• 文献检索
  • 文档翻译
  • 深度研究
  • 学术资讯
  • Suppr Zotero 插件Zotero 插件
  • 邀请有礼
  • 套餐&价格
  • 历史记录
应用&插件
Suppr Zotero 插件Zotero 插件浏览器插件Mac 客户端Windows 客户端微信小程序
定价
高级版会员购买积分包购买API积分包
服务
文献检索文档翻译深度研究API 文档MCP 服务
关于我们
关于 Suppr公司介绍联系我们用户协议隐私条款
关注我们

Suppr 超能文献

核心技术专利:CN118964589B侵权必究
粤ICP备2023148730 号-1Suppr @ 2026

文献检索

告别复杂PubMed语法,用中文像聊天一样搜索,搜遍4000万医学文献。AI智能推荐,让科研检索更轻松。

立即免费搜索

文件翻译

保留排版,准确专业,支持PDF/Word/PPT等文件格式,支持 12+语言互译。

免费翻译文档

深度研究

AI帮你快速写综述,25分钟生成高质量综述,智能提取关键信息,辅助科研写作。

立即免费体验

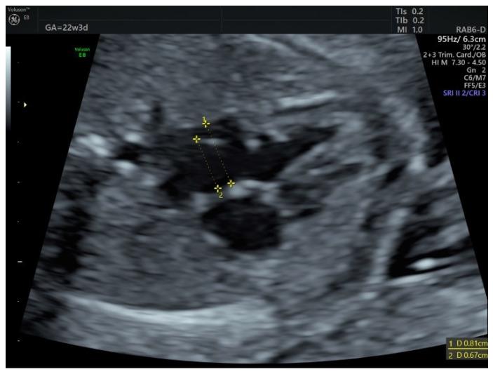
胎儿房间隔瘤:孕中期至孕晚期的随访

Fetal Atrial Septal Aneurysm: Follow-Up from Second to Third Trimester.

作者信息

Gireadă Roxana, Ursache Alexandra, Matasariu Roxana, Socolov Răzvan

机构信息

Department of Obstetrics and Gynecology, University of Medicine and Pharmacy "Gr. T. Popa", 700115 Iaşi, Romania.

出版信息

Diagnostics (Basel). 2022 Jun 15;12(6):1469. doi: 10.3390/diagnostics12061469.

DOI:10.3390/diagnostics12061469
PMID:35741279
原文链接:https://pmc.ncbi.nlm.nih.gov/articles/PMC9221716/
Abstract

Atrial septal aneurysm (ASA) is a rarely reported fetal finding. Its definition is variable, but the diagnosis is usually made when the foramen ovale flap extends at least halfway across the left atrium. It is considered a transient, self-limiting condition, but on occasion, it can be complicated by fetal arrhythmia or left ventricular (LV) inflow obstruction-if longstanding, this can lead to left heart hypoplasia. We present two cases of ASA diagnosed at the second trimester scan, one of which was subsequently complicated by LV inflow obstruction and prenatal suspicion of hypoplastic aortic arch. This report is a good illustration of how structure follows function: a small LV preload can lead to a decreased LV output, which in turn will end up in a hypoplastic LV and outflow tract-all this is reversible after birth, due to the physiological circulatory modifications that occur in the newborn.

摘要

房间隔瘤(ASA)是一种报道较少的胎儿检查结果。其定义存在差异,但通常在卵圆孔瓣延伸至左心房至少一半时作出诊断。它被认为是一种短暂的、自限性疾病,但偶尔会并发胎儿心律失常或左心室(LV)流入道梗阻——如果长期存在,可能导致左心发育不全。我们报告两例在孕中期超声检查时诊断出的ASA病例,其中一例随后并发LV流入道梗阻,并在产前怀疑主动脉弓发育不全。本报告很好地说明了结构如何随功能变化:左心室前负荷小会导致左心室输出量减少,进而导致左心室和流出道发育不全——由于新生儿发生的生理性循环改变,所有这些在出生后都是可逆的。

https://cdn.ncbi.nlm.nih.gov/pmc/blobs/647d/9221716/d729b0dace57/diagnostics-12-01469-g002a.jpg
https://cdn.ncbi.nlm.nih.gov/pmc/blobs/647d/9221716/a1975b561382/diagnostics-12-01469-g001.jpg
https://cdn.ncbi.nlm.nih.gov/pmc/blobs/647d/9221716/d729b0dace57/diagnostics-12-01469-g002a.jpg
https://cdn.ncbi.nlm.nih.gov/pmc/blobs/647d/9221716/a1975b561382/diagnostics-12-01469-g001.jpg
https://cdn.ncbi.nlm.nih.gov/pmc/blobs/647d/9221716/d729b0dace57/diagnostics-12-01469-g002a.jpg

