Suppr超能文献

玻璃体内注射阿柏西普治疗视网膜血管瘤样增生按疾病分期的三年结局

Three-Year Outcomes of Intravitreal Aflibercept Injections for Retinal Angiomatous Proliferation According to Disease Stage.

作者信息

Huang Ya-Yun, Lo Wen-Jung, Chang Hsin-Yi, Chou Yu-Bai, Lin Tai-Chi

机构信息

Department of Medical Education and Research, Taipei Veterans General Hospital, Taipei, Taiwan, Republic of China.

Department of Ophthalmology, Taipei Veterans General Hospital, 201, Sec. 2, Shih-Pai Road, Taipei, Taiwan, Republic of China.

出版信息

Ophthalmol Ther. 2022 Aug;11(4):1503-1516. doi: 10.1007/s40123-022-00521-y. Epub 2022 May 20.

Abstract

INTRODUCTION

To evaluate the outcomes of intravitreal aflibercept injections for retinal angiomatous proliferation (RAP) according to disease stage.

METHODS

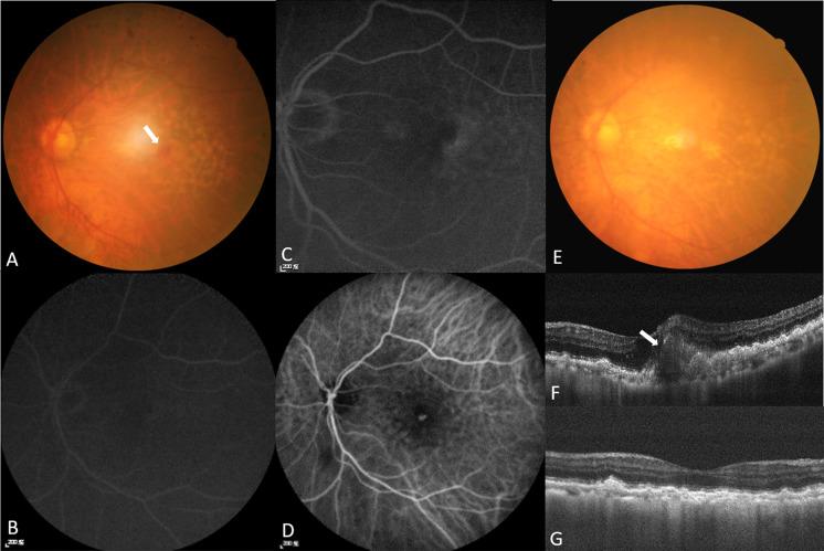
This retrospective chart review included 68 eyes of 53 individuals diagnosed as having RAP and 109 neovascular age-related macular degeneration (nAMD) eyes of 109 patients as controls. All patients received intravitreal injections of aflibercept in a real-world setting. The main outcome measures were the changes in the mean of best-corrected visual acuity (BCVA) and central retinal thickness (CRT) as well as the total number of injections received during the 3-year follow-up period.

RESULTS

The average BCVA and CRT changes in eyes affected by RAP and the controls at 3 years were non-significant. Both populations received a similar number of injections. After 3 years of treatment, patients with RAP had visual decline despite stable anatomical outcomes. Approximately 50% of the eyes with stage II RAP exhibited significant BCVA decline at the end of the third year. Among those eyes that had deteriorated BCVA, persistently worsening BCVA and thinning CRT were observed from year 2 to year 3.

CONCLUSION

Similar to treating nAMD, intensive injections or aggressive treatment strategies are required to treat RAP to achieve optimal visual outcomes in a real-world setting. The response to aflibercept treatment at the second year is associated with the final visual outcome of eyes with stage II RAP lesions.

摘要

引言

根据疾病阶段评估玻璃体内注射阿柏西普治疗视网膜血管瘤样增殖(RAP)的效果。

方法

这项回顾性病历审查纳入了53例被诊断为RAP的患者的68只眼,以及109例新生血管性年龄相关性黄斑变性(nAMD)患者的109只眼作为对照。所有患者均在实际临床环境中接受了玻璃体内注射阿柏西普治疗。主要观察指标为最佳矫正视力(BCVA)均值、视网膜中央厚度(CRT)的变化以及3年随访期间接受注射的总数。

