Suppr超能文献

G 蛋白信号转导调节因子 5 表达在原发性和继发性甲状旁腺功能亢进发病机制中的意义。

Implications of regulator of G-protein signaling 5 expression in the pathogenesis of primary and secondary hyperparathyroidism.

机构信息

Institute of Clinical Medicine Research, China-Japan Friendship Hospital, 100029, Beijing, China.

Department of General Surgery, China-Japan Friendship Hospital, 100029, Beijing, China.

出版信息

BMC Endocr Disord. 2022 Jun 9;22(1):156. doi: 10.1186/s12902-022-01066-8.

Abstract

OBJECTIVE

To study the protein and mRNA expressions of regulator of G-protein signaling 5 (RGS5) in the pathogenesis of hyperparathyroidism.

METHODS

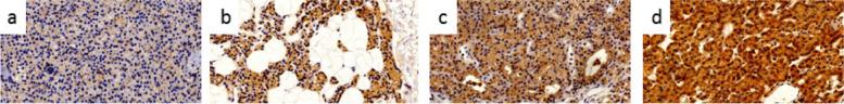
The expression of RGS5 protein in 20 primary hyperparathyroidism (PHPT), 31 secondary hyperparathyroidism (SHPT), and 20 control cases were studied by immunohistochemistry (IHC). The expression of RGS5 mRNA in 15 PHPT, 102 SHPT, and 7 normal parathyroid tissue were measured by quantitative real-time PCR (qRT-PCR) method.

RESULTS

The expressions of RGS5 in PHPT tissues were significantly higher than that in SHPT and normal parathyroid tissues (P < 0.05). While the differences in RGS5 protein expressions between SHPT and respective control samples were not statistically significant (P > 0.05). Likewise, the RGS5 mRNA expression in PHPT was significantly higher than that in SHPT (P < 0.05) and normal parathyroid (P < 0.05) samples. In a similar line, the differences in RGS5 gene expressions between SHPT and control tissues were not statistically significant (P > 0.05).

CONCLUSIONS

The characteristic RGS5 protein and mRNA levels in hyperparathyroidism might be helpful in discovering the pathomechanism of hyperparathyroidism and novel therapeutic targets as well.

摘要

目的

研究 G 蛋白信号调节因子 5(RGS5)在甲状旁腺功能亢进症发病机制中的蛋白和 mRNA 表达。

方法

采用免疫组织化学(IHC)方法检测 20 例原发性甲状旁腺功能亢进症(PHPT)、31 例继发性甲状旁腺功能亢进症(SHPT)和 20 例对照病例中 RGS5 蛋白的表达。采用实时定量 PCR(qRT-PCR)方法检测 15 例 PHPT、102 例 SHPT 和 7 例正常甲状旁腺组织中 RGS5 mRNA 的表达。

结果

PHPT 组织中 RGS5 的表达明显高于 SHPT 和正常甲状旁腺组织(P<0.05)。而 SHPT 与相应对照样本之间 RGS5 蛋白表达的差异无统计学意义(P>0.05)。同样,PHPT 中的 RGS5 mRNA 表达明显高于 SHPT(P<0.05)和正常甲状旁腺(P<0.05)样本。同样,SHPT 与对照组织之间 RGS5 基因表达的差异无统计学意义(P>0.05)。

结论

甲状旁腺功能亢进症中 RGS5 蛋白和 mRNA 水平的特征可能有助于发现甲状旁腺功能亢进症的发病机制和新的治疗靶点。

https://cdn.ncbi.nlm.nih.gov/pmc/blobs/44ac/9185949/193e839534b8/12902_2022_1066_Fig1_HTML.jpg

文献AI研究员

20分钟写一篇综述,助力文献阅读效率提升50倍。

立即体验

用中文搜PubMed

大模型驱动的PubMed中文搜索引擎

马上搜索

文档翻译

学术文献翻译模型,支持多种主流文档格式。

立即体验