• 文献检索
  • 文档翻译
  • 深度研究
  • 学术资讯
  • Suppr Zotero 插件Zotero 插件
  • 邀请有礼
  • 套餐&价格
  • 历史记录
应用&插件
Suppr Zotero 插件Zotero 插件浏览器插件Mac 客户端Windows 客户端微信小程序
定价
高级版会员购买积分包购买API积分包
服务
文献检索文档翻译深度研究API 文档MCP 服务
关于我们
关于 Suppr公司介绍联系我们用户协议隐私条款
关注我们

Suppr 超能文献

核心技术专利:CN118964589B侵权必究
粤ICP备2023148730 号-1Suppr @ 2026

文献检索

告别复杂PubMed语法,用中文像聊天一样搜索,搜遍4000万医学文献。AI智能推荐,让科研检索更轻松。

立即免费搜索

文件翻译

保留排版,准确专业,支持PDF/Word/PPT等文件格式,支持 12+语言互译。

免费翻译文档

深度研究

AI帮你快速写综述,25分钟生成高质量综述,智能提取关键信息,辅助科研写作。

立即免费体验

犬类和人类前列腺癌的比较病理生物学:现状与未来方向

Comparative Pathobiology of Canine and Human Prostate Cancer: State of the Art and Future Directions.

作者信息

Nascente Eduardo de Paula, Amorim Renée Laufer, Fonseca-Alves Carlos Eduardo, de Moura Veridiana Maria Brianezi Dignani

机构信息

School of Veterinary Medicine and Animal Science, Federal University of Goiás, Goiânia 74001-970, Brazil.

Veterinary Clinic Department, School of Veterinary Medicine and Animal Science, São Paulo State University (UNESP), Botucatu 18618-970, Brazil.

出版信息

Cancers (Basel). 2022 May 31;14(11):2727. doi: 10.3390/cancers14112727.

DOI:10.3390/cancers14112727
PMID:35681707
原文链接:https://pmc.ncbi.nlm.nih.gov/articles/PMC9179314/
Abstract

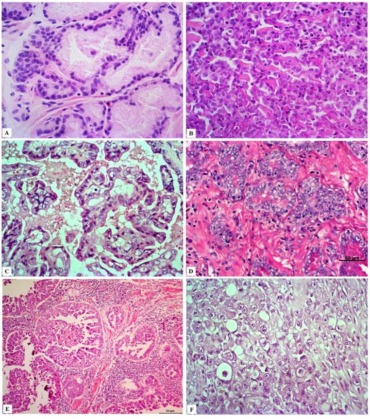
First described in 1817, prostate cancer is considered a complex neoplastic entity, and one of the main causes of death in men in the western world. In dogs, prostatic carcinoma (PC) exhibits undifferentiated morphology with different phenotypes, is hormonally independent of aggressive character, and has high rates of metastasis to different organs. Although in humans, the risk factors for tumor development are known, in dogs, this scenario is still unclear, especially regarding castration. Therefore, with the advent of molecular biology, studies were and are carried out with the aim of identifying the main molecular mechanisms and signaling pathways involved in the carcinogenesis and progression of canine PC, aiming to identify potential biomarkers for diagnosis, prognosis, and targeted treatment. However, there are extensive gaps to be filled, especially when considering the dog as experimental model for the study of this neoplasm in humans. Thus, due to the complexity of the subject, the objective of this review is to present the main pathobiological aspects of canine PC from a comparative point of view to the same neoplasm in the human species, addressing the historical context and current understanding in the scientific field.

摘要

前列腺癌于1817年首次被描述,被认为是一种复杂的肿瘤实体,也是西方世界男性主要的死亡原因之一。在犬类中,前列腺癌(PC)表现出具有不同表型的未分化形态,激素依赖性强且具有侵袭性,并且转移到不同器官的发生率很高。虽然在人类中,肿瘤发生的风险因素是已知的,但在犬类中,这种情况仍然不清楚,尤其是关于去势方面。因此,随着分子生物学的出现,人们开展了一系列研究,旨在确定参与犬类前列腺癌发生和发展的主要分子机制和信号通路,以寻找潜在的诊断、预后和靶向治疗生物标志物。然而,仍有大量空白需要填补,特别是将犬类作为人类这种肿瘤研究的实验模型时。因此,由于该主题的复杂性,本综述的目的是从与人类同一肿瘤的比较角度,介绍犬类前列腺癌的主要病理生物学方面,阐述该领域的历史背景和当前认识。

