Suppr超能文献

偏头痛患者幽门螺杆菌感染与脑白质病变的关系。

Relationship between Helicobacter pylori infection and white matter lesions in patients with migraine.

机构信息

Department of Gastroenterology, University of Health Sciences Antalya Training and Research Hospital, Antalya, Turkey.

Antalya Training and Research Hospital Department of Neurology, Antalya, Turkey.

出版信息

BMC Neurol. 2022 May 21;22(1):187. doi: 10.1186/s12883-022-02715-0.

Abstract

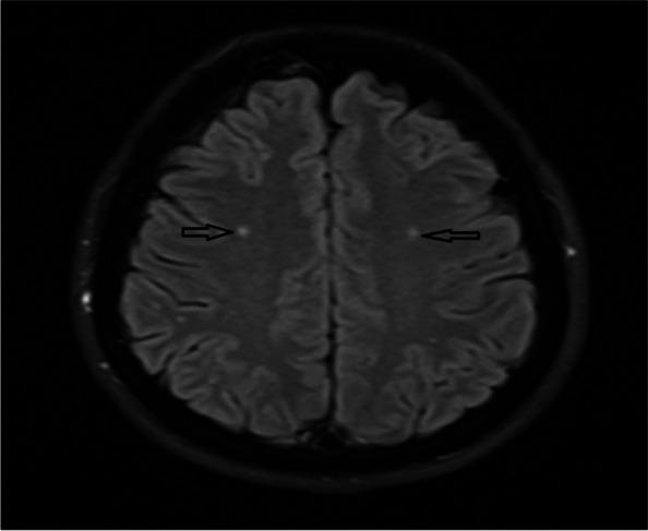
BACKGROUND/AIM: White matter lesions (WML) are more frequently observed in migraine patients than in the average population. Associations between Helicobacter pylori (H. pylori) infection and different extraintestinal pathologies have been identified. Here, we aimed to investigate the association between H. pylori infection and WML in patients diagnosed with episodic migraine.

MATERIALS AND METHODS

A retrospective study was conducted with 526 subjects with a diagnosis of episodic migraine. Hyperintensity of WML had been previously evaluated in these patients with brain magnetic resonance imaging (MRI) examinations. Previous endoscopic gastric biopsy histopathological examination of the same patients and reports on H. pylori findings were recorded. The demographic characteristics of the patients, such as age, gender and chronic systemic diseases such as hypertension and diabetes mellitus (DM) were recorded. Statistical evaluation was made.

RESULTS

Evaluation was made among 526 migraine patients who met the inclusion criteria, comprising 397 (75.5%) females and 129 (24.5%) males with a mean age of 45.57 ± 13.46 years (range, 18-69 years). WML was detected on brain MRI in 178 (33.8%) patients who were also positive for H. pylori (p <  0.05). Subjects who are H. pylori-positive with migraine, WML were observed at a 2.5-fold higher incidence on brain MRI (odds ratio: 2.562, 95% CI 1.784-3.680). WML was found to be more significant in patients with hypertension and migraine than those without (p <  0.001). Older age was also found to be associated with WML (OR = 1.07, 95% CI: 0.01-0.04, p <  0.001). The age (p <  0.001), H. pylori (p <  0.001), hypertension (p <  0.001), and hypertension + DM (p <  0.05), had significant associations in predicting WML according to the multivariate logistic regression analysis. The presence of hypertension had a higher odds ratio value than the other variables.

CONCLUSION

It was concluded that H. pylori infection, as a chronic infection, can be considered a risk factor in developing WML in subjects with migraine.

摘要

背景/目的:与普通人群相比,偏头痛患者中更常观察到脑白质病变(WML)。已经确定了幽门螺杆菌(H. pylori)感染与不同的肠外病理之间的关联。在这里,我们旨在研究 H. pylori 感染与诊断为发作性偏头痛患者的 WML 之间的关联。

材料和方法

对 526 例诊断为发作性偏头痛的患者进行了回顾性研究。这些患者的 WML 高信号先前已通过脑磁共振成像(MRI)检查进行了评估。记录了对同一患者进行内窥镜胃活检组织病理学检查和 H. pylori 检查结果的报告。记录了患者的人口统计学特征,例如年龄,性别以及高血压和糖尿病等慢性全身性疾病(DM)。进行了统计评估。

结果

符合纳入标准的 526 例偏头痛患者中进行了评估,其中 397 例(75.5%)为女性,129 例(24.5%)为男性,平均年龄为 45.57 ± 13.46 岁(范围为 18-69 岁)。在 178 例(33.8%)MRI 上发现 WML 的患者中,也发现 H. pylori 阳性(p < 0.05)。患有偏头痛和 H. pylori 阳性的患者,其大脑 MRI 上的 WML 发生率高 2.5 倍(优势比:2.562,95%CI 1.784-3.680)。与无偏头痛的患者相比,高血压和偏头痛患者的 WML 更为明显(p < 0.001)。还发现年龄较大与 WML 有关(OR = 1.07,95%CI:0.01-0.04,p < 0.001)。根据多变量逻辑回归分析,年龄(p < 0.001),H. pylori(p < 0.001),高血压(p < 0.001)和高血压+ DM(p < 0.05)与 WML 的存在有显著相关性。高血压的存在具有更高的优势比。

结论

我们的结论是,作为一种慢性感染,H. pylori 感染可被视为偏头痛患者中发生 WML 的危险因素。

https://cdn.ncbi.nlm.nih.gov/pmc/blobs/f0a5/9123779/ba0e9a973af7/12883_2022_2715_Fig1_HTML.jpg

文献检索

告别复杂PubMed语法,用中文像聊天一样搜索,搜遍4000万医学文献。AI智能推荐,让科研检索更轻松。

立即免费搜索

文件翻译

保留排版,准确专业,支持PDF/Word/PPT等文件格式,支持 12+语言互译。

免费翻译文档

深度研究

AI帮你快速写综述,25分钟生成高质量综述,智能提取关键信息,辅助科研写作。

立即免费体验