Suppr超能文献

伴有肾小球免疫球蛋白 G 沉积的狼疮肾炎患者的特征和肾脏存活率:一项单中心回顾性分析。

Characteristics and renal survival of patients with lupus nephritis with glomerular immunoglobulin G deposition: a single-centre retrospective analysis.

机构信息

Kidney Disease Center, the First Affiliated Hospital, Zhejiang University School of Medicine; Institute of Nephrology, Zhejiang University; Key Laboratory of Kidney Disease Prevention and Control Technology, Zhejiang Province; Zhejiang Clinical Research Center of Kidney and Urinary System Disease, Hangzhou, Zhejiang, China.

Hangzhou TCM Hospital Affiliated to Zhejiang Chinese Medical University, Hangzhou, Zhejiang, China.

出版信息

Lupus Sci Med. 2022 Jun;9(1). doi: 10.1136/lupus-2022-000690.

Abstract

OBJECTIVE

Renal injury is common in SLE. Immune complex deposition plays an important role in the development of lupus nephritis (LN), while little is known about glomerular IgG deposition in patients with LN. This study aimed to investigate the characteristics and renal outcome of patients with LN with glomerular IgG deposition.

METHODS

This is a single-centre retrospective study enrolling 89 patients with biopsy-proven LN. Clinicopathological features, treatment responses and renal outcomes were collected and compared between patients with and without glomerular IgG deposition. Renal outcome events include progression of renal dysfunction and end-stage renal disease.

RESULTS

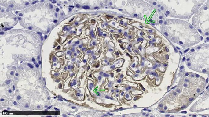
Thirty (33.7%) patients had glomerular IgG deposition. Patients with glomerular IgG deposition had lower serum albumin level (25.06±8.61 g/L vs 28.29±6.31 g/L, p=0.05), more class V LN (60.0% vs 35.6%, p=0.03), more positive phospholipase A2 receptor (PLA2R) staining (43.3% vs 18.6%, p=0.01), more IgG deposits (96.7% vs 64.4%, p=0.01) and less C3 deposits (46.7% vs 72.9%, p=0.02) than those without glomerular IgG deposition. They also had better renal survival than those without glomerular IgG deposition (96.7% vs 79.7%, p=0.03). Multivariate Cox regression showed that high serum creatinine level (relative risk (RR)=1.005, 95% CI 1.002 to 1.008, p=0.01) and high Systemic Lupus Erythematosus Disease Activity Index (SLEDAI) scores (RR=1.078, 95% CI 1.004 to 1.157, p=0.04) independently correlated with poor renal outcome, while glomerular IgG deposition tended to correlate with good renal outcome (RR=5.95, 95% CI 0.759 to 45.97, p=0.09). Further, patients with both glomerular IgG and PLA2R positivity (n=13) had higher levels of serum C3 and C4 and less glomerular C3 deposits compared with those with positive IgG but negative PLA2R in the glomerulus (n=17), and had a tendency of low SLEDAI score (p=0.07).

CONCLUSIONS

Patients with LN with glomerular IgG deposits may have better renal survival, and patients with LN with simultaneous glomerular IgG and PLA2R deposits may have low disease activity.

摘要

目的

肾脏损伤在系统性红斑狼疮(SLE)中很常见。免疫复合物沉积在狼疮肾炎(LN)的发展中起着重要作用,而关于 LN 患者肾小球 IgG 沉积的研究却很少。本研究旨在探讨伴有肾小球 IgG 沉积的 LN 患者的特征和肾脏预后。

方法

这是一项单中心回顾性研究,共纳入 89 例经活检证实的 LN 患者。收集并比较了有和无肾小球 IgG 沉积的患者的临床病理特征、治疗反应和肾脏结局。肾脏结局事件包括肾功能恶化和终末期肾病。

结果

30 例(33.7%)患者有肾小球 IgG 沉积。与无肾小球 IgG 沉积的患者相比,有肾小球 IgG 沉积的患者血清白蛋白水平较低(25.06±8.61 g/L 比 28.29±6.31 g/L,p=0.05),更易发生 LN Ⅴ 型(60.0%比 35.6%,p=0.03),PLA2R 染色阳性率更高(43.3%比 18.6%,p=0.01),IgG 沉积更多(96.7%比 64.4%,p=0.01),C3 沉积更少(46.7%比 72.9%,p=0.02)。与无肾小球 IgG 沉积的患者相比,他们的肾脏存活率也更好(96.7%比 79.7%,p=0.03)。多变量 Cox 回归显示,高血清肌酐水平(RR=1.005,95%CI 1.002 至 1.008,p=0.01)和高系统性红斑狼疮疾病活动指数(SLEDAI)评分(RR=1.078,95%CI 1.004 至 1.157,p=0.04)与不良肾脏结局独立相关,而肾小球 IgG 沉积则与良好的肾脏结局相关(RR=5.95,95%CI 0.759 至 45.97,p=0.09)。此外,与肾小球 IgG 阳性而 PLA2R 阴性的患者(n=17)相比,同时存在肾小球 IgG 和 PLA2R 阳性的患者(n=13)血清 C3 和 C4 水平更高,肾小球 C3 沉积更少,且 SLEDAI 评分更低(p=0.07)。

结论

伴有肾小球 IgG 沉积的 LN 患者可能有更好的肾脏存活率,同时伴有肾小球 IgG 和 PLA2R 沉积的 LN 患者可能疾病活动度较低。

https://cdn.ncbi.nlm.nih.gov/pmc/blobs/b6cd/9204402/f687b394b2d0/lupus-2022-000690f01.jpg

文献检索

告别复杂PubMed语法,用中文像聊天一样搜索,搜遍4000万医学文献。AI智能推荐,让科研检索更轻松。

立即免费搜索

文件翻译

保留排版,准确专业,支持PDF/Word/PPT等文件格式,支持 12+语言互译。

免费翻译文档

深度研究

AI帮你快速写综述,25分钟生成高质量综述,智能提取关键信息,辅助科研写作。

立即免费体验