Suppr超能文献

具有新型表型和基因型特征的小儿肠神经节瘤病病例系列

A Case Series of Pediatric Intestinal Ganglioneuromatosis With Novel Phenotypic and Genotypic Profile.

作者信息

Fang Yuan, Zhang Ye, Dong Rui, Wang Yi-Zhen, Chen Lian, Chen Gong

机构信息

Department of Pathology, Anhui Provincial Children's Hospital, Hefei, China.

Department of Gastroenterology, Children's Hospital of Fudan University, Shanghai, China.

出版信息

Front Med (Lausanne). 2022 Jun 16;9:883958. doi: 10.3389/fmed.2022.883958. eCollection 2022.

Abstract

INTRODUCTION

Intestinal ganglioneuromatosis (IGN) is a rare condition with enteric involvement. Herein, we report a case series of pediatric IGN with a novel phenotypic and genotypic profile.

METHODS

The clinical presentation, histopathology, immunochemistry, molecular features, treatment, and prognosis of 3 cases of IGN were assessed.

RESULTS

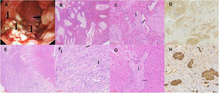
The cases involved 3 boys with an age range of 1 year and 4 months to 8 years, mimicking juvenile polyps or pseudomembranous enteritis. One patient carried a novel germline mutation in (c.296C > T/p.Pro99Leu) along with variants in (c.1489C > T/p.Arg497Xaa), (c.1514delC/p.Pro505Hisfs*15), and (c.315-48T > C/splicing), who died due to intractable inflammation. The other two patients underwent recurrence without significant signs of systemic syndrome or malignant progression.

CONCLUSION

This case series added to the phenotypic and genotypic spectrum of pediatric IGN, which requires the accumulation of more cases and research for in-depth understanding.

摘要

引言

肠道神经节瘤病(IGN)是一种累及肠道的罕见疾病。在此,我们报告一组具有新表型和基因型特征的小儿IGN病例系列。

方法

评估3例IGN患者的临床表现、组织病理学、免疫化学、分子特征、治疗及预后。

结果

病例包括3名男孩,年龄在1岁4个月至8岁之间,临床表现类似幼年性息肉或假膜性肠炎。1例患者在 (c.296C > T/p.Pro99Leu) 携带一种新的种系突变,同时在 (c.1489C > T/p.Arg497Xaa)、 (c.1514delC/p.Pro505Hisfs*15) 和 (c.315 - 48T > C/剪接) 存在变异,该患者因顽固性炎症死亡。另外两名患者复发,但无明显全身综合征体征或恶性进展。

结论

该病例系列丰富了小儿IGN的表型和基因型谱,需要积累更多病例并开展研究以深入了解。

https://cdn.ncbi.nlm.nih.gov/pmc/blobs/e460/9243541/58bc8e51a847/fmed-09-883958-g001.jpg

文献AI研究员

20分钟写一篇综述,助力文献阅读效率提升50倍。

立即体验

用中文搜PubMed

大模型驱动的PubMed中文搜索引擎

马上搜索

文档翻译

学术文献翻译模型,支持多种主流文档格式。

立即体验