Suppr超能文献

磁共振成像上房颤心脏射频消融靶点的可视性

Atrial fibrillation cardiac radioablation target visibility on magnetic resonance imaging.

作者信息

Lydiard Suzanne, Pontré Beau, Lowe Boris S, Keall Paul

机构信息

ACRF Image X Institute, University of Sydney, 1 Central Avenue, Eveleigh, NSW, Australia.

Kathleen Kilgour Centre, 18 Twentieth Avenue, Tauranga South, Tauranga, New Zealand.

出版信息

Phys Eng Sci Med. 2022 Sep;45(3):757-767. doi: 10.1007/s13246-022-01141-3. Epub 2022 Jun 10.

Abstract

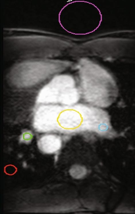
Magnetic resonance imaging (MRI) guided cardiac radioablation (CR) for atrial fibrillation (AF) is a promising treatment concept. However, the visibility of AF CR targets on MRI acquisitions requires further exploration and MRI sequence and parameter optimization has not yet been performed for this application. This pilot study explores the feasibility of MRI-guided tracking of AF CR targets by evaluating AF CR target visualization on human participants using a selection of 3D and 2D MRI sequences.MRI datasets were acquired in healthy and AF participants using a range of MRI sequences and parameters. MRI acquisition categories included 3D free-breathing acquisitions (3D), 2D breath-hold ECG-gated acquisitions (2D), stacks of 2D breath-hold ECG-gated acquisitions which were retrospectively interpolated to 3D datasets (3D), and 2D breath-hold ungated acquisitions (2D). The ease of target delineation and the presence of artifacts were qualitatively analyzed. Image quality was quantitatively analyzed using signal-to-noise ratio (SNR), contrast-to-noise ratio (CNR) and non-uniformity. Confident 3D target delineation was achievable on all 3D datasets but was not possible on any of the 3D datasets. Fewer artifacts and significantly better SNR, CNR and non-uniformity metrics were observed with 3D compared to 3D. 2D datasets had slightly lower SNR and CNR than 2D and 3D datasets. AF CR target visualization on MRI was qualitatively and quantitatively evaluated. The study findings indicate that AF CR target visualization is achievable despite the imaging challenges associated with these targets, warranting further investigation into MRI-guided AF CR treatments.

摘要

磁共振成像(MRI)引导下的心房颤动(AF)心脏射频消融术(CR)是一个很有前景的治疗概念。然而,AF CR靶点在MRI图像上的可视性仍需进一步探索,且针对该应用的MRI序列和参数优化尚未开展。这项初步研究通过使用一系列3D和2D MRI序列评估人类受试者的AF CR靶点可视化情况,探讨MRI引导下追踪AF CR靶点的可行性。使用一系列MRI序列和参数,在健康受试者和AF患者中采集MRI数据集。MRI采集类别包括3D自由呼吸采集(3D)、2D屏气心电图门控采集(2D)、将回顾性插值的2D屏气心电图门控采集堆叠成3D数据集(3D)以及2D屏气非门控采集(2D)。对靶点勾画的难易程度和伪影的存在情况进行定性分析。使用信噪比(SNR)、对比噪声比(CNR)和不均匀性对图像质量进行定量分析。在所有3D数据集上都能实现可靠的3D靶点勾画,但在任何3D数据集上都无法实现。与3D相比,3D观察到的伪影更少,SNR、CNR和不均匀性指标明显更好。2D数据集的SNR和CNR略低于2D和3D数据集。对MRI上的AF CR靶点可视化进行了定性和定量评估。研究结果表明,尽管与这些靶点相关的成像存在挑战,但AF CR靶点可视化是可以实现的,这值得对MRI引导的AF CR治疗进行进一步研究。

https://cdn.ncbi.nlm.nih.gov/pmc/blobs/7973/9448688/85aa9225ebaa/13246_2022_1141_Fig1_HTML.jpg

文献AI研究员

20分钟写一篇综述,助力文献阅读效率提升50倍。

立即体验

用中文搜PubMed

大模型驱动的PubMed中文搜索引擎

马上搜索

文档翻译

学术文献翻译模型,支持多种主流文档格式。

立即体验