Suppr超能文献

内镜手术治疗迟发性急性硬膜下血肿:一例报告。

Delayed acute subdural hematoma treated with endoscopic procedure: A case report.

作者信息

Kuge Atsushi, Kondo Rei, Mitobe Yuta, Yamaki Tetsu, Sato Shinji, Saito Shinjiro, Sonoda Yukihiko

机构信息

Department of Emergency Medicine Yamagata City Hospital, Saiseikan, Nanokamachi, Yamagata, Japan.

Department of Neurosurgery, Yamagata City Hospital, Saiseikan, Nanokamachi, Yamagata, Japan.

出版信息

Surg Neurol Int. 2020 Oct 21;11:350. doi: 10.25259/SNI_529_2020. eCollection 2020.

Abstract

BACKGROUND

Delayed acute subdural hematoma (DASDH) is defined as late onset ASDH with the absence of any abnormal radiological and clinical findings at initial examination. Moreover, this entity is very rare in traumatic brain injury and its mechanism is still unclear. Recently, endoscopic surgery for ASDH has also been performed. In this case, we describe some considerations of the mechanism of DASDH and review previous literature and usefulness of endoscopic surgical procedure for ASDH.

CASE DESCRIPTION

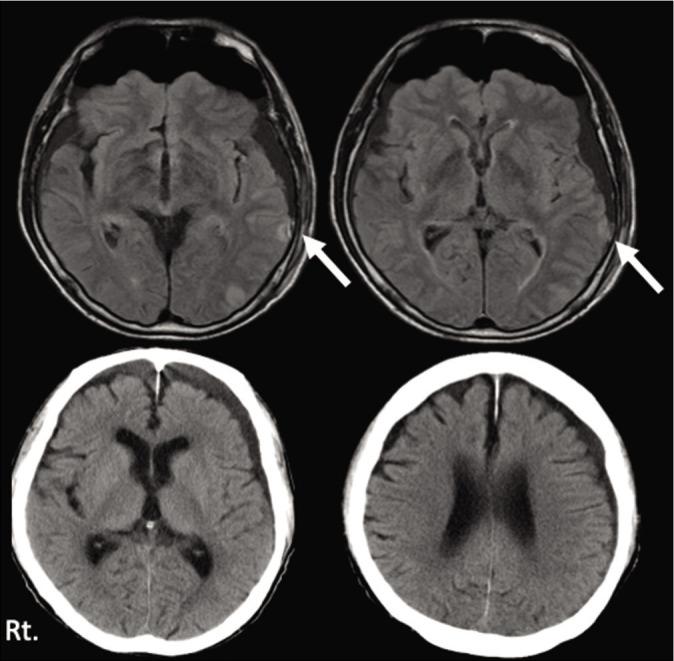
A 73-year-old man fell at night, and visited a former medical institution by himself. No abnormal neurological finding was detected. Head computed tomography (CT) detected no abnormal finding. He was diagnosed minor head injury and was hospitalized at midnight and discharged after brain magnetic resonance image (MRI) next day. Brain MRI also detected no abnormal findings. Three days later, he visited our hospital himself, because of the severe headache. Neurologically, he had a mild consciousness disturbance and head CT revealed left ASDH. We performed endoscopic evacuation of hematoma under local anesthesia. Then, the clot was evacuated under the endoscopic procedure through dilated burr hole and pulsatile bleeding from the cortical artery was observed, which was considered to be the source of the ASDH. The patient's consciousness disturbance was improved immediately after surgery and he discharged without neurological deficit.

CONCLUSION

We revealed the source of bleeding of DASDH under endoscopic procedure and described hypothesis and speculation of its cause in our case. DASDH is rare entity, so we need further experiences and more considerations.

摘要

背景

迟发性急性硬膜下血肿(DASDH)被定义为迟发性急性硬膜下血肿,初次检查时无任何异常影像学和临床发现。此外,该实体在创伤性脑损伤中非常罕见,其机制仍不清楚。最近,也开展了针对急性硬膜下血肿的内镜手术。在此病例中,我们描述了对DASDH机制的一些思考,并回顾了以往的文献以及内镜手术治疗急性硬膜下血肿的有效性。

病例描述

一名73岁男性夜间摔倒,自行前往之前的医疗机构就诊。未发现异常神经学体征。头部计算机断层扫描(CT)未发现异常。他被诊断为轻度头部损伤,于午夜住院,并在次日进行脑磁共振成像(MRI)后出院。脑MRI也未发现异常。三天后,他因严重头痛自行前来我院就诊。神经学检查发现他有轻度意识障碍,头部CT显示左侧急性硬膜下血肿。我们在局部麻醉下进行了内镜血肿清除术。然后,在内镜操作下通过扩大的骨孔清除血凝块,并观察到来自皮质动脉的搏动性出血,这被认为是急性硬膜下血肿的出血源。患者术后意识障碍立即改善,出院时无神经功能缺损。

结论

我们在内镜手术过程中揭示了DASDH的出血源,并在我们的病例中描述了其病因的假设和推测。DASDH是一种罕见的实体,因此我们需要更多的经验和思考。

https://cdn.ncbi.nlm.nih.gov/pmc/blobs/d946/9110380/4372613d5168/SNI-11-350-g001.jpg

文献AI研究员

20分钟写一篇综述,助力文献阅读效率提升50倍。

立即体验

用中文搜PubMed

大模型驱动的PubMed中文搜索引擎

马上搜索

文档翻译

学术文献翻译模型,支持多种主流文档格式。

立即体验