Okuno Mitsuru, Mukai Tsuyoshi, Iwata Keisuke, Watanabe Naoki, Tanaka Takuji, Iwasa Taisei, Shimojo Kota, Ohashi Yosuke, Takagi Akihiro, Ito Yuki, Tezuka Ryuichi, Iwata Shota, Iwasa Yuhei, Kochi Takahiro, Ogiso Tomio, Hayashi Hideki, Sugiyama Akihiko, Nishigaki Youichi, Tomita Eiichi
Department of Gastroenterology, Gifu Municipal Hospital, Gifu 500-8513, Japan.
Department of Gastroenterological Endoscopy, Kanazawa Medical University, Uchinada 920-0293, Japan.
Cancers (Basel). 2022 May 30;14(11):2701. doi: 10.3390/cancers14112701.
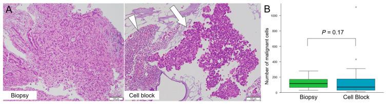
The specimen collection and subsequent pathological diagnosis of malignant biliary stricture (MBS) are difficult. This study aimed to determine whether the cell block (CB) method using overnight-stored bile is useful in the diagnosis of MBS. This trial was a single-arm prospective study involving a total of 59 patients with suspected MBS. The primary endpoint was cancer detectability and accuracy using the CB method, and a comparison with the detectability and accuracy achieved with bile cytology was made. The immunohistochemical sensitivity for maspin and p53 was also investigated in the CB and surgical specimens. We were able to collect bile from all 59 patients, and 45 of these patients were clinically diagnosed with MBS. The cancer detectability using the CB method (62.2%) was significantly higher than that using cytology (37.8%) ( = 0.0344). When CB was combined with biopsy, the rates of cancer detectability (75.6%) and accuracy (81.4%) increased. In eight patients who received surgical therapy, maspin- and p53-immunohistochemistry was applied to the surgical and CB specimens, and cancer cells in both specimens showed positive cytoplasmic and nuclear staining for maspin and nuclear staining for p53. The CB method is, thus, useful for detecting malignancy (UMIN000034707).
恶性胆管狭窄(MBS)的标本采集及后续病理诊断具有挑战性。本研究旨在确定使用过夜储存胆汁的细胞块(CB)法在MBS诊断中是否有用。本试验为单臂前瞻性研究,共纳入59例疑似MBS患者。主要终点是使用CB法的癌症检出率和准确性,并与胆汁细胞学检查的检出率和准确性进行比较。还在CB标本和手术标本中研究了maspin和p53的免疫组化敏感性。我们成功从所有59例患者中采集到胆汁,其中45例患者临床诊断为MBS。使用CB法的癌症检出率(62.2%)显著高于细胞学检查(37.8%)(P = 0.0344)。当CB与活检相结合时,癌症检出率(75.6%)和准确率(81.4%)提高。在8例接受手术治疗的患者中,对手术标本和CB标本进行了maspin和p53免疫组化检测,两个标本中的癌细胞maspin均显示胞质和胞核阳性染色,p53显示胞核阳性染色。因此,CB法有助于检测恶性肿瘤(UMIN000034707)。