• 文献检索
  • 文档翻译
  • 深度研究
  • 学术资讯
  • Suppr Zotero 插件Zotero 插件
  • 邀请有礼
  • 套餐&价格
  • 历史记录
应用&插件
Suppr Zotero 插件Zotero 插件浏览器插件Mac 客户端Windows 客户端微信小程序
定价
高级版会员购买积分包购买API积分包
服务
文献检索文档翻译深度研究API 文档MCP 服务
关于我们
关于 Suppr公司介绍联系我们用户协议隐私条款
关注我们

Suppr 超能文献

核心技术专利:CN118964589B侵权必究
粤ICP备2023148730 号-1Suppr @ 2026

文献检索

告别复杂PubMed语法,用中文像聊天一样搜索,搜遍4000万医学文献。AI智能推荐,让科研检索更轻松。

立即免费搜索

文件翻译

保留排版,准确专业,支持PDF/Word/PPT等文件格式,支持 12+语言互译。

免费翻译文档

深度研究

AI帮你快速写综述,25分钟生成高质量综述,智能提取关键信息,辅助科研写作。

立即免费体验

小肠脂肪瘤相关肠套叠:一例报告及文献复习

Intussusception Related to Small Intestinal Lipomas: A Case Report and Review of the Literature.

作者信息

Hu Qiang, Wu Jinfeng, Sun Yuanshui

机构信息

Department of General Surgery, Tongde Hospital of Zhejiang Province, Hangzhou, China.

出版信息

Front Surg. 2022 Jun 30;9:915114. doi: 10.3389/fsurg.2022.915114. eCollection 2022.

DOI:10.3389/fsurg.2022.915114
PMID:35846960
原文链接:https://pmc.ncbi.nlm.nih.gov/articles/PMC9280029/
Abstract

INTRODUCTION

Adult intussusception is a rare disease that is difficult to diagnose and treat and is even rarer when it is caused by a lipoma of the small intestine. We reported a case of a small intestine lipoma combined with intussusception, which can guide people in future clinical work.

CASE PRESENTATION

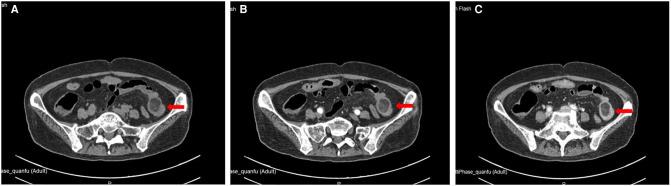
A 51-year-old female was admitted to the hospital with "abdominal pain for 1 month." Enhanced computed tomography (CT) of the abdomen suggested a lipoma in the left lower quadrant and a proximal intussusception. After excluding surgical contraindications, laparoscopic exploration was performed on the second day of admission, which showed a small amount of ascites in the abdominal cavity, a small intestine-small intestine-type intussusception about 20 cm from the ileocecal area and about 140 cm from the ileocecal area, and a mass of about 2×4 cm that was palpable by laparoscopic intestinal forceps, which was protruded into the intestinal cavity with a soft texture and sound mobility. A 5 cm-long incision was made above the mass to dissect into the abdomen layer by layer, and the diseased intestine was dislodged outside the abdominal cavity with oval forceps. The intestine was reduced by hand and observed for half an hour after reduction, and the blood circulation and peristalsis of the intestine were observed to be still sound. The intestine was dissected at 2 cm from the upper and lower margins of the mass using linear anastomosis to operate small intestine side-to-side anastomosis. The intestine was opened concurrently and closed with a linear anastomosis, using 3-0 absorbable thread to reinforce anastomosis intermittently. The procedure went smoothly, and the patient was discharged on the 5th postoperative day.

CONCLUSION

A small intestinal lipoma combined with small intestinal intussusception is rare in clinical practice and needs to be diagnosed by asking history detailedly, physical examination, and relevant ancillary tests such as abdominal CT. Laparoscopic-assisted small incision surgery for adult intussusception combines the advantages of laparoscopic surgery and laparotomy, operating simply and easily.

