• 文献检索
  • 文档翻译
  • 深度研究
  • 学术资讯
  • Suppr Zotero 插件Zotero 插件
  • 邀请有礼
  • 套餐&价格
  • 历史记录
应用&插件
Suppr Zotero 插件Zotero 插件浏览器插件Mac 客户端Windows 客户端微信小程序
定价
高级版会员购买积分包购买API积分包
服务
文献检索文档翻译深度研究API 文档MCP 服务
关于我们
关于 Suppr公司介绍联系我们用户协议隐私条款
关注我们

Suppr 超能文献

核心技术专利:CN118964589B侵权必究
粤ICP备2023148730 号-1Suppr @ 2026

文献检索

告别复杂PubMed语法,用中文像聊天一样搜索,搜遍4000万医学文献。AI智能推荐,让科研检索更轻松。

立即免费搜索

文件翻译

保留排版,准确专业,支持PDF/Word/PPT等文件格式,支持 12+语言互译。

免费翻译文档

深度研究

AI帮你快速写综述,25分钟生成高质量综述,智能提取关键信息,辅助科研写作。

立即免费体验

中脑被盖部菊形团形成型胶质神经元肿瘤的分子分析:2例报告及非典型肿瘤部位FGFR1状态的文献复习

Molecular analyses of rosette-forming glioneuronal tumor of the midbrain tegmentum: A report of two cases and a review of the FGFR1 status in unusual tumor locations.

作者信息

Handa Hajime, Shibahara Ichiyo, Nakano Yoshiko, Inukai Madoka, Sato Sumito, Hide Takuichiro, Hirato Junko, Yoshioka Takako, Ichimura Koichi, Kumabe Toshihiro

机构信息

Department of Neurosurgery, Kitasato University School of Medicine, Sagamihara, Kanagawa, Japan.

Division of Brain Tumor Translational Research, National Cancer Center Research Institute, Tokyo, Japan.

出版信息

Surg Neurol Int. 2022 May 20;13:213. doi: 10.25259/SNI_55_2022. eCollection 2022.

DOI:10.25259/SNI_55_2022
PMID:35673672
原文链接:https://pmc.ncbi.nlm.nih.gov/articles/PMC9168299/
Abstract

BACKGROUND

Rosette-forming glioneuronal tumor (RGNT) is a rare tumor that arises primarily in the posterior fossa, with molecular features of mutation. A previous study reported that brainstem RGNT accounts for only 2.7% cases; therefore, midbrain RGNT is infrequent.

CASE DESCRIPTION

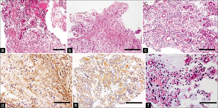
The authors encountered two cases of RGNT located in the midbrain tegmentum (Case 1: 23-year-old woman and Case 2: 18-year-old boy), both exhibiting similar cystic components with gadolinium-enhanced cyst walls on preoperative magnetic resonance imaging, surgically resected through the occipital transtentorial approach. Histological findings in both cases comprised two characteristic architectures of neurocytic and glial components, typical of RGNT. Molecular assessment revealed no mutation in the initial specimen, but revealed K656E mutation in the recurrent specimen in Case 1 and showed no mutation but showed C228T mutation in Case 2. Neither case revealed K27, G34, or K27 mutations. DNA methylation-based classification (molecularneuropathology.org) categorized both cases as RGNT, whose calibrated scores were 0.99 and 0.47 in Cases 1 and 2, respectively.

CONCLUSION

Midbrain tegmentum RGNTs exhibited typical histological features but varied statuses with mutation. RGNT in rare locations may carry different molecular alterations than those in other common locations, such as the posterior fossa.

摘要

背景

菊形团形成性神经胶质神经元肿瘤(RGNT)是一种罕见肿瘤,主要发生于后颅窝,具有分子突变特征。既往研究报道脑干RGNT仅占病例的2.7%;因此,中脑RGNT较为罕见。

病例描述

作者遇到两例位于中脑被盖的RGNT(病例1:23岁女性;病例2:18岁男性),术前磁共振成像均显示类似的囊性成分及钆增强的囊壁,均通过枕下经小脑幕入路手术切除。两例的组织学表现均包括神经细胞和胶质成分的两种特征性结构,这是RGNT的典型表现。分子评估显示初始标本无突变,但病例1的复发标本显示K656E突变,病例2无突变但显示C228T突变。两例均未显示K27、G34或K27突变。基于DNA甲基化的分类(molecularneuropathology.org)将两例均归类为RGNT,病例1和病例2的校准分数分别为0.99和0.47。