https://cdn.ncbi.nlm.nih.gov/pmc/blobs/9ef3/9179314/f0e2bfa0dbbf/cancers-14-02727-g004.jpg
https://cdn.ncbi.nlm.nih.gov/pmc/blobs/9ef3/9179314/b7882e565df7/cancers-14-02727-g001.jpg
https://cdn.ncbi.nlm.nih.gov/pmc/blobs/9ef3/9179314/27925cb558c4/cancers-14-02727-g002.jpg
https://cdn.ncbi.nlm.nih.gov/pmc/blobs/9ef3/9179314/72e558c0b712/cancers-14-02727-g003.jpg
https://cdn.ncbi.nlm.nih.gov/pmc/blobs/9ef3/9179314/f0e2bfa0dbbf/cancers-14-02727-g004.jpg
https://cdn.ncbi.nlm.nih.gov/pmc/blobs/9ef3/9179314/b7882e565df7/cancers-14-02727-g001.jpg
https://cdn.ncbi.nlm.nih.gov/pmc/blobs/9ef3/9179314/27925cb558c4/cancers-14-02727-g002.jpg
https://cdn.ncbi.nlm.nih.gov/pmc/blobs/9ef3/9179314/72e558c0b712/cancers-14-02727-g003.jpg
https://cdn.ncbi.nlm.nih.gov/pmc/blobs/9ef3/9179314/f0e2bfa0dbbf/cancers-14-02727-g004.jpg

相似文献

1
Comparative Pathobiology of Canine and Human Prostate Cancer: State of the Art and Future Directions.犬类和人类前列腺癌的比较病理生物学:现状与未来方向
Cancers (Basel). 2022 May 31;14(11):2727. doi: 10.3390/cancers14112727.
2
Obesity is associated with castration-resistant disease and metastasis in men treated with androgen deprivation therapy after radical prostatectomy: results from the SEARCH database.肥胖与雄激素剥夺治疗后行根治性前列腺切除术的男性的去势抵抗性疾病和转移相关:来自 SEARCH 数据库的结果。
BJU Int. 2012 Aug;110(4):492-8. doi: 10.1111/j.1464-410X.2011.10754.x. Epub 2011 Nov 17.
3
Clinical and pathologic aspects of spontaneous canine prostate carcinoma: a retrospective analysis of 76 cases.自发性犬前列腺癌的临床和病理特征:76例回顾性分析
Prostate. 2000 Oct 1;45(2):173-83. doi: 10.1002/1097-0045(20001001)45:2<173::aid-pros12>3.0.co;2-r.
4
Alterations in PTEN, MDM2, TP53 and AR protein and gene expression are associated with canine prostate carcinogenesis.PTEN、MDM2、TP53和AR蛋白及基因表达的改变与犬前列腺癌发生相关。
Res Vet Sci. 2016 Jun;106:56-61. doi: 10.1016/j.rvsc.2016.03.008. Epub 2016 Mar 10.
5
Macromolecular crowding: chemistry and physics meet biology (Ascona, Switzerland, 10-14 June 2012).大分子拥挤现象:化学与物理邂逅生物学(瑞士阿斯科纳,2012年6月10日至14日)
Phys Biol. 2013 Aug;10(4):040301. doi: 10.1088/1478-3975/10/4/040301. Epub 2013 Aug 2.
6
p-mTOR, p-4EBP-1 and eIF4E expression in canine prostatic carcinoma.p-mTOR、p-4EBP-1和eIF4E在犬前列腺癌中的表达
Res Vet Sci. 2019 Feb;122:86-92. doi: 10.1016/j.rvsc.2018.11.006. Epub 2018 Nov 16.
7
Altered expression of p53, but not Rb, is involved in canine prostatic carcinogenesis.p53而非Rb的表达改变与犬前列腺癌发生有关。
Res Vet Sci. 2016 Apr;105:195-9. doi: 10.1016/j.rvsc.2016.02.022. Epub 2016 Feb 23.
8
Role of canine basal cells in prostatic post natal development, induction of hyperplasia, sex hormone-stimulated growth; and the ductal origin of carcinoma.犬基底细胞在前列腺出生后发育、增生诱导、性激素刺激生长中的作用以及癌的导管起源
Prostate. 2001 May 15;47(3):149-63. doi: 10.1002/pros.1058.
9
Role of canine basal cells in postnatal prostatic development, induction of hyperplasia, and sex hormone-stimulated growth; and the ductal origin of carcinoma.犬基底细胞在出生后前列腺发育、增生诱导及性激素刺激生长中的作用;以及癌的导管起源
Prostate. 2001 Aug 1;48(3):210-24. doi: 10.1002/pros.1100.
10
A Comparative in Silico Analysis of CD24's Prognostic Value in Human and Canine Prostate Cancer.人及犬前列腺癌中CD24预后价值的计算机模拟比较分析
J Pers Med. 2021 Mar 23;11(3):232. doi: 10.3390/jpm11030232.