摘要

引言

成人肠套叠是一种罕见疾病,诊断和治疗困难,由小肠脂肪瘤引起的成人肠套叠更为罕见。我们报告了一例小肠脂肪瘤合并肠套叠的病例,可为今后的临床工作提供指导。

病例介绍

一名51岁女性因“腹痛1个月”入院。腹部增强计算机断层扫描(CT)显示左下腹有一个脂肪瘤,近端肠套叠。排除手术禁忌证后,于入院第二天进行腹腔镜探查,结果显示腹腔内有少量腹水,距回盲部约20 cm和距回盲部约140 cm处为小肠-小肠型肠套叠,腹腔镜肠钳可触及一个约2×4 cm的肿物,该肿物突入肠腔,质地柔软,活动度良好。在肿物上方做一个5 cm长的切口,逐层切开进入腹腔,用卵圆钳将病变肠管移出腹腔。手动复位肠管,复位后观察半小时,观察到肠管血液循环和蠕动仍良好。在距肿物上下边缘2 cm处切断肠管,采用直线吻合器行小肠侧侧吻合。同时打开肠管,用直线吻合器关闭,用3-0可吸收缝线间断加固吻合。手术过程顺利,患者术后第5天出院。

结论

小肠脂肪瘤合并小肠肠套叠在临床实践中较为罕见,需要通过详细询问病史、体格检查以及腹部CT等相关辅助检查来进行诊断。腹腔镜辅助小切口手术治疗成人肠套叠结合了腹腔镜手术和剖腹手术的优点,操作简单易行。

https://cdn.ncbi.nlm.nih.gov/pmc/blobs/de34/9280029/2cd559d44a31/fsurg-09-915114-g004.jpg
https://cdn.ncbi.nlm.nih.gov/pmc/blobs/de34/9280029/da2b067fc3fe/fsurg-09-915114-g001.jpg
https://cdn.ncbi.nlm.nih.gov/pmc/blobs/de34/9280029/265b38c6f853/fsurg-09-915114-g002.jpg
https://cdn.ncbi.nlm.nih.gov/pmc/blobs/de34/9280029/97e2c4d76667/fsurg-09-915114-g003.jpg
https://cdn.ncbi.nlm.nih.gov/pmc/blobs/de34/9280029/2cd559d44a31/fsurg-09-915114-g004.jpg
https://cdn.ncbi.nlm.nih.gov/pmc/blobs/de34/9280029/da2b067fc3fe/fsurg-09-915114-g001.jpg
https://cdn.ncbi.nlm.nih.gov/pmc/blobs/de34/9280029/265b38c6f853/fsurg-09-915114-g002.jpg
https://cdn.ncbi.nlm.nih.gov/pmc/blobs/de34/9280029/97e2c4d76667/fsurg-09-915114-g003.jpg
https://cdn.ncbi.nlm.nih.gov/pmc/blobs/de34/9280029/2cd559d44a31/fsurg-09-915114-g004.jpg

相似文献

1
Intussusception Related to Small Intestinal Lipomas: A Case Report and Review of the Literature.小肠脂肪瘤相关肠套叠:一例报告及文献复习
Front Surg. 2022 Jun 30;9:915114. doi: 10.3389/fsurg.2022.915114. eCollection 2022.
2
Colo-colic intussusception secondary to colon lipoma: A case report.结肠脂肪瘤继发结肠-结肠套叠:一例报告。
Int J Surg Case Rep. 2021 Apr;81:105695. doi: 10.1016/j.ijscr.2021.105695. Epub 2021 Mar 5.
3
Adult ileoileal intussusception induced by an ileal lipoma diagnosed preoperatively: report of a case and review of the literature.成人回肠-回肠型肠套叠由回肠脂肪瘤术前诊断引起:病例报告及文献复习。
Surg Today. 2012 Jul;42(7):686-92. doi: 10.1007/s00595-011-0092-6. Epub 2011 Dec 14.
4
Giant submucosal lipoma cause colo-colonic intussusception. A case report and review of literature.巨大黏膜下脂肪瘤导致结肠-结肠套叠。一例病例报告及文献复习。
Ann Ital Chir. 2012 Nov-Dec;83(6):559-62.
5
Laparoscopic resection of ileal lipoma diagnosed by multidetector-row computed tomography.通过多排螺旋计算机断层扫描诊断的回肠脂肪瘤的腹腔镜切除术
Surg Laparosc Endosc Percutan Tech. 2010 Dec;20(6):e226-9. doi: 10.1097/SLE.0b013e3182002ac4.
6
Large benign submucosal lipoma presented with descending colonic intussusception in an adult.一名成年患者出现降结肠肠套叠,病因是巨大良性黏膜下脂肪瘤。
Am J Case Rep. 2013 Jul 12;14:245-9. doi: 10.12659/AJCR.883975. Print 2013.
7
Jejunal intussusception due to an atypical lipomatous tumor: a rare case report.非典型脂肪瘤性肿瘤导致的空肠套叠:一例罕见病例报告
J Surg Case Rep. 2022 Feb 8;2022(2):rjab624. doi: 10.1093/jscr/rjab624. eCollection 2022 Feb.
8
Ileocecal Intussusception With Lipoma as a Lead Point Leading to Small Bowel Obstruction in an Elderly Male: A Case Report.以脂肪瘤为先导点的回盲部肠套叠致老年男性小肠梗阻:一例报告
Cureus. 2022 Sep 8;14(9):e28919. doi: 10.7759/cureus.28919. eCollection 2022 Sep.
9
Ileo-ileal intussusception secondary to a lipoma: a literature review.脂肪瘤继发回肠-回肠套叠:文献综述
Acta Chir Belg. 2007 Jan-Feb;107(1):60-3. doi: 10.1080/00015458.2007.11680013.
10
A case report of intestinal acute intussusception secondary to a lipoma: Imagery has a great value.脂肪瘤继发肠急性肠套叠一例报告:影像学具有重要价值。
Int J Surg Case Rep. 2024 Mar;116:109395. doi: 10.1016/j.ijscr.2024.109395. Epub 2024 Feb 16.

