Suppr超能文献

采用双入路技术经关节镜切除有症状的胫骨结节小骨治疗难治性胫骨结节骨软骨炎

Arthroscopic Resection of Symptomatic Tibial Tubercle Ossicles for Recalcitrant Osgood-Schlatter Disease Using a 2-Portal Technique.

作者信息

McDonough Gregory R, Rossi Michael J

机构信息

<Department of Orthopedic Surgery, Confluence Health, Wenatchee, Washington, U.S.A.

出版信息

Arthrosc Tech. 2022 Apr 22;11(5):e813-e818. doi: 10.1016/j.eats.2021.12.041. eCollection 2022 May.

Abstract

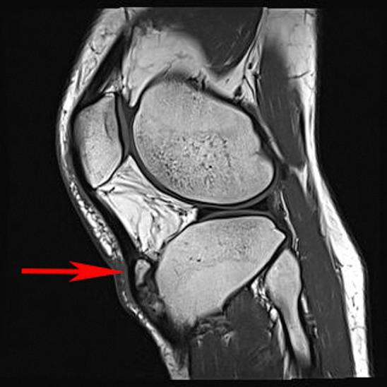
Arthroscopic resection of symptomatic unfused tibial tubercle ossicles causing chronic anterior knee pain due to recalcitrant Osgood-Schlatter disease has been shown to be a reproducible arthroscopic technique. Although a number of other surgical techniques have been described, including ossicle excision and tubercle-plasty, drilling of the tibial tubercle, bone peg insertion to induce fusion, open excision of loose fragments, direct bursoscopic ossicle resection, and closing-wedge tubercle osteotomy, with varied outcomes, this technique offers a minimally invasive approach with low risk. Complications including injury to the patellar tendon and scarring of the anterior fat pad have been previously reported, but this approach can be performed with minimal fat pad debridement and direct visualization of the patellar tendon during all resections. This article presents a technique for arthroscopic resection and debridement of unfused ossicles in patients with chronic anterior knee pain due to Osgood-Schlatter disease by use of minimally invasive arthroscopic techniques that are used in standard knee arthroscopy and should be familiar to most arthroscopists.

摘要

对于因难治性胫骨结节骨软骨炎导致慢性前膝痛的有症状未融合胫骨结节小骨,关节镜下切除已被证明是一种可重复的关节镜技术。尽管已经描述了许多其他手术技术,包括小骨切除和结节成形术、胫骨结节钻孔、插入骨栓诱导融合、开放切除游离碎片、直接关节镜下小骨切除以及闭合楔形结节截骨术,且结果各异,但该技术提供了一种微创方法,风险较低。先前已报道过包括髌腱损伤和前脂肪垫瘢痕形成等并发症,但这种方法在所有切除过程中可通过最小限度的脂肪垫清创和直接观察髌腱来实施。本文介绍了一种通过使用标准膝关节镜检查中使用的微创关节镜技术,对因胫骨结节骨软骨炎导致慢性前膝痛的患者进行关节镜下未融合小骨切除和清创的技术,大多数关节镜医生应该熟悉这些技术。

https://cdn.ncbi.nlm.nih.gov/pmc/blobs/b2e8/9134260/44315613a85c/gr1.jpg

文献AI研究员

20分钟写一篇综述,助力文献阅读效率提升50倍。

立即体验

用中文搜PubMed

大模型驱动的PubMed中文搜索引擎

马上搜索

文档翻译

学术文献翻译模型,支持多种主流文档格式。

立即体验