Suppr超能文献

Concurrent Coronary, Left Ventricle, and Cerebral Thrombosis - A Trilogy.

作者信息

Bhandari Monika, Pradhan Akshyaya Kumar, Vishwakarma Pravesh, Sethi Rishi

机构信息

Departments of Cardiology, King George's Medical University, Lucknow, Uttar Pradesh, India.

出版信息

Int J Appl Basic Med Res. 2022 Apr-Jun;12(2):130-133. doi: 10.4103/ijabmr.ijabmr_95_21. Epub 2022 May 10.

Abstract

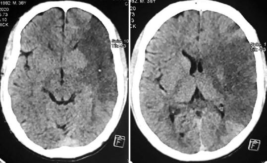
Left ventricular (LV) thrombus is a known complication of acute myocardial infarction (AMI), especially anterior wall MI and leads to systemic thromboembolism. However, increase in the rates of coronary perfusion either by thrombolysis or percutaneous interventions have reduced its incidence. Concurrent stroke and MI are seen in 0.009% of cases. The occurrence of AMI with LV thrombus with or without stroke mandates the combination of antiplatelet and antithrombotic therapy. Hitherto, there are no randomized studies in the setting of AMI with LV thrombus comparing dual (single antiplatelet plus oral anticoagulant [OAC]) and triple therapy (dual antiplatelet therapy with OAC). There are no large randomized trials as well to delineate the optimal therapy for simultaneous cardiac and cerebral infarction. We hereby, report an unusual case of a young patient who presented with triple combo of acute anterior wall MI, LV thrombus, and ischemic stroke and discuss the challenges in management in this scenario.

摘要
https://cdn.ncbi.nlm.nih.gov/pmc/blobs/6c3f/9215190/c38ceccbef18/IJABMR-12-130-g001.jpg

相似文献

1
Concurrent Coronary, Left Ventricle, and Cerebral Thrombosis - A Trilogy.
Int J Appl Basic Med Res. 2022 Apr-Jun;12(2):130-133. doi: 10.4103/ijabmr.ijabmr_95_21. Epub 2022 May 10.
2
A Difficult Case of Cardio-Cerebral Infarction Syndrome With Left Ventricular Thrombus.
Cureus. 2024 May 13;16(5):e60196. doi: 10.7759/cureus.60196. eCollection 2024 May.
4
Left Ventricular Thrombus After Acute Myocardial Infarction: Screening, Prevention, and Treatment.
JAMA Cardiol. 2018 Jul 1;3(7):642-649. doi: 10.1001/jamacardio.2018.1086.
5
9
Anticoagulant therapy with dual antiplatelet for left ventricular thrombus following acute myocardial infarction.
J Cardiol Cases. 2020 Jun 6;22(3):114-116. doi: 10.1016/j.jccase.2020.05.012. eCollection 2020 Sep.

引用本文的文献

1
A Difficult Case of Cardio-Cerebral Infarction Syndrome With Left Ventricular Thrombus.
Cureus. 2024 May 13;16(5):e60196. doi: 10.7759/cureus.60196. eCollection 2024 May.

本文引用的文献

1
Direct oral anticoagulants compared to vitamin K antagonist for the management of left ventricular thrombus.
ESC Heart Fail. 2020 Oct;7(5):2032-2041. doi: 10.1002/ehf2.12718. Epub 2020 Jun 25.
2
Stroke Complicating Acute ST Elevation Myocardial Infarction-Current Concepts.
Int J Angiol. 2019 Dec;28(4):226-230. doi: 10.1055/s-0039-1695049. Epub 2019 Sep 20.
5
Characterisation of acute ischemic stroke in patients with left ventricular thrombi after myocardial infarction.
J Thromb Thrombolysis. 2019 Jul;48(1):158-166. doi: 10.1007/s11239-019-01829-6.
8
Dual Antithrombotic Therapy with Dabigatran after PCI in Atrial Fibrillation.
N Engl J Med. 2017 Oct 19;377(16):1513-1524. doi: 10.1056/NEJMoa1708454. Epub 2017 Aug 27.

文献AI研究员

20分钟写一篇综述,助力文献阅读效率提升50倍。

立即体验

用中文搜PubMed

大模型驱动的PubMed中文搜索引擎

马上搜索

文档翻译

学术文献翻译模型,支持多种主流文档格式。

立即体验