Suppr超能文献

人类前交叉韧带的区域灌注差异:定量磁共振成像评估

Differential regional perfusion of the human anterior cruciate ligament: quantitative magnetic resonance imaging assessment.

作者信息

Lin Kenneth M, Vermeijden Harmen D, Klinger Craig E, Lazaro Lionel E, Rodeo Scott A, Dyke Jonathan P, Helfet David L, DiFelice Gregory S

机构信息

Department of Orthopaedic Surgery, Hospital for Special Surgery, 535 East 70th Street, New York, NY, 10021, USA.

Miami Orthopedics and Sports Medicine Institute, Baptist Health South Florida, Miami, FL, USA.

出版信息

J Exp Orthop. 2022 May 30;9(1):50. doi: 10.1186/s40634-022-00486-8.

Abstract

PURPOSE

Surgical reconstruction is the current standard for ACL rupture treatment in active individuals. Recently, there is renewed interest in primary repair of proximal ACL tears. Despite this, ACL biology and healing potential are currently not well understood. Vascularity is paramount in ACL healing; however, previous ACL vascularity studies have been limited to qualitative histological and dissection-based techniques. The study objective was to use contrast-enhanced quantitative-MRI to compare relative perfusion of proximal, middle, and distal thirds of the in situ ACL. We hypothesized perfusion would be greatest in the proximal third.

METHODS

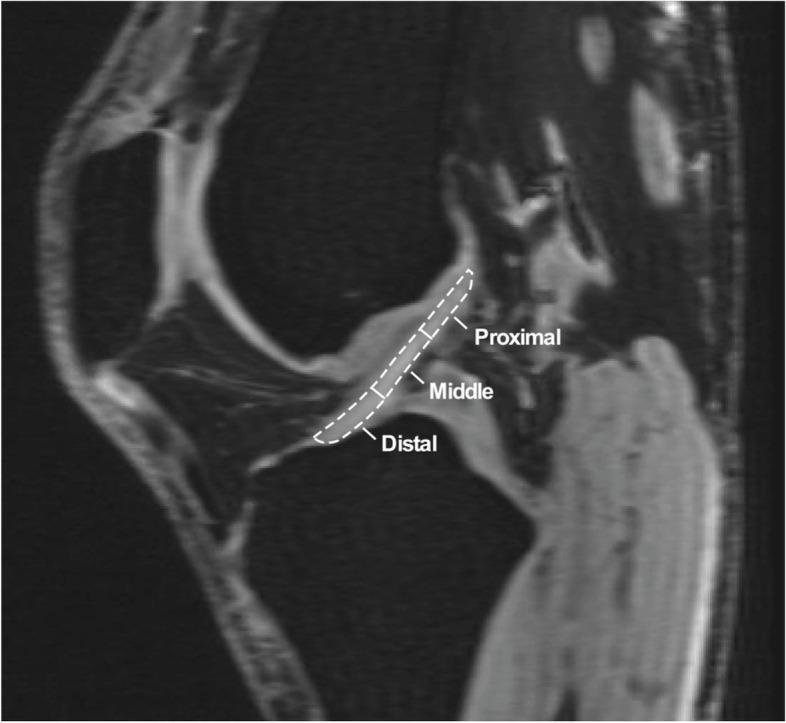
Fourteen cadaveric knees were studied (8 females, 6 males), age 25-61 years. Superficial femoral, anterior tibial, and posterior tibial arteries were cannulated; without intraarticular dissection. Contrast-enhanced quantitative-MRI was performed using a previously established protocol. ACL regions corresponding to proximal, middle, and distal thirds were identified on sagittal-oblique pre-contrast images. Signal enhancement (normalized to tibial plateau cartilage) was quantified to represent regional perfusion as a percentage of total ACL perfusion. Comparative statistics were computed using repeated measures ANOVA, and pairwise comparisons performed using the Bonferroni method.

RESULTS

Relative perfusion to proximal, middle, and distal ACL zones were 56.0% ±17.4%, 28.2% ±14.6%, and 15.8% ±16.3%, respectively (p = 0.002). Relative perfusion to the proximal third was significantly greater than middle (p = 0.007) and distal (p = 0.001). No statistically relevant difference in relative perfusion was found to middle and distal thirds (p = 0.281). Post-hoc subgroup analysis demonstrated greater proximal perfusion in males (66.9% ± 17.3%) than females (47.8% ± 13.0%), p = 0.036.

CONCLUSION

Using quantitative-MRI, in situ adult ACL demonstrated greatest relative perfusion to the proximal third, nearly 2 times greater than the middle third and 3 times greater than the distal third. Knowledge of differential ACL vascular supply is important for understanding pathogenesis of ACL injury and the process of biological healing following various forms of surgical treatment.

摘要

目的

手术重建是目前活跃个体ACL断裂治疗的标准方法。最近,人们对ACL近端撕裂的一期修复重新产生了兴趣。尽管如此,目前对ACL生物学和愈合潜力的了解仍不充分。血管形成在ACL愈合中至关重要;然而,以往关于ACL血管形成的研究仅限于定性组织学和基于解剖的技术。本研究的目的是使用对比增强定量MRI比较原位ACL近端、中部和远端三分之一的相对灌注情况。我们假设近端三分之一的灌注量最大。

方法

对14具尸体膝关节进行研究(8名女性,6名男性),年龄25 - 61岁。在不进行关节内解剖的情况下,对股浅动脉、胫前动脉和胫后动脉进行插管。使用先前建立的方案进行对比增强定量MRI检查。在矢状斜位对比前图像上识别与近端、中部和远端三分之一相对应的ACL区域。对信号增强(以胫骨平台软骨为标准进行归一化)进行量化,以表示区域灌注占ACL总灌注的百分比。使用重复测量方差分析进行比较统计,并使用Bonferroni方法进行两两比较。

结果

ACL近端、中部和远端区域的相对灌注分别为56.0%±17.4%、28.2%±14.6%和15.8%±16.3%(p = 0.002)。近端三分之一的相对灌注显著大于中部(p = 0.007)和远端(p = 0.001)。中部和远端三分之一的相对灌注在统计学上无显著差异(p = 0.281)。事后亚组分析显示,男性近端灌注(66.9%±17.3%)高于女性(47.8%±13.0%),p = 0.036。

结论

使用定量MRI,原位成人ACL显示近端三分之一的相对灌注最大,几乎是中部三分之一的2倍,远端三分之一的3倍。了解ACL不同的血管供应情况对于理解ACL损伤的发病机制以及各种手术治疗后的生物愈合过程非常重要。

https://cdn.ncbi.nlm.nih.gov/pmc/blobs/0918/9151937/c3b3ce62e0ce/40634_2022_486_Fig1_HTML.jpg

文献检索

告别复杂PubMed语法,用中文像聊天一样搜索,搜遍4000万医学文献。AI智能推荐,让科研检索更轻松。

立即免费搜索

文件翻译

保留排版,准确专业,支持PDF/Word/PPT等文件格式,支持 12+语言互译。

免费翻译文档

深度研究

AI帮你快速写综述,25分钟生成高质量综述,智能提取关键信息,辅助科研写作。

立即免费体验