Suppr超能文献

动脉粥样硬化兔模型中的降脂治疗:一项血管壁磁共振成像研究。

Lipid-lowering treatment in a rabbit model of atherosclerosis: a vessel wall magnetic resonance imaging study.

作者信息

Wu Yejun, Li Fangbing, Wang Yilin, Hu Tianxiang, Gao Lianbo

机构信息

Department of Radiology, The Fourth Affiliated Hospital of China Medical University, Shenyang, China.

Department of Neurology, The Fourth Affiliated Hospital of China Medical University, Shenyang, China.

出版信息

Ann Transl Med. 2022 May;10(10):569. doi: 10.21037/atm-22-1263.

Abstract

BACKGROUND

Vessel wall magnetic resonance imaging (VWMRI) is currently one of the best imaging techniques for the non-invasive evaluation of intracranial atherosclerotic lesions. However, it is still impossible to obtain pathological specimens of intracranial atherosclerotic plaques . The establishment of experimental animal models of atherosclerotic lesions similar to those of humans could solve this deficiency.

METHODS

A model of abdominal aortic atherosclerosis in New Zealand white rabbits was established using abdominal aortic balloon dilatation combined with high-fat fodder. The pathological results were used as the reference standard for the successful establishment of the animal model. The rabbits with abdominal aortic atherosclerosis were randomly divided into the lipid-lowering treatment and the normal-fodder control groups. VWMRI and blood biochemical examinations were performed at 4, 12, and 24 weeks, and the radiologic-pathologic correlations were established.

RESULTS

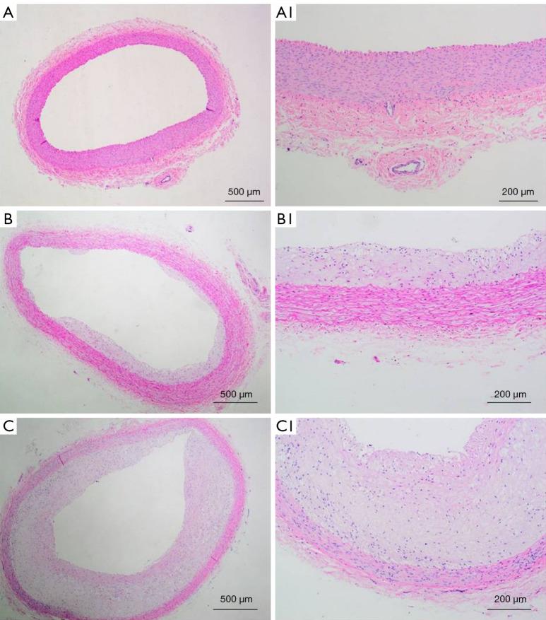
A rabbit abdominal aortic atherosclerosis model was established using balloon dilatation followed by high-fat fodder for 8 weeks. The lipid-lowering treatment reduced the plaque lipid core volume and decreased the plaque burden. However, it did not change plaque distribution, shape, or reverse vascular remodeling. Our pathological findings suggest that the lipid-lowering treatment reduced intraplaque macrophages but did not alter microvascular density.

CONCLUSIONS

VWMRI accurately assessed the morphological changes of the plaques before and after the lipid-lowering treatment, and the results support the pathology results. VWMRI could be useful in experimental studies on the pathogenesis, diagnosis, and treatment of atherosclerotic lesions.

摘要

背景

血管壁磁共振成像(VWMRI)是目前用于颅内动脉粥样硬化病变无创评估的最佳成像技术之一。然而,获取颅内动脉粥样硬化斑块的病理标本仍然不可能。建立与人类相似的动脉粥样硬化病变实验动物模型可以解决这一不足。

方法

采用腹主动脉球囊扩张联合高脂饲料建立新西兰白兔腹主动脉粥样硬化模型。将病理结果作为动物模型成功建立的参考标准。将腹主动脉粥样硬化兔随机分为降脂治疗组和正常饲料对照组。在第4、12和24周进行VWMRI和血液生化检查,并建立放射学-病理学相关性。

结果

采用球囊扩张后高脂饲料喂养8周建立了兔腹主动脉粥样硬化模型。降脂治疗减少了斑块脂质核心体积,降低了斑块负荷。然而,它并没有改变斑块分布、形状或逆转血管重塑。我们的病理结果表明,降脂治疗减少了斑块内巨噬细胞,但没有改变微血管密度。

结论

VWMRI准确评估了降脂治疗前后斑块的形态学变化,结果支持病理结果。VWMRI可用于动脉粥样硬化病变的发病机制、诊断和治疗的实验研究。

https://cdn.ncbi.nlm.nih.gov/pmc/blobs/8f89/9201133/38c6aa0daa4e/atm-10-10-569-f1.jpg

文献检索

告别复杂PubMed语法,用中文像聊天一样搜索,搜遍4000万医学文献。AI智能推荐,让科研检索更轻松。

立即免费搜索

文件翻译

保留排版,准确专业,支持PDF/Word/PPT等文件格式,支持 12+语言互译。

免费翻译文档

深度研究

AI帮你快速写综述,25分钟生成高质量综述,智能提取关键信息,辅助科研写作。

立即免费体验