相似文献

1
Fetal Atrial Septal Aneurysm: Follow-Up from Second to Third Trimester.胎儿房间隔瘤:孕中期至孕晚期的随访
Diagnostics (Basel). 2022 Jun 15;12(6):1469. doi: 10.3390/diagnostics12061469.
2
Maternal hyperoxygenation improves left heart filling in fetuses with atrial septal aneurysm causing impediment to left ventricular inflow.母体高氧治疗可改善患有房间隔瘤且左心室流入受阻的胎儿的左心充盈。
Ultrasound Obstet Gynecol. 2015 Jun;45(6):664-9. doi: 10.1002/uog.14688. Epub 2015 May 4.
3
Fetal cardiac findings and hemodynamic changes associated with severe lower urinary tract obstruction in utero.胎儿心脏表现与宫内严重下尿路梗阻相关的血液动力学变化。
Ultrasound Obstet Gynecol. 2019 Dec;54(6):780-785. doi: 10.1002/uog.20271. Epub 2019 Nov 4.
4
Induction of left ventricular hypoplasia by occluding the foramen ovale in the fetal lamb.在胎羊中卵圆孔阻塞诱导左心室发育不良。
Sci Rep. 2020 Jan 21;10(1):880. doi: 10.1038/s41598-020-57694-4.
5
Left ventricular remodelling in outflow tract obstructive lesions during fetal life.胎儿期流出道梗阻性病变中的左心室重塑。
J Cardiovasc Med (Hagerstown). 2006 Oct;7(10):726-30. doi: 10.2459/01.JCM.0000247318.27041.1e.
6
Urgent neonatal balloon atrial septostomy in simple transposition of the great arteries: predictive value of fetal cardiac parameters.大动脉转位单纯型的紧急新生儿球囊房间隔造口术:胎儿心脏参数的预测价值
Ultrasound Obstet Gynecol. 2021 May;57(5):756-768. doi: 10.1002/uog.22164.
7
Fetal atrial septal aneurysm. Prenatal diagnosis by ultrasonography.胎儿房间隔瘤。超声产前诊断。
J Reprod Med. 1997 Aug;42(8):459-62.
8
Fetal aortic valve stenosis and the evolution of hypoplastic left heart syndrome: patient selection for fetal intervention.胎儿主动脉瓣狭窄与左心发育不全综合征的演变:胎儿干预的患者选择
Circulation. 2006 Mar 21;113(11):1401-5. doi: 10.1161/CIRCULATIONAHA.105.588194. Epub 2006 Mar 13.
9
Development of hypoplastic left heart syndrome after diagnosis of aortic stenosis in the first trimester by early echocardiography.
Ultrasound Obstet Gynecol. 2006 Jul;28(1):106-9. doi: 10.1002/uog.2824.
10
Redundancy of foramen ovale flap may mimic fetal aortic coarctation.卵圆孔瓣冗余可能模拟胎儿主动脉缩窄。
Ultrasound Obstet Gynecol. 2020 Dec;56(6):857-863. doi: 10.1002/uog.22008. Epub 2020 Nov 13.

引用本文的文献

1
Interesting Images in Obstetrics and Gynecology.妇产科的有趣影像
Diagnostics (Basel). 2024 Jul 18;14(14):1558. doi: 10.3390/diagnostics14141558.

本文引用的文献

1
Prenatal diagnosis of redundant foramen ovale flap aneurysm prolapsing into mitral valve mimicking coarctation of aorta.卵圆孔瓣动脉瘤冗余脱垂至二尖瓣并酷似主动脉缩窄的产前诊断
Ultrasound Obstet Gynecol. 2021 Dec;58(6):961-963. doi: 10.1002/uog.23657.
2
Fetal atrial septal aneurysm: a differential diagnosis of aortic arch retrograde flow.胎儿房间隔瘤:主动脉弓逆向血流的鉴别诊断
BMJ Case Rep. 2020 Jan 21;13(1):e232773. doi: 10.1136/bcr-2019-232773.
3
Common Findings in Late-Gestation Fetal Echocardiography.妊娠晚期胎儿超声心动图的常见发现。
J Ultrasound Med. 2017 Dec;36(12):2431-2437. doi: 10.1002/jum.14283. Epub 2017 Jun 19.
4
Unusual consequence of a fetal atrial septal aneurysm.胎儿房间隔瘤的异常后果。
Clin Case Rep. 2015 Jun;3(6):368-9. doi: 10.1002/ccr3.259. Epub 2015 Mar 31.
5
Maternal hyperoxygenation improves left heart filling in fetuses with atrial septal aneurysm causing impediment to left ventricular inflow.母体高氧治疗可改善患有房间隔瘤且左心室流入受阻的胎儿的左心充盈。
Ultrasound Obstet Gynecol. 2015 Jun;45(6):664-9. doi: 10.1002/uog.14688. Epub 2015 May 4.
6
Importance of close follow-up in the fetus with premature atrial contractions accompanied by atrial septal aneurysm: a case report.伴有房间隔瘤的胎儿期房性早搏密切随访的重要性:一例报告
Case Rep Obstet Gynecol. 2013;2013:391085. doi: 10.1155/2013/391085. Epub 2013 Dec 22.
7
Prenatal diagnosis of atrial septal aneurysm.房间隔瘤的产前诊断
J Clin Ultrasound. 2008 Jan;36(1):51-2. doi: 10.1002/jcu.20391.
8
Prevalence of interatrial septal aneurysm in newborns and their natural course.新生儿房间隔瘤的患病率及其自然病程。
Pediatr Cardiol. 2006 May-Jun;27(3):343-6. doi: 10.1007/s00246-005-1224-9.
9
Fetal atrial septal aneurysm. Prenatal diagnosis by ultrasonography.胎儿房间隔瘤。超声产前诊断。
J Reprod Med. 1997 Aug;42(8):459-62.
10
Relation between persistent atrial arrhythmias and redundant septum primum flap (atrial septal aneurysm) in fetuses.胎儿持续性房性心律失常与原发隔瓣冗长(房间隔瘤)之间的关系。
Am J Cardiol. 1994 Apr 1;73(9):711-3. doi: 10.1016/0002-9149(94)90942-3.