Suppr超能文献

10 年回顾性分析急诊科亲密伴侣暴力患者。

A 10-year retrospective analysis of intimate partner violence patients in the emergency department.

机构信息

Department of Emergency Medicine, University of Health Sciences, Dışkapı Yıldırım Beyazıt Training and Research Hospital, Ankara-Turkey.

Department of Radiology, University of Health Sciences, Dışkapı Yıldırım Beyazıt Training and Research Hospital, Ankara-Turkey.

出版信息

Ulus Travma Acil Cerrahi Derg. 2022 Jun;28(6):796-804. doi: 10.14744/tjtes.2021.90453.

Abstract

BACKGROUND

Intimate partner violence (IPV) is an important human rights problem faced by one in three women worldwide. The aim of this study is to evaluate the demographic, trauma, and radiological characteristics of patients admitted to a tertiary emer-gency department due to IPV.

METHODS

Sociodemographic characteristics (age, gender, education level, and marital status), trauma characteristics (severity, type, and location), radiological imaging findings (radiography, computed tomography, and magnetic resonance imaging) of patients diagnosed with IPV were evaluated.

RESULTS

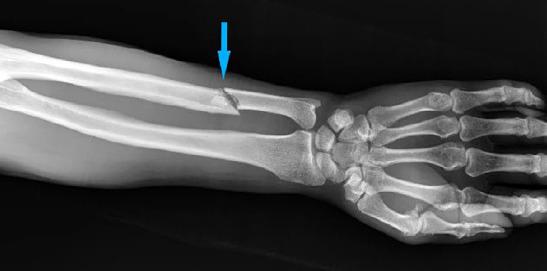
In the study, 1225 patients were evaluated, and 98.7% of them were women (mean age 35 [IQR: 17] years). Of the pa-tients, 63.1% were high school and university graduates. The rate of married women was 74.6%. No relationship was found between gender, age, educational status, and marital status (p>0.05). Most of the traumas were minor (85.4%) and blunt (81.9%) trauma, and the most common types of trauma were kicking (49.9%) and punching (47.3%). It was found that the most frequently affected areas of the patients were the head and neck (76.7%), and the frequency of pelvic trauma was high in male patients (p<0.05). The most com-mon bone fracture was nasal (40.5%) followed by ulna fractures (14.5%). The left-sided diaphyseal fractures were the most common in patients exposed to IPV. In our study, the frequency of mortality was 12.9%, and it was found to be significantly higher in males (p<0.05).

CONCLUSION

Female patients are more frequently exposed to IPV. Specific injury characteristics can be detected in patients diagnosed with IPV and old fractures detected in these patients should alert the clinician about IPV.

摘要

背景

亲密伴侣暴力(IPV)是全球三分之一女性面临的一个重要人权问题。本研究旨在评估因 IPV 而入住三级急诊部的患者的人口统计学、创伤和影像学特征。

方法

评估了诊断为 IPV 的患者的社会人口统计学特征(年龄、性别、教育水平和婚姻状况)、创伤特征(严重程度、类型和部位)、影像学检查结果(X 线摄影、计算机断层扫描和磁共振成像)。

结果

本研究共评估了 1225 名患者,其中 98.7%为女性(平均年龄 35 [IQR:17] 岁)。患者中 63.1%为高中和大学毕业生。已婚女性的比例为 74.6%。性别、年龄、教育程度和婚姻状况之间无相关性(p>0.05)。大多数创伤为轻微(85.4%)和钝性(81.9%)创伤,最常见的创伤类型为踢打(49.9%)和拳打(47.3%)。发现患者最常受影响的部位是头部和颈部(76.7%),男性骨盆创伤发生率较高(p<0.05)。最常见的骨折是鼻骨(40.5%),其次是尺骨骨折(14.5%)。在 IPV 暴露的患者中,左侧骨干骨折最为常见。在本研究中,死亡率为 12.9%,男性死亡率明显较高(p<0.05)。

结论

女性患者更容易遭受 IPV。在诊断为 IPV 的患者中可以发现特定的损伤特征,并且在这些患者中发现的陈旧性骨折应引起临床医生对 IPV 的警惕。

https://cdn.ncbi.nlm.nih.gov/pmc/blobs/49cb/10443018/3071f31211e3/TJTES-28-796-g001.jpg

文献检索

告别复杂PubMed语法,用中文像聊天一样搜索,搜遍4000万医学文献。AI智能推荐,让科研检索更轻松。

立即免费搜索

文件翻译

保留排版,准确专业,支持PDF/Word/PPT等文件格式,支持 12+语言互译。

免费翻译文档

深度研究

AI帮你快速写综述,25分钟生成高质量综述,智能提取关键信息,辅助科研写作。

立即免费体验