Suppr超能文献

心脏磁共振成像在肌钙蛋白血症综合征中的作用。

Role of cardiac magnetic resonance imaging in troponinemia syndromes.

作者信息

Nguyen Nguyen Nhung, Assad Joseph George, Femia Giuseppe, Schuster Andreas, Otton James, Nguyen Tuan Le

机构信息

Department of Cardiology, Liverpool Hospital, Liverpool 2170, NSW, Australia.

Department of Cardiology, Campbelltown Hospital, Campbelltown 2560, NSW, Australia.

出版信息

World J Cardiol. 2022 Apr 26;14(4):190-205. doi: 10.4330/wjc.v14.i4.190.

Abstract

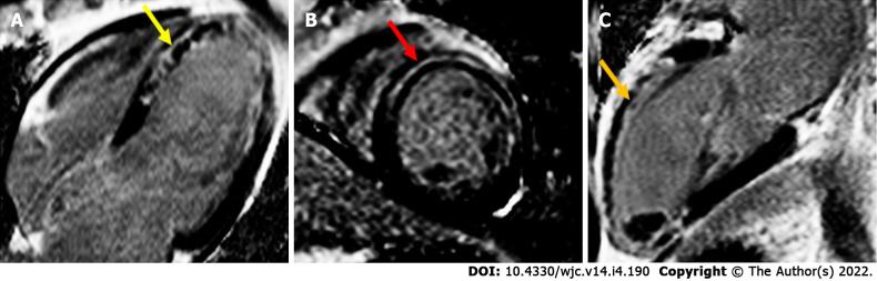
Cardiac magnetic resonance imaging (MRI) is an evolving technology, proving to be a highly accurate tool for quantitative assessment. Most recently, it has been increasingly used in the diagnostic and prognostic evaluation of conditions involving an elevation in troponin or troponinemia. Although an elevation in troponin is a nonspecific marker of myocardial tissue damage, it is a frequently ordered investigation leaving many patients without a specific diagnosis. Fortunately, the advent of newer cardiac MRI protocols can provide additional information. In this review, we discuss several conditions associated with an elevation in troponin such as myocardial infarction, myocarditis, Takotsubo cardiomyopathy, coronavirus disease 2019 related cardiac dysfunction and athlete's heart syndrome.

摘要

心脏磁共振成像(MRI)是一项不断发展的技术,已被证明是一种用于定量评估的高度准确的工具。最近,它越来越多地用于涉及肌钙蛋白升高或肌钙蛋白血症的疾病的诊断和预后评估。尽管肌钙蛋白升高是心肌组织损伤的非特异性标志物,但它是一项经常进行的检查,导致许多患者无法得到明确诊断。幸运的是,更新的心脏MRI检查方案的出现可以提供更多信息。在这篇综述中,我们讨论了几种与肌钙蛋白升高相关的疾病,如心肌梗死、心肌炎、Takotsubo心肌病、2019冠状病毒病相关的心功能障碍和运动员心脏综合征。

https://cdn.ncbi.nlm.nih.gov/pmc/blobs/db73/9048277/25bdb855c0d7/WJC-14-190-g001.jpg

文献检索

告别复杂PubMed语法,用中文像聊天一样搜索,搜遍4000万医学文献。AI智能推荐,让科研检索更轻松。

立即免费搜索

文件翻译

保留排版,准确专业,支持PDF/Word/PPT等文件格式,支持 12+语言互译。

免费翻译文档

深度研究

AI帮你快速写综述,25分钟生成高质量综述,智能提取关键信息,辅助科研写作。

立即免费体验