引用本文的文献

1
In Vitro Antitumor Effect of Oils Rich in CBD and THC Cannabis Extract in Canine Prostate Carcinoma Cell Lines.富含大麻二酚(CBD)和四氢大麻酚(THC)的大麻提取物在犬前列腺癌细胞系中的体外抗肿瘤作用
Vet Sci. 2024 Oct 13;11(10):501. doi: 10.3390/vetsci11100501.
2
Lapatinib antitumor effect is associated with PI3K and MAPK pathway: An analysis in human and canine prostate cancer cells.拉帕替尼的抗肿瘤作用与 PI3K 和 MAPK 通路相关:在人及犬前列腺癌细胞中的分析。
PLoS One. 2024 Apr 2;19(4):e0297043. doi: 10.1371/journal.pone.0297043. eCollection 2024.
3
prostate cancer research: Key interspecies prostate anatomical features for translation medicine.

本文引用的文献

1
An RNA-Seq-Based Framework for Characterizing Canine Prostate Cancer and Prioritizing Clinically Relevant Biomarker Candidate Genes.基于 RNA-Seq 的犬前列腺癌特征分析及临床相关生物标志物候选基因的优先级排序框架。
Int J Mol Sci. 2021 Oct 25;22(21):11481. doi: 10.3390/ijms222111481.
2
Wnt/β-catenin signaling in cancers and targeted therapies.Wnt/β-连环蛋白信号通路在癌症和靶向治疗中的作用。
Signal Transduct Target Ther. 2021 Aug 30;6(1):307. doi: 10.1038/s41392-021-00701-5.
3
Expression and prognostic significance of vascular endothelial growth factor-A (VEGF-A) and its receptor in canine prostate cancer.
前列腺癌研究:转化医学的关键种间前列腺解剖学特征。
Open Vet J. 2023 Jun;13(6):782-793. doi: 10.5455/OVJ.2023.v13.i6.13. Epub 2023 Jun 21.
4
Identification of a naturally-occurring canine model for early detection and intervention research in high grade urothelial carcinoma.用于高级别尿路上皮癌早期检测和干预研究的天然犬类模型的鉴定。
Front Oncol. 2022 Nov 11;12:1011969. doi: 10.3389/fonc.2022.1011969. eCollection 2022.
血管内皮生长因子-A(VEGF-A)及其受体在犬前列腺癌中的表达及预后意义
Prostate. 2021 Oct;81(14):1021-1031. doi: 10.1002/pros.24199. Epub 2021 Jul 28.
4
CDK19 as a diagnostic marker for high-grade prostatic intraepithelial neoplasia.CDK19 作为高级前列腺上皮内瘤变的诊断标志物。
Hum Pathol. 2021 Nov;117:60-67. doi: 10.1016/j.humpath.2021.07.006. Epub 2021 Jul 24.
5
FOXA1 promotes prostate cancer angiogenesis by inducing multiple pro-angiogenic factors expression.FOXA1 通过诱导多种促血管生成因子的表达促进前列腺癌血管生成。
J Cancer Res Clin Oncol. 2021 Nov;147(11):3225-3243. doi: 10.1007/s00432-021-03730-3. Epub 2021 Jul 14.
6
Magnetic Resonance Imaging Detection of Glucose-Stimulated Zinc Secretion in the Enlarged Dog Prostate as a Potential Method for Differentiating Prostate Cancer From Benign Prostatic Hyperplasia.磁共振成像检测增大的狗前列腺中葡萄糖刺激的锌分泌作为区分前列腺癌与良性前列腺增生的潜在方法。
Invest Radiol. 2021 Jul 1;56(7):450-457. doi: 10.1097/RLI.0000000000000760.
7
Histological and immunohistochemical investigation of canine prostate carcinoma with identification of common intraductal carcinoma component.犬前列腺癌的组织学和免疫组织化学研究,鉴定常见的导管内癌成分。
Vet Comp Oncol. 2022 Mar;20(1):38-49. doi: 10.1111/vco.12704. Epub 2021 May 18.
8
The Urokinase Receptor: A Multifunctional Receptor in Cancer Cell Biology. Therapeutic Implications.尿激酶型纤溶酶原激活物受体:癌细胞生物学中的多功能受体。治疗意义。
Int J Mol Sci. 2021 Apr 16;22(8):4111. doi: 10.3390/ijms22084111.
9
Morphological and Molecular Characterization of Proliferative Inflammatory Atrophy in Canine Prostatic Samples.犬前列腺样本中增殖性炎性萎缩的形态学和分子特征
Cancers (Basel). 2021 Apr 14;13(8):1887. doi: 10.3390/cancers13081887.
10
Concentrations of canine prostate specific esterase, CPSE, at baseline are associated with the relative size of the prostate at three-year follow-up.在三年随访时,犬前列腺特异性酯酶(CPSE)的浓度与前列腺的相对大小有关。
BMC Vet Res. 2021 Apr 26;17(1):173. doi: 10.1186/s12917-021-02874-1.