Yao Leyi, Zhao Qian, Yan Ding, Lei Ziying, Hao Yali, Chen Jinghong, Xue Qian, Li Xiaofen, Huang Qingtian, Tang Daolin, Dou Q Ping, Chen Xin, Liu Jinbao
Affiliated Cancer Hospital & Institute of Guangzhou Medical University, Guangzhou 510095, China.
Guangzhou Municipal and Guangdong Provincial Key Laboratory of Protein Modification and Degradation, State Key Laboratory of Respiratory Disease, School of Basic Medical Sciences, Guangzhou Medical University, Guangzhou 511436, China.
Cancer Biol Med. 2022 May 24;19(7):1061-77. doi: 10.20892/j.issn.2095-3941.2021.0598.
Sorafenib is a first-line drug for advanced hepatocellular carcinoma (HCC). Unfortunately, most patients with HCC do not respond to sorafenib, mainly because of the frequent development of drug resistance. Bilirubin is an end metabolite of heme catabolism and an indicator of liver function, but its direct role in regulating the anticancer activity of sorafenib in HCC cells is unclear. In the current study, we aimed to investigate the mechanism of action of bilirubin in sorafenib-mediated tumor suppression in HCC.
A retrospective observational cohort of 100 patients receiving sorafenib was conducted to evaluate the potential role of bilirubin in predicting the prognosis of patients with HCC. Human HCC cell lines were treated with sorafenib in the absence or presence of bilirubin, and cell proliferation, apoptosis, and signaling pathways were assayed. The antagonistic effect of bilirubin toward sorafenib was assessed in nude mice bearing HCC xenografts.
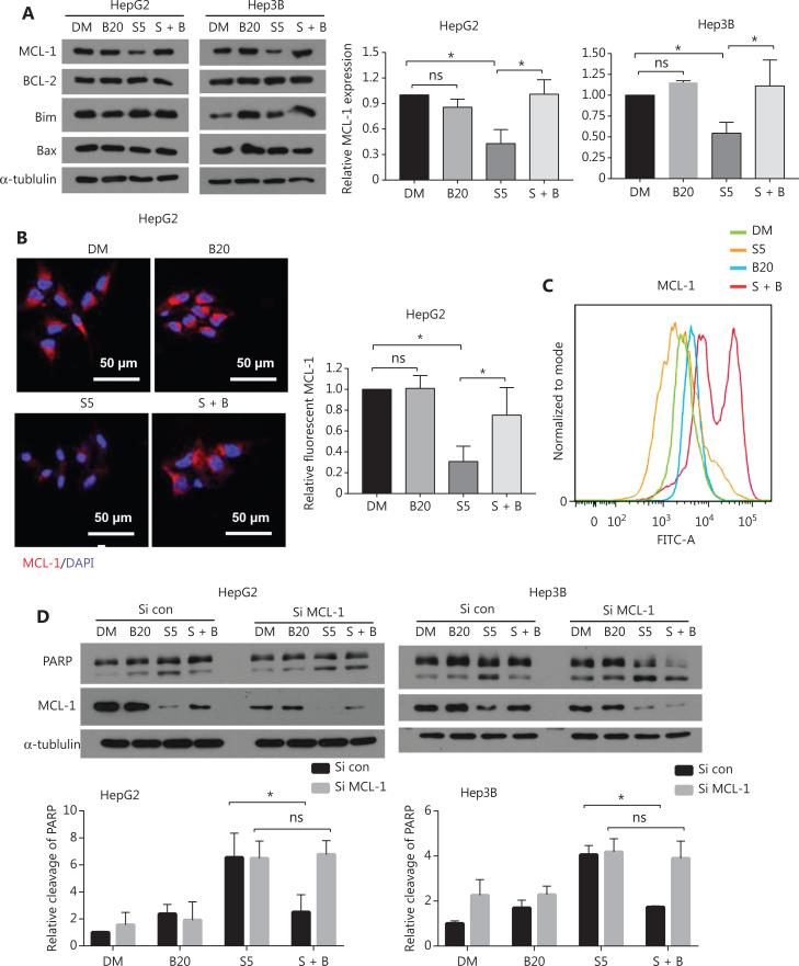
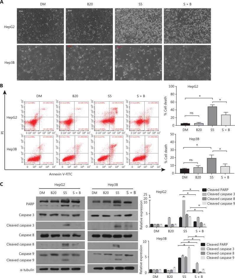
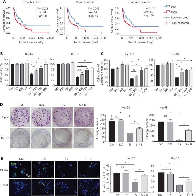
Serum levels of bilirubin (including total, direct, and indirect bilirubin) negatively correlated with the overall survival of patients with HCC treated with sorafenib ( < 0.05). Both in vitro and in vivo analyses demonstrated that bilirubin significantly abrogated sorafenib-mediated proliferation inhibition and apoptosis induction in HCC cells ( < 0.05). Mechanically, bilirubin inhibited sorafenib-induced activation of GSK-3β and subsequent downstream MCL-1 degradation.
Our study provides experimental evidence of the antagonistic effect of bilirubin toward sorafenib-mediated anticancer activity in HCC, and it suggests that bilirubin could be used to predict the efficacy of sorafenib treatmen.
索拉非尼是晚期肝细胞癌(HCC)的一线药物。不幸的是,大多数HCC患者对索拉非尼无反应,主要原因是耐药性频繁出现。胆红素是血红素分解代谢的终产物和肝功能指标,但其在调节索拉非尼对HCC细胞抗癌活性中的直接作用尚不清楚。在本研究中,我们旨在探讨胆红素在索拉非尼介导的HCC肿瘤抑制中的作用机制。
对100例接受索拉非尼治疗的患者进行回顾性观察队列研究,以评估胆红素在预测HCC患者预后中的潜在作用。在有无胆红素存在的情况下,用索拉非尼处理人HCC细胞系,并检测细胞增殖、凋亡及信号通路。在携带HCC异种移植瘤的裸鼠中评估胆红素对索拉非尼的拮抗作用。
胆红素(包括总胆红素、直接胆红素和间接胆红素)的血清水平与接受索拉非尼治疗的HCC患者的总生存期呈负相关(<0.05)。体外和体内分析均表明,胆红素显著消除了索拉非尼介导的HCC细胞增殖抑制和凋亡诱导作用(<0.05)。机制上,胆红素抑制了索拉非尼诱导的GSK-3β激活及随后下游MCL-1的降解。
我们的研究提供了胆红素对索拉非尼介导的HCC抗癌活性具有拮抗作用的实验证据,并表明胆红素可用于预测索拉非尼治疗的疗效。