引用本文的文献

1
Intestinal intussusception: Uncommon occurrence in a 25-year-old female: A case report.肠套叠:一名25岁女性的罕见病例:病例报告
Int J Surg Case Rep. 2024 Dec;125:110626. doi: 10.1016/j.ijscr.2024.110626. Epub 2024 Nov 16.
2
Role of clinical and multidetector computed tomography (MDCT) features in the prediction of patients with intestinal lipoma developing intussusception.临床及多排螺旋计算机断层扫描(MDCT)特征在预测肠脂肪瘤患者发生肠套叠中的作用。
Quant Imaging Med Surg. 2024 Jun 1;14(6):3939-3950. doi: 10.21037/qims-23-1530. Epub 2024 May 20.
3
A 58-Year-Old Woman with Acute Torsion of the Small Bowel Due to Diffuse Intestinal Lipomatosis.

本文引用的文献

1
Celiac disease and intussusception - a rare but important association.乳糜泻与肠套叠——一种罕见但重要的关联。
Acta Gastroenterol Belg. 2022 Jan-Mar;85(1):111-112. doi: 10.51821/85.1.7959.
2
Combined Ileoileal and Ileocolic Intussusception Secondary to Inflammatory Fibroid Polyp in an Adult: A Case Report.成人炎性纤维瘤性息肉致回结型肠套叠 1 例报告
Medicina (Kaunas). 2022 Feb 18;58(2):310. doi: 10.3390/medicina58020310.
3
Jejunal intussusception due to an atypical lipomatous tumor: a rare case report.非典型脂肪瘤性肿瘤导致的空肠套叠:一例罕见病例报告
一位 58 岁女性,因弥漫性肠脂肪瘤病导致小肠急性扭转。
Am J Case Rep. 2024 Mar 23;25:e942527. doi: 10.12659/AJCR.942527.
J Surg Case Rep. 2022 Feb 8;2022(2):rjab624. doi: 10.1093/jscr/rjab624. eCollection 2022 Feb.
4
A giant lipoma: Rare cause of colo-colonic intussusception in an adult.
JAAPA. 2021 Dec 1;34(12):1. doi: 10.1097/01.JAA.0000800648.27016.4a.
5
The diagnosis and treatment of retrograde intussusception: a single-centre experience.逆行肠套叠的诊治:单中心经验。
BMC Surg. 2021 Nov 13;21(1):398. doi: 10.1186/s12893-021-01391-0.
6
Early discharge after nonoperative management of intussusception is both safe and cost-effective.非手术治疗肠套叠后早期出院既安全又具有成本效益。
J Pediatr Surg. 2022 Jan;57(1):147-152. doi: 10.1016/j.jpedsurg.2021.09.047. Epub 2021 Oct 5.
7
Laparoscopic Surgery for Adult Intussusception: Case Series.成人肠套叠的腹腔镜手术:病例系列。
Turk J Gastroenterol. 2021 Aug;32(8):611-615. doi: 10.5152/tjg.2020.19835.
8
Point-of-Care Ultrasound For Differentiating Ileocolic From Small Bowel-Small Bowel Intussusception.床边超声在鉴别回肠末端与小肠-小肠套叠中的应用。
J Emerg Med. 2022 Jan;62(1):72-82. doi: 10.1016/j.jemermed.2021.07.002. Epub 2021 Sep 11.
9
Role of clinical and CT findings in the identification of adult small-bowel intussusception requiring surgical intervention.临床和 CT 表现在诊断需要手术干预的成人小肠套叠中的作用。
BJS Open. 2021 Sep 6;5(5). doi: 10.1093/bjsopen/zrab076.
10
Management of Adult Intussusception-A Case Series Experience from a Tertiary Center.成人肠套叠的管理——来自三级中心的病例系列经验
World J Surg. 2021 Dec;45(12):3584-3591. doi: 10.1007/s00268-021-06277-z. Epub 2021 Aug 6.