Suppr超能文献

胚系 GPR101 和体细胞 USP8 在儿童巨大垂体 ACTH 腺瘤中的并发突变:一例报告。

Concurrent mutations of germline GPR101 and somatic USP8 in a pediatric giant pituitary ACTH adenoma: a case report.

机构信息

Department of Pediatrics, Peking Union Medical College Hospital, Chinese Academy of Medical Science and Peking Union Medical College, Beijing, 100730, China.

Department of Endocrinology, Key Laboratory of Endocrinology of National Health Commission, Peking Union Medical College Hospital, Chinese Academy of Medical Science and Peking Union Medical College, Beijing, 100730, China.

出版信息

BMC Endocr Disord. 2022 Jun 6;22(1):152. doi: 10.1186/s12902-022-01058-8.

Abstract

BACKGROUND

Cushing's disease (CD) is rare in pediatric patients. It is characterized by elevated plasma adrenocorticotropic hormone (ACTH) from pituitary adenomas, with damage to multiple systems and development. In recent years, genetic studies have shed light on the etiology and several mutations have been identified in patients with CD.

CASE PRESENTATION

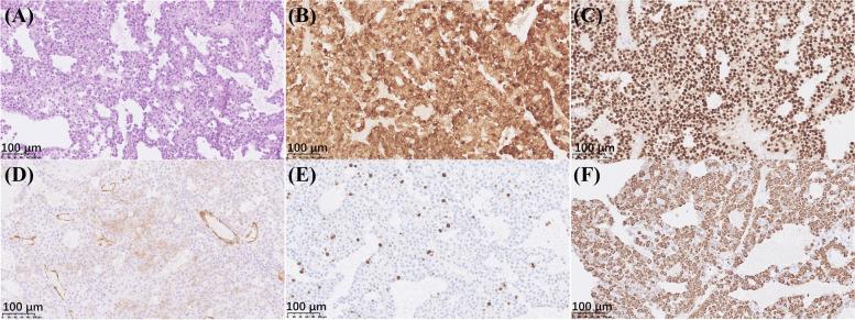
A girl presented at the age of 10 years and 9 months with facial plethora, hirsutism and acne. Her vision and eye movements were impaired. A quick weight gain and slow growth were also observed. Physical examination revealed central obesity, moon face, buffalo hump, supra-clavicular fat pads and bruising. Her plasma ACTH level ranged between 118 and 151 pg/ml, and sella enhanced MRI showed a giant pituitary tumor of 51.8 × 29.3 × 14.0 mm. Transsphenoidal pituitary debulk adenomectomy was performed and immunohistochemical staining confirmed an ACTH-secreting adenoma. Genetic analysis identified a novel germline GPR101 (p.G169R) and a somatic USP8 (p. S719del) mutation. They were hypothesized to impact tumor growth and function, respectively.

CONCLUSIONS

We reported a rare case of pediatric giant pituitary ACTH adenoma and pointed out that unusual concurrent mutations might contribute to its early onset and large volume.

摘要

背景

儿童库欣病(CD)较为罕见。其特征是垂体腺瘤导致的血浆促肾上腺皮质激素(ACTH)升高,伴有多系统损伤和发育障碍。近年来,遗传学研究揭示了其病因,在 CD 患者中已发现几种突变。

病例介绍

一名 10 岁 9 个月大的女孩因面部多血质、多毛症和痤疮就诊。她的视力和眼球运动受到损害。还观察到体重迅速增加和生长缓慢。体格检查发现向心性肥胖、满月脸、水牛背、锁骨上脂肪垫和瘀斑。她的血浆 ACTH 水平在 118 至 151 pg/ml 之间,鞍区增强 MRI 显示一个 51.8×29.3×14.0 mm 的巨大垂体瘤。进行了经蝶垂体腺瘤切除术,免疫组织化学染色证实为 ACTH 分泌性腺瘤。基因分析发现了一种新的种系 GPR101(p.G169R)和一种体细胞 USP8(p.S719del)突变。它们分别被假设影响肿瘤的生长和功能。

结论

我们报告了一例罕见的儿童巨大垂体 ACTH 腺瘤病例,并指出不常见的共存突变可能导致其早期发病和大体积。

https://cdn.ncbi.nlm.nih.gov/pmc/blobs/3288/9169391/282be332f04a/12902_2022_1058_Fig1_HTML.jpg

文献AI研究员

20分钟写一篇综述,助力文献阅读效率提升50倍。

立即体验

用中文搜PubMed

大模型驱动的PubMed中文搜索引擎

马上搜索

文档翻译

学术文献翻译模型,支持多种主流文档格式。

立即体验