Suppr超能文献

跖骨颈水平的原位整形术治疗多指畸形

On-Top Plasty at the Level of the Metatarsal Neck for Treatment of Polydactyly.

作者信息

Liao Wei, Jiang Li, Zheng Pengfei

机构信息

Department of Orthopaedic Surgery, Children's Hospital of Nanjing Medical University, Nanjing, China.

出版信息

Front Pediatr. 2022 Jun 27;10:931148. doi: 10.3389/fped.2022.931148. eCollection 2022.

Abstract

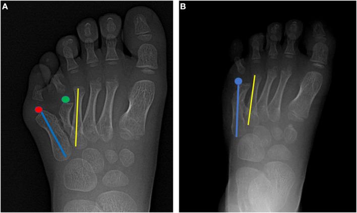
Polydactyly is a common deformity of the limbs, and excision of the extra digit has shown good results in the vast majority of patients. However, this treatment approach may not suitable for all cases of polydactyly. Some complex surgical procedures are required to treat rare forms of polydactyly and achieve satisfactory correction. Here, we report the use of on-top plasty technique for treating polydactyly between the 4th and 5th metatarsals with concomitant angulation of the 5th metatarsophalangeal joint. We performed the first osteotomy at the neck of metatarsal bone by "grafting" the distal polydactyly with the normal axis to the 5th metatarsal bone. Excision of the extra toe was accompanied by simultaneous restoration of the 5th toe axis and decrease in the width of the forefoot. Finally, both appearance and function could be improved. With this novel method, the complete osteoarticular structure and weight-bearing structure of foot were well-reconstructed. Based on the findings, we recommend that for the surgery of polydactyly, the beneficial parts should be preserved for reconstruction, and the tailored and personalized approach could be adopted.

摘要

多指畸形是一种常见的肢体畸形,绝大多数患者切除多余手指后效果良好。然而,这种治疗方法可能并不适用于所有多指畸形病例。治疗罕见类型的多指畸形并实现满意的矫正需要一些复杂的外科手术。在此,我们报告使用顶置成形术治疗第4和第5跖骨之间的多指畸形,并伴有第5跖趾关节成角。我们通过将具有正常轴线的远端多指“移植”到第5跖骨上,在跖骨颈部进行了第一次截骨术。切除多余脚趾的同时恢复了第5趾的轴线,并减小了前足的宽度。最终,外观和功能均得到改善。通过这种新方法,足部完整的骨关节结构和负重结构得到了良好重建。基于这些发现,我们建议对于多指畸形手术,应保留有益部分进行重建,并可采用量身定制的个性化方法。

https://cdn.ncbi.nlm.nih.gov/pmc/blobs/3665/9271621/6e2904404666/fped-10-931148-g0001.jpg

文献AI研究员

20分钟写一篇综述,助力文献阅读效率提升50倍。

立即体验

用中文搜PubMed

大模型驱动的PubMed中文搜索引擎

马上搜索

文档翻译

学术文献翻译模型,支持多种主流文档格式。

立即体验