Suppr超能文献

用于增强CT成像的生物相容性碳化碘掺杂量子点

Biocompatible carbonized iodine-doped dots for contrast-enhanced CT imaging.

作者信息

Jeong Yohan, Jin Minyoung, Kim Kyoung Sub, Na Kun

机构信息

Department of Biotechnology, The Catholic University of Korea, 43 Jibong-ro, Wonmi-gu, Bucheon-si, Gyeonggi do, 14662, Republic of Korea.

Department of Research and Developmnet, SML Genetree, Seoul, 06741, Republic of Korea.

出版信息

Biomater Res. 2022 Jun 25;26(1):27. doi: 10.1186/s40824-022-00277-3.

Abstract

BACKGROUND

Computed tomography (CT) imaging has been widely used for the diagnosis and surveillance of diseases. Although CT is attracting attention due to its reasonable price, short scan time, and excellent diagnostic ability, there are severe drawbacks of conventional CT contrast agents, such as low sensitivity, serious toxicity, and complicated synthesis process. Herein, we describe iodine-doped carbon dots (IDC) for enhancing the abilities of CT contrast agents.

METHOD

IDC was synthesized by one-pot hydrothermal synthesis for 4 h at 180 ℃ and analysis of its structure and size distribution with UV-Vis, XPS, FT-IR, NMR, TEM, and DLS. Furthermore, the CT values of IDC were calculated and compared with those of conventional CT contrast agents (Iohexol), and the in vitro and in vivo toxicities of IDC were determined to prove their safety.

RESULTS

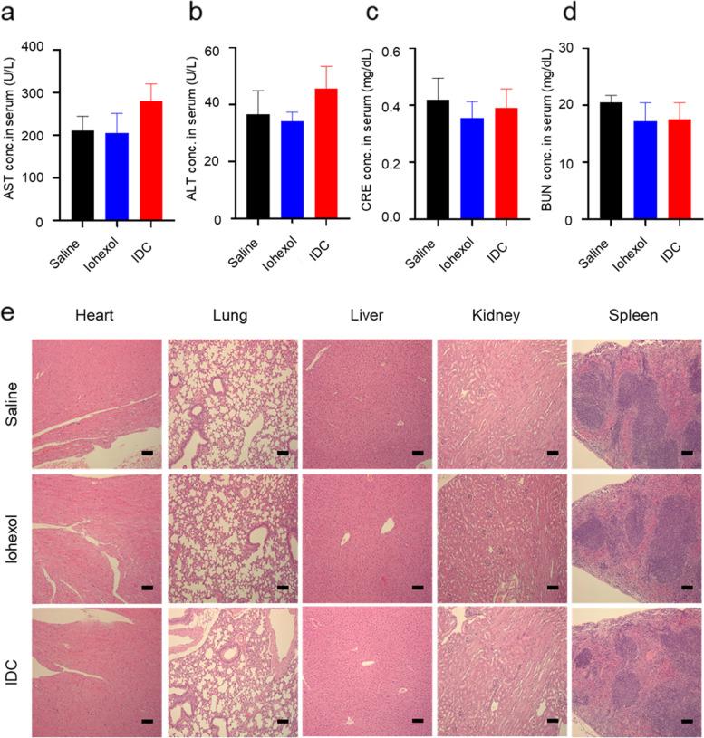
IDC showed improved CT contrast enhancement compared to iohexol. The biocompatibility of the IDC was verified via cytotoxicity tests, hemolysis assays, chemical analysis, and histological analysis. The osmotic pressure of IDC was lower than that of iohexol, resulting in no dilution-induced contrast decrease in plasma.

CONCLUSION

Based on these results, the remarkable CT contrast enhancement and biocompatibility of IDC can be used as an effective CT contrast agent for the diagnosis of various diseases compared with conventional CT contrast agents.

摘要

背景

计算机断层扫描(CT)成像已广泛应用于疾病的诊断和监测。尽管CT因其价格合理、扫描时间短和出色的诊断能力而备受关注,但传统CT造影剂存在严重缺点,如灵敏度低、毒性大、合成过程复杂。在此,我们描述了用于增强CT造影剂性能的碘掺杂碳点(IDC)。

方法

通过在180℃下一锅水热合成4小时制备IDC,并使用紫外可见光谱、X射线光电子能谱、傅里叶变换红外光谱、核磁共振、透射电子显微镜和动态光散射对其结构和尺寸分布进行分析。此外,计算IDC的CT值并与传统CT造影剂(碘海醇)进行比较,并测定IDC的体外和体内毒性以证明其安全性。

结果

与碘海醇相比,IDC显示出更好的CT造影增强效果。通过细胞毒性试验、溶血试验、化学分析和组织学分析验证了IDC的生物相容性。IDC的渗透压低于碘海醇,因此在血浆中不会因稀释而导致造影剂减少。

结论

基于这些结果,与传统CT造影剂相比,IDC显著的CT造影增强效果和生物相容性可作为一种有效的CT造影剂用于各种疾病的诊断。

https://cdn.ncbi.nlm.nih.gov/pmc/blobs/fa30/9233767/4261ad31bafb/40824_2022_277_Fig1_HTML.jpg

文献检索

告别复杂PubMed语法,用中文像聊天一样搜索,搜遍4000万医学文献。AI智能推荐,让科研检索更轻松。

立即免费搜索

文件翻译

保留排版,准确专业,支持PDF/Word/PPT等文件格式,支持 12+语言互译。

免费翻译文档

深度研究

AI帮你快速写综述,25分钟生成高质量综述,智能提取关键信息,辅助科研写作。

立即免费体验