neurofibromatosis.关于神经纤维瘤病中恶性外周神经鞘膜瘤的国际共识声明。
Cancer Res. 2002 Mar 1;62(5):1573-7.
9
Mortality in neurofibromatosis 1: an analysis using U.S. death certificates.1型神经纤维瘤病的死亡率:一项基于美国死亡证明的分析
Am J Hum Genet. 2001 May;68(5):1110-8. doi: 10.1086/320121. Epub 2001 Mar 28.
10
Malignant peripheral nerve sheath tumors in neurofibromatosis 1.1型神经纤维瘤病中的恶性外周神经鞘瘤
Am J Med Genet. 2000 Aug 28;93(5):388-92.