结论

中脑被盖RGNT表现出典型的组织学特征,但具有不同的突变状态。罕见部位的RGNT可能携带与其他常见部位(如后颅窝)不同的分子改变。

https://cdn.ncbi.nlm.nih.gov/pmc/blobs/91ff/9168299/d6af8e6b65c8/SNI-13-213-g004.jpg
https://cdn.ncbi.nlm.nih.gov/pmc/blobs/91ff/9168299/df2917d66f6f/SNI-13-213-g001.jpg
https://cdn.ncbi.nlm.nih.gov/pmc/blobs/91ff/9168299/76cb261b0fc9/SNI-13-213-g002.jpg
https://cdn.ncbi.nlm.nih.gov/pmc/blobs/91ff/9168299/d5e53bde7afd/SNI-13-213-g003.jpg
https://cdn.ncbi.nlm.nih.gov/pmc/blobs/91ff/9168299/d6af8e6b65c8/SNI-13-213-g004.jpg
https://cdn.ncbi.nlm.nih.gov/pmc/blobs/91ff/9168299/df2917d66f6f/SNI-13-213-g001.jpg
https://cdn.ncbi.nlm.nih.gov/pmc/blobs/91ff/9168299/76cb261b0fc9/SNI-13-213-g002.jpg
https://cdn.ncbi.nlm.nih.gov/pmc/blobs/91ff/9168299/d5e53bde7afd/SNI-13-213-g003.jpg
https://cdn.ncbi.nlm.nih.gov/pmc/blobs/91ff/9168299/d6af8e6b65c8/SNI-13-213-g004.jpg

相似文献

1
Molecular analyses of rosette-forming glioneuronal tumor of the midbrain tegmentum: A report of two cases and a review of the FGFR1 status in unusual tumor locations.中脑被盖部菊形团形成型胶质神经元肿瘤的分子分析:2例报告及非典型肿瘤部位FGFR1状态的文献复习
Surg Neurol Int. 2022 May 20;13:213. doi: 10.25259/SNI_55_2022. eCollection 2022.
2
Rosette-forming glioneuronal tumours are midline, FGFR1-mutated tumours.菊形团形成性神经胶质神经元肿瘤是一种位于中线、FGFR1 突变的肿瘤。
Neuropathol Appl Neurobiol. 2022 Aug;48(5):e12813. doi: 10.1111/nan.12813. Epub 2022 Mar 23.
3
A case of recurrent epilepsy-associated rosette-forming glioneuronal tumor with anaplastic transformation in the absence of therapy.一例未接受治疗的复发性癫痫相关玫瑰花环形成性神经胶质神经元肿瘤伴间变。
Neuropathology. 2019 Oct;39(5):389-393. doi: 10.1111/neup.12586. Epub 2019 Aug 21.
4
FGFR1 mutations in Rosette-forming glioneuronal tumors of the fourth ventricle.第四脑室内 Rosette 形成性神经胶质神经元肿瘤中的 FGFR1 突变。
J Neuropathol Exp Neurol. 2014 Jun;73(6):580-4. doi: 10.1097/NEN.0000000000000080.
5
Rosette-forming glioneuronal tumors share a distinct DNA methylation profile and mutations in FGFR1, with recurrent co-mutation of PIK3CA and NF1.菊形团形成性神经胶质神经元肿瘤具有独特的 DNA 甲基化谱和 FGFR1 突变,常伴有 PIK3CA 和 NF1 的共突变。
Acta Neuropathol. 2019 Sep;138(3):497-504. doi: 10.1007/s00401-019-02038-4. Epub 2019 Jun 27.
6
Comprehensive analysis of diverse low-grade neuroepithelial tumors with FGFR1 alterations reveals a distinct molecular signature of rosette-forming glioneuronal tumor.全面分析伴有 FGFR1 改变的多种低级别神经上皮肿瘤,揭示出具有神经胶-神经元肿瘤特征的独特分子特征。
Acta Neuropathol Commun. 2020 Aug 28;8(1):151. doi: 10.1186/s40478-020-01027-z.
7
Rosette-Forming Glioneuronal Tumor Originating From the Spinal Cord: Report of 2 Cases and Literature Review.起源于脊髓的菊形团形成性胶质神经元肿瘤:2例报告及文献复习
World Neurosurg. 2017 Feb;98:875.e1-875.e7. doi: 10.1016/j.wneu.2016.11.109. Epub 2016 Nov 30.
8
Rosette-forming Glioneuronal Tumor: A Rare Posterior Fossa Tumor in an Adolescent.菊形团形成性胶质神经元肿瘤:一名青少年中罕见的后颅窝肿瘤。
J Pediatr Neurosci. 2017 Apr-Jun;12(2):168-171. doi: 10.4103/jpn.JPN_12_17.
9
Clinicopathological analysis of rosette-forming glioneuronal tumors.胶样巢状神经元肿瘤的临床病理分析。
Diagn Pathol. 2024 Feb 22;19(1):39. doi: 10.1186/s13000-024-01465-6.
10
Intractable epilepsy due to a rosette-forming glioneuronal tumor with a dysembryoplastic neuroepithelial background.具有胚胎发育不良性神经上皮背景的成玫瑰花结状神经胶质神经元肿瘤所致难治性癫痫
Neuropathology. 2018 Jun;38(3):300-304. doi: 10.1111/neup.12450. Epub 2017 Dec 18.

