Suppr超能文献

巨大肾神经鞘瘤伴明显出血和囊变:一例报告并文献复习。

Giant renal schwannoma with obvious hemorrhage and cystic degeneration: a case report and literature review.

机构信息

Sichuan Key Laboratory of Medical Imaging, Department of Radiology, The Affiliated Hospital of North Sichuan Medical College, 63 Wenhua Road, Nanchong City, 637000, Sichuan Province, China.

Sichuan Key Laboratory of Medical Imaging, Department of Ultrasound, The Affiliated Hospital of North Sichuan Medical College, 63 Wenhua Road, Nanchong City, 637000, Sichuan Province, China.

出版信息

BMC Urol. 2022 Jul 11;22(1):101. doi: 10.1186/s12894-022-01058-9.

Abstract

BACKGROUND

Renal schwannomas are very rare and are usually benign. Its clinical symptoms and imaging features are nonspecific, and the diagnosis is usually confirmed by pathology after surgical resection.

CASE PRESENTATION

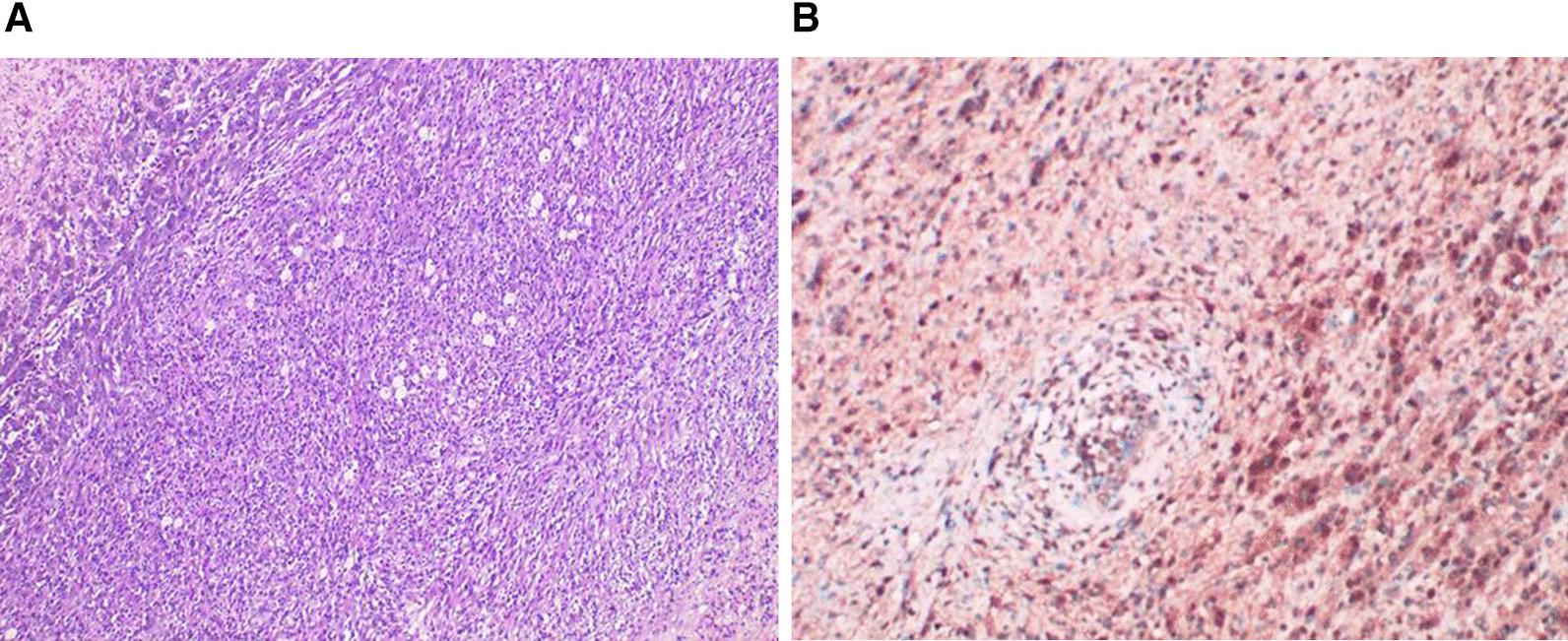
A 46-year-old Chinese female was admitted to the hospital with right flank pain that had persisted for the six months prior to admission. This pain had worsened for 10 days before admission, and dyspnea occurred when she was supine and agitated. A right abdominal mass could be palpated on physical examination. Computed tomography and magnetic resonance imaging examinations revealed a large, nonenhanced, cystic and solid mass in the right kidney. The patient received radical nephrectomy for the right kidney. The diagnosis of schwannoma was confirmed by pathological examination.

CONCLUSIONS

We report a case of a large renal schwannoma with obvious hemorrhage and cystic degeneration, which can be used as a reference for further study.

摘要

背景

肾脏许旺细胞瘤非常罕见,通常为良性。其临床症状和影像学特征不具有特异性,诊断通常在手术切除后通过病理证实。

病例介绍

一名 46 岁的中国女性因右侧腰痛入院,腰痛在入院前持续了 6 个月。在入院前 10 天,腰痛加重,并出现仰卧位和烦躁时呼吸困难。体格检查可触及右侧腹部肿块。计算机断层扫描和磁共振成像检查显示右肾内有一个大的、无强化的囊实性肿块。患者接受了右肾根治性切除术。病理检查证实为许旺细胞瘤。

结论

我们报告了一例大的肾脏许旺细胞瘤,伴有明显的出血和囊性变性,可作为进一步研究的参考。

https://cdn.ncbi.nlm.nih.gov/pmc/blobs/eacd/9277816/633c79272991/12894_2022_1058_Fig1_HTML.jpg

文献AI研究员

20分钟写一篇综述,助力文献阅读效率提升50倍。

立即体验

用中文搜PubMed

大模型驱动的PubMed中文搜索引擎

马上搜索

文档翻译

学术文献翻译模型,支持多种主流文档格式。

立即体验