Suppr超能文献

表现为从颞下窝延伸的颅内肿块的免疫球蛋白G4相关性疾病。

Immunoglobulin G4-related disease presenting as an intracranial mass extended from the infratemporal fossa.

作者信息

Maamri Kais, Taieb Mohamed Amine Hadj, Elkahla Ghassen, Hadhri Rym, Dermoul Mehdi

机构信息

Department of Neurosurgery Fattouma Bourguiba University Hospital, University of Monastir, Monastir, Tunisia.

Department of Histopathology, Fattouma Bourguiba University Hospital, University of Monastir, Monastir, Tunisia.

出版信息

Surg Neurol Int. 2022 May 27;13:224. doi: 10.25259/SNI_149_2022. eCollection 2022.

Abstract

BACKGROUND

Neurological manifestations in immunoglobulin G4-related diseases (IgG4-RD) are rare and documented in <2% of cases. It commonly involves pachymeninges forming hypertrophic pachymeningitis and rarely forms tumor-like masses.

CASE DESCRIPTION

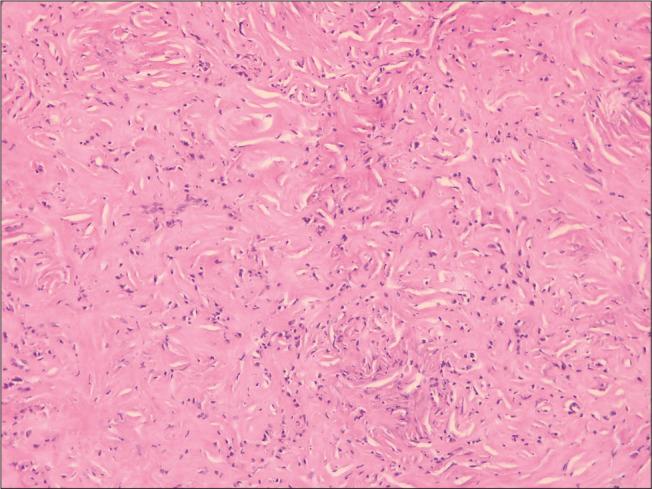
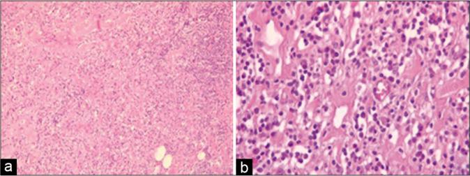
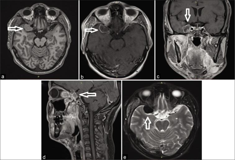
We present our experience with a biopsy-proven case of IgG4-RD presenting with an intracranial extradural tumor-like mass infiltrating the temporal lobe. The patient was treated with high doses of corticosteroids followed by slow tapering. The neurological manifestations gradually improved and resolved after 2 months with a cerebral MRI showing a significant reduction in the tumoral size.

CONCLUSION

When it comes to intracranial mass, IgG4-RD neuropathy is one of the rarest differential diagnoses for the central nervous system tumors. Early recognition of IgG4-RD and appropriate establishment of its long-term treatment may avoid unnecessary investigations and morbidity.

摘要

背景

免疫球蛋白G4相关疾病(IgG4-RD)中的神经系统表现罕见,病例报道不足2%。它通常累及硬脑膜形成肥厚性硬脑膜炎,很少形成肿瘤样肿块。

病例描述

我们报告一例经活检证实的IgG4-RD病例,该病例表现为颅内硬膜外肿瘤样肿块浸润颞叶。患者接受了高剂量皮质类固醇治疗,随后缓慢减量。2个月后,神经系统表现逐渐改善并消失,脑部MRI显示肿瘤大小显著缩小。

结论

对于颅内肿块,IgG4-RD神经病变是中枢神经系统肿瘤最罕见的鉴别诊断之一。早期识别IgG4-RD并适当确立其长期治疗方案可避免不必要的检查和发病率。

https://cdn.ncbi.nlm.nih.gov/pmc/blobs/c56d/9168305/5a113dfe31cb/SNI-13-224-g001.jpg

文献AI研究员

20分钟写一篇综述,助力文献阅读效率提升50倍。

立即体验

用中文搜PubMed

大模型驱动的PubMed中文搜索引擎

马上搜索

文档翻译

学术文献翻译模型,支持多种主流文档格式。

立即体验