Suppr超能文献

一名15岁女性在车祸一年后出现创伤性膈疝。

A 15-Year-Old Female Presenting With Traumatic Diaphragmatic Hernia One Year After a Car Accident.

作者信息

Winstead Raymond C, Kumar Varun

机构信息

Pediatrics, East Tennessee State University Quillen College of Medicine, Johnson City, USA.

出版信息

Cureus. 2022 Apr 14;14(4):e24141. doi: 10.7759/cureus.24141. eCollection 2022 Apr.

Abstract

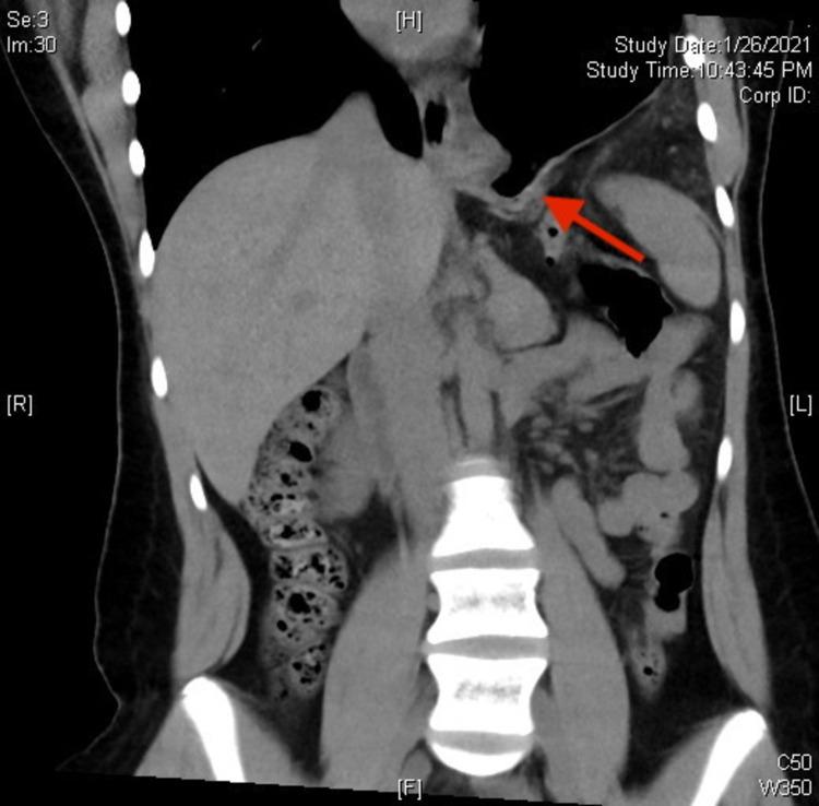
Traumatic diaphragmatic hernia (TDH) is a known complication in patients with abdominal injuries. Delayed TDH, which presents long after the traumatic event, is a rare subset and is often missed upon initial presentation. We discuss a case involving a 15-year-old female who presented with persistent nausea, vomiting, and epigastric pain and was subsequently diagnosed with TDH via chest x-ray, later confirmed by CT scan. Further investigation of the patient's history revealed a motor vehicle accident one year prior in which the patient sustained an injury to the left chest. A chest x-ray at that time did not show signs of a diaphragmatic hernia. Surgical evaluation of the diaphragmatic defect further supported previous trauma as the mechanism of injury. Our patient's presentation is particularly interesting considering the lack of TDH reported in the pediatric population, as well as the presenting complaints being primarily gastrointestinal rather than respiratory.

摘要

创伤性膈疝(TDH)是腹部损伤患者的一种已知并发症。延迟性TDH在创伤事件发生很久之后才出现,是一种罕见的类型,在初次就诊时常常被漏诊。我们讨论一例病例,患者为一名15岁女性,出现持续性恶心、呕吐和上腹部疼痛,随后通过胸部X线检查诊断为TDH,后来经CT扫描确诊。对该患者病史的进一步调查发现,一年前她曾发生机动车事故,当时左胸部受伤。当时的胸部X线检查未显示膈疝迹象。对膈肌缺损的手术评估进一步支持了既往创伤为损伤机制。考虑到儿科人群中报道的TDH病例较少,且该患者的主要就诊主诉为胃肠道症状而非呼吸道症状,我们这位患者的情况特别有意思。

https://cdn.ncbi.nlm.nih.gov/pmc/blobs/6c8a/9107306/9f6a5f415146/cureus-0014-00000024141-i01.jpg

文献AI研究员

20分钟写一篇综述,助力文献阅读效率提升50倍。

立即体验

用中文搜PubMed

大模型驱动的PubMed中文搜索引擎

马上搜索

文档翻译

学术文献翻译模型,支持多种主流文档格式。

立即体验