引用本文的文献

1
The Clinical and Molecular Landscape of Rosette-Forming Glioneuronal Tumors.菊形团形成性胶质神经元肿瘤的临床与分子特征
Biomedicines. 2024 Oct 12;12(10):2325. doi: 10.3390/biomedicines12102325.

本文引用的文献

1
Rosette-forming glioneuronal tumours are midline, FGFR1-mutated tumours.菊形团形成性神经胶质神经元肿瘤是一种位于中线、FGFR1 突变的肿瘤。
Neuropathol Appl Neurobiol. 2022 Aug;48(5):e12813. doi: 10.1111/nan.12813. Epub 2022 Mar 23.
2
Frequent FGFR1 hotspot alterations in driver-unknown low-grade glioma and mixed neuronal-glial tumors.FGFR1 热点频繁改变驱动未知的低级别神经胶质瘤和混合性神经元-神经胶质肿瘤。
J Cancer Res Clin Oncol. 2022 Apr;148(4):857-866. doi: 10.1007/s00432-021-03906-x. Epub 2022 Jan 11.
3
Spinal rosette-forming glioneuronal tumor: First case in a young child.
脊髓菊形团形成性神经胶质神经元肿瘤:一名幼儿中的首例病例。
Radiol Case Rep. 2021 Oct 22;16(12):3982-3986. doi: 10.1016/j.radcr.2021.09.052. eCollection 2021 Dec.
4
Rosette-Forming Glioneuronal Tumor in the Pineal Region: A Series of 6 Cases and Literature Review.松果体区菊形团神经胶质肿瘤:6 例系列病例报道及文献复习。
J Neuropathol Exp Neurol. 2021 Oct 26;80(10):933-943. doi: 10.1093/jnen/nlab089.
5
promoter mutation associated with multifocal phenotype and poor prognosis in patients with wild-type glioblastoma.野生型胶质母细胞瘤患者中与多灶性表型及不良预后相关的启动子突变
Neurooncol Adv. 2020 Sep 1;2(1):vdaa114. doi: 10.1093/noajnl/vdaa114. eCollection 2020 Jan-Dec.
6
Comprehensive analysis of diverse low-grade neuroepithelial tumors with FGFR1 alterations reveals a distinct molecular signature of rosette-forming glioneuronal tumor.全面分析伴有 FGFR1 改变的多种低级别神经上皮肿瘤,揭示出具有神经胶-神经元肿瘤特征的独特分子特征。
Acta Neuropathol Commun. 2020 Aug 28;8(1):151. doi: 10.1186/s40478-020-01027-z.
7
Spinal rosette-forming glioneuronal tumor: A case report.脊髓菊形团形成性神经胶质神经元肿瘤:一例报告。
Medicine (Baltimore). 2019 Dec;98(49):e18271. doi: 10.1097/MD.0000000000018271.
8
Rosette-forming glioneuronal tumors share a distinct DNA methylation profile and mutations in FGFR1, with recurrent co-mutation of PIK3CA and NF1.菊形团形成性神经胶质神经元肿瘤具有独特的 DNA 甲基化谱和 FGFR1 突变,常伴有 PIK3CA 和 NF1 的共突变。
Acta Neuropathol. 2019 Sep;138(3):497-504. doi: 10.1007/s00401-019-02038-4. Epub 2019 Jun 27.
9
Malignant Transformation of a Rosette-Forming Glioneuronal Tumor with IDH1 Mutation: A Case Report and Literature Review.伴有异柠檬酸脱氢酶1(IDH1)突变的菊形团形成型胶质神经元肿瘤的恶性转化:一例报告及文献复习
World Neurosurg X. 2019 Jan 5;2:100006. doi: 10.1016/j.wnsx.2018.100006. eCollection 2019 Apr.
10
Tectal glioma as a distinct diagnostic entity: a comprehensive clinical, imaging, histologic and molecular analysis.顶盖胶质瘤作为一种明确的诊断实体:全面的临床、影像学、组织学和分子分析。
Acta Neuropathol Commun. 2018 Sep 25;6(1):101. doi: 10.1186/s40478-018-0602-5.