结果

3年时,RAP患者眼和对照组的平均BCVA及CRT变化无统计学意义。两组接受的注射次数相似。治疗3年后,尽管解剖学结果稳定,但RAP患者出现了视力下降。约50%的II期RAP患者眼在第三年末表现出显著的BCVA下降。在那些BCVA恶化的眼中,从第2年到第3年观察到BCVA持续恶化和CRT变薄。

结论

与治疗nAMD类似,在实际临床环境中治疗RAP需要强化注射或积极的治疗策略以实现最佳视力结果。II期RAP病变眼对阿柏西普治疗第2年的反应与最终视力结果相关。

https://cdn.ncbi.nlm.nih.gov/pmc/blobs/c8ac/9253227/08b4905ea61b/40123_2022_521_Fig1_HTML.jpg

相似文献

1
Three-Year Outcomes of Intravitreal Aflibercept Injections for Retinal Angiomatous Proliferation According to Disease Stage.
Ophthalmol Ther. 2022 Aug;11(4):1503-1516. doi: 10.1007/s40123-022-00521-y. Epub 2022 May 20.
2
Intravitreal Aflibercept for Retinal Angiomatous Proliferation: Results of a Prospective Case Series at 96 Weeks.
Ophthalmologica. 2019;242(4):239-246. doi: 10.1159/000500203. Epub 2019 Jun 4.
3
Short-term efficacy of intravitreal Aflibercept injections for retinal angiomatous proliferation.
BMC Ophthalmol. 2017 Jun 27;17(1):104. doi: 10.1186/s12886-017-0497-0.
4
Treat-and-Extend Regimen with Aflibercept for Neovascular Age-Related Macular Degeneration: Efficacy and Macular Atrophy Development.
Ophthalmol Retina. 2018 May;2(5):462-468. doi: 10.1016/j.oret.2017.09.002. Epub 2017 Nov 13.
9
Intravitreal ranibizumab (Lucentis) in the treatment of retinal angiomatous proliferation (RAP).
Graefes Arch Clin Exp Ophthalmol. 2009 Sep;247(9):1165-71. doi: 10.1007/s00417-009-1089-3. Epub 2009 Apr 29.
10

本文引用的文献

3
Intravitreal Aflibercept for Retinal Angiomatous Proliferation: Results of a Prospective Case Series at 96 Weeks.
Ophthalmologica. 2019;242(4):239-246. doi: 10.1159/000500203. Epub 2019 Jun 4.
4
Type 3 neovascularisation (retinal angiomatous proliferation) treated with antivascular endothelial growth factor: real-world outcomes at 24 months.
Br J Ophthalmol. 2019 Sep;103(9):1337-1341. doi: 10.1136/bjophthalmol-2018-312944. Epub 2018 Dec 1.
5
Macular Morphology and Visual Acuity in Year Five of the Comparison of Age-related Macular Degeneration Treatments Trials.
Ophthalmology. 2019 Feb;126(2):252-260. doi: 10.1016/j.ophtha.2018.08.035. Epub 2018 Sep 3.
6
Retinal angiomatous proliferation.
Surv Ophthalmol. 2017 Jul-Aug;62(4):462-492. doi: 10.1016/j.survophthal.2017.01.008. Epub 2017 Feb 9.
7
TREAT-AND-EXTEND REGIMEN WITH AFLIBERCEPT FOR RETINAL ANGIOMATOUS PROLIFERATION.
Retina. 2016 Dec;36(12):2282-2289. doi: 10.1097/IAE.0000000000001104.
9
Outcomes in Eyes with Retinal Angiomatous Proliferation in the Comparison of Age-Related Macular Degeneration Treatments Trials (CATT).
Ophthalmology. 2016 Mar;123(3):609-16. doi: 10.1016/j.ophtha.2015.10.034. Epub 2015 Dec 8.
10
Long-term visual outcome and prognostic factors of Intravitreal anti-vascular endothelial growth factor treatment for retinal angiomatous proliferation.
Graefes Arch Clin Exp Ophthalmol. 2016 Jan;254(1):23-30. doi: 10.1007/s00417-015-2993-3. Epub 2015 Apr 1.

文献AI研究员

20分钟写一篇综述,助力文献阅读效率提升50倍。

立即体验

用中文搜PubMed

大模型驱动的PubMed中文搜索引擎

马上搜索

文档翻译

学术文献翻译模型,支持多种主流文档格式。

立即体验