Suppr超能文献

双根下颌第二前磨牙:一项罕见发现。

Two Rooted Mandibular Second Premolar: An Unusual Finding.

作者信息

Sibal Akash, Patel Aditya, Singi Shriya R, Bagde Ashutosh

机构信息

Department of Conservative Dentistry and Endodontics, Sharad Pawar Dental College and Hospital, Datta Meghe Institute of Medical Sciences, Wardha, IND.

Research, Jawaharlal Nehru Medical College, Datta Meghe Institute of Medical Sciences, Wardha, IND.

出版信息

Cureus. 2022 May 31;14(5):e25550. doi: 10.7759/cureus.25550. eCollection 2022 May.

Abstract

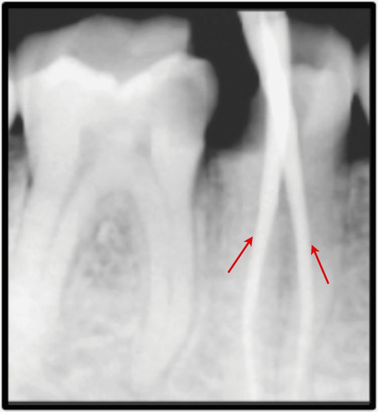
Understanding the root and canal anatomy is pivotal before initiating endodontic surgical procedures. Any missed canal will cause treatment failure and ultimately lead to tooth extraction in this era of tooth conservation. Mandibular second premolars have attracted researchers and clinicians for having aberrant anatomy. Variations in the number of roots or canals may not be discerned on 2D radiographs and may become apparent during treatment procedures. The occurrence of two roots in the lower second premolar has been reported in the current case. Here, in this case, the authors have described the clinical course of the patient along with the management of these two rooted mandibular second premolars.

摘要

在开始牙髓外科手术之前,了解根管解剖结构至关重要。在这个注重牙齿保存的时代,任何遗漏的根管都会导致治疗失败,并最终导致拔牙。下颌第二前磨牙因其异常的解剖结构吸引了研究人员和临床医生的关注。根或根管数量的变异在二维X线片上可能无法识别,而在治疗过程中可能会变得明显。本病例报告了下颌第二前磨牙出现两根的情况。在此,作者描述了该患者的临床过程以及对这两颗下颌双根前磨牙的处理。

https://cdn.ncbi.nlm.nih.gov/pmc/blobs/5766/9246703/712e5b6ab957/cureus-0014-00000025550-i01.jpg

文献AI研究员

20分钟写一篇综述,助力文献阅读效率提升50倍。

立即体验

用中文搜PubMed

大模型驱动的PubMed中文搜索引擎

马上搜索

文档翻译

学术文献翻译模型,支持多种主流文档格式。

立即体验