Suppr超能文献

GLUT4-1(TRARG1)转运调节剂是 GSK3 的底物。

Trafficking regulator of GLUT4-1 (TRARG1) is a GSK3 substrate.

机构信息

Charles Perkins Centre, School of Life and Environmental Sciences, The University of Sydney, Sydney, NSW 2006, Australia.

Metabolic Research Laboratories, Wellcome-Medical Research Council Institute of Metabolic Science, University of Cambridge, Cambridge CB2 0QQ, U.K.

出版信息

Biochem J. 2022 Jun 17;479(11):1237-1256. doi: 10.1042/BCJ20220153.

Abstract

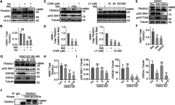
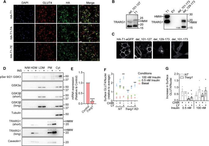
Trafficking regulator of GLUT4-1, TRARG1, positively regulates insulin-stimulated GLUT4 trafficking and insulin sensitivity. However, the mechanism(s) by which this occurs remain(s) unclear. Using biochemical and mass spectrometry analyses we found that TRARG1 is dephosphorylated in response to insulin in a PI3K/Akt-dependent manner and is a novel substrate for GSK3. Priming phosphorylation of murine TRARG1 at serine 84 allows for GSK3-directed phosphorylation at serines 72, 76 and 80. A similar pattern of phosphorylation was observed in human TRARG1, suggesting that our findings are translatable to human TRARG1. Pharmacological inhibition of GSK3 increased cell surface GLUT4 in cells stimulated with a submaximal insulin dose, and this was impaired following Trarg1 knockdown, suggesting that TRARG1 acts as a GSK3-mediated regulator in GLUT4 trafficking. These data place TRARG1 within the insulin signaling network and provide insights into how GSK3 regulates GLUT4 trafficking in adipocytes.

摘要

葡萄糖转运蛋白 4-1(GLUT4)转运调控因子 1(TRARG1)正向调节胰岛素刺激的 GLUT4 转运和胰岛素敏感性。然而,其作用机制仍不清楚。通过生化和质谱分析,我们发现 TRARG1 可被胰岛素依赖的 PI3K/Akt 途径去磷酸化,是 GSK3 的一种新型底物。在丝氨酸 84 上对鼠类 TRARG1 进行预磷酸化,可使 GSK3 对丝氨酸 72、76 和 80 进行磷酸化。在人类 TRARG1 中观察到类似的磷酸化模式,表明我们的发现可转化为人类 TRARG1。在胰岛素刺激的亚最大剂量下,用 GSK3 抑制剂处理可增加细胞表面 GLUT4,而在 Trarg1 敲低后,这种作用受损,提示 TRARG1 作为 GSK3 介导的 GLUT4 转运调节剂发挥作用。这些数据将 TRARG1 置于胰岛素信号网络内,并提供了关于 GSK3 如何调节脂肪细胞中 GLUT4 转运的见解。

https://cdn.ncbi.nlm.nih.gov/pmc/blobs/94bf/9284383/19e9ec4337d8/BCJ-479-1237-g0001.jpg

文献检索

告别复杂PubMed语法,用中文像聊天一样搜索,搜遍4000万医学文献。AI智能推荐,让科研检索更轻松。

立即免费搜索

文件翻译

保留排版,准确专业,支持PDF/Word/PPT等文件格式,支持 12+语言互译。

免费翻译文档

深度研究

AI帮你快速写综述,25分钟生成高质量综述,智能提取关键信息,辅助科研写作。

立即免费体验