• 文献检索
  • 文档翻译
  • 深度研究
  • 学术资讯
  • Suppr Zotero 插件Zotero 插件
  • 邀请有礼
  • 套餐&价格
  • 历史记录
应用&插件
Suppr Zotero 插件Zotero 插件浏览器插件Mac 客户端Windows 客户端微信小程序
定价
高级版会员购买积分包购买API积分包
服务
文献检索文档翻译深度研究API 文档MCP 服务
关于我们
关于 Suppr公司介绍联系我们用户协议隐私条款
关注我们

Suppr 超能文献

核心技术专利:CN118964589B侵权必究
粤ICP备2023148730 号-1Suppr @ 2026

文献检索

告别复杂PubMed语法,用中文像聊天一样搜索,搜遍4000万医学文献。AI智能推荐,让科研检索更轻松。

立即免费搜索

文件翻译

保留排版,准确专业,支持PDF/Word/PPT等文件格式,支持 12+语言互译。

免费翻译文档

深度研究

AI帮你快速写综述,25分钟生成高质量综述,智能提取关键信息,辅助科研写作。

立即免费体验

急转弯:经导管主动脉瓣置换术中发生的主动脉至右心房瘘。

A Sharp Right Turn: A Case of Aortic to Right Atrial Fistula During Transcatheter Aortic Valve Replacement.

机构信息

Department of Anesthesiology and Perioperative Medicine, Penn State Hershey Medical Center, Hershey, PA, USA.

出版信息

Am J Case Rep. 2022 Jul 21;23:e936749. doi: 10.12659/AJCR.936749.

DOI:10.12659/AJCR.936749
PMID:35862296
原文链接:https://pmc.ncbi.nlm.nih.gov/articles/PMC9319295/
Abstract

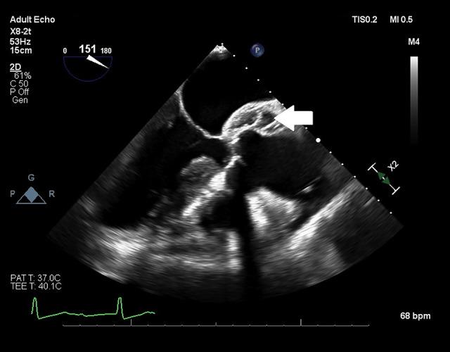
BACKGROUND Aorto-atrial fistulas (AAFs) are rare lesions typically associated with paravalvular abscesses or aortic aneurysms. Iatrogenic AAFs have been described after cardiac surgery. While these lesions are often asymptomatic, they can cause shunting and volume overload. Diagnosis of AAFs can be challenging. Transesophageal echocardiography plays a critical role in their diagnosis. CASE REPORT A 91-year-old man undergoing transcatheter aortic valve replacement (TAVR) for severe aortic stenosis had extreme tortuosity of the aorta and iliofemoral vessels. The patient developed a fistula from the non-sinus of Valsalva to the right atrium during the procedure. After the procedure, the patient developed stroke and retroperitoneal hematoma. CONCLUSIONS This case represents the first full report of an aorta to right atrial fistula after TAVR. The anatomy of the aortic root in relation to the right atrium and ventricle may make aorta to right ventricle fistulas more common than aorta to right atrial fistulas. This patient's vascular tortuosity may have played a role in the development of this lesion. Blood flow in an aorta to right atrial fistula occurs during both systole and diastole, making both right and left ventricle overload possible. Echocardiography is essential to the diagnosis of these lesions. Both vascular injury and landing zone rupture are possible during TAVR, although the observed timing and anatomy of this lesion suggest that it was caused during retrograde access of the left ventricular outflow tract via the ascending aorta.

摘要

背景

主动脉-心房瘘(AAFs)是一种罕见的病变,通常与瓣周脓肿或主动脉瘤有关。医源性 AAFs 已在心脏手术后被描述。虽然这些病变通常无症状,但它们会导致分流和容量过载。AAF 的诊断具有挑战性。经食管超声心动图在其诊断中起着关键作用。

病例报告

一名 91 岁男性因严重主动脉瓣狭窄而行经导管主动脉瓣置换术(TAVR),其主动脉和髂股血管极度迂曲。在手术过程中,患者从非窦 Valsalva 到右心房出现瘘管。手术后,患者发生中风和腹膜后血肿。

结论

本例是 TAVR 后首例完全报告的主动脉-右心房瘘。主动脉根部与右心房和心室的解剖结构可能使主动脉-右心室瘘比主动脉-右心房瘘更常见。该患者的血管迂曲可能在该病变的发展中起作用。主动脉-右心房瘘中的血流在收缩期和舒张期都发生,这使得右心室和左心室都有可能过载。超声心动图对于这些病变的诊断至关重要。虽然观察到的病变时间和解剖结构提示它是在通过升主动脉逆行进入左心室流出道期间引起的,但在 TAVR 期间可能会发生血管损伤和着陆区破裂。

https://cdn.ncbi.nlm.nih.gov/pmc/blobs/57e6/9319295/07c33dcfc4bb/amjcaserep-23-e936749-g005.jpg
https://cdn.ncbi.nlm.nih.gov/pmc/blobs/57e6/9319295/f58d7aa27734/amjcaserep-23-e936749-g001.jpg
https://cdn.ncbi.nlm.nih.gov/pmc/blobs/57e6/9319295/a5831db84bbf/amjcaserep-23-e936749-g002.jpg
https://cdn.ncbi.nlm.nih.gov/pmc/blobs/57e6/9319295/d35b5eea7d95/amjcaserep-23-e936749-g003.jpg
https://cdn.ncbi.nlm.nih.gov/pmc/blobs/57e6/9319295/0ed943241fe4/amjcaserep-23-e936749-g004.jpg
https://cdn.ncbi.nlm.nih.gov/pmc/blobs/57e6/9319295/07c33dcfc4bb/amjcaserep-23-e936749-g005.jpg
https://cdn.ncbi.nlm.nih.gov/pmc/blobs/57e6/9319295/f58d7aa27734/amjcaserep-23-e936749-g001.jpg
https://cdn.ncbi.nlm.nih.gov/pmc/blobs/57e6/9319295/a5831db84bbf/amjcaserep-23-e936749-g002.jpg
https://cdn.ncbi.nlm.nih.gov/pmc/blobs/57e6/9319295/d35b5eea7d95/amjcaserep-23-e936749-g003.jpg
https://cdn.ncbi.nlm.nih.gov/pmc/blobs/57e6/9319295/0ed943241fe4/amjcaserep-23-e936749-g004.jpg
https://cdn.ncbi.nlm.nih.gov/pmc/blobs/57e6/9319295/07c33dcfc4bb/amjcaserep-23-e936749-g005.jpg

相似文献

1
A Sharp Right Turn: A Case of Aortic to Right Atrial Fistula During Transcatheter Aortic Valve Replacement.急转弯:经导管主动脉瓣置换术中发生的主动脉至右心房瘘。
Am J Case Rep. 2022 Jul 21;23:e936749. doi: 10.12659/AJCR.936749.
2
Percutaneous closure of acute aorto-right ventricular fistula following transcatheter bicuspid aortic valve replacement.经导管双叶主动脉瓣置换术后急性主动脉-右心室瘘的经皮闭合术
Catheter Cardiovasc Interv. 2017 Jul;90(1):164-168. doi: 10.1002/ccd.26705. Epub 2016 Aug 22.
3
Delayed left ventricle-to-right atrial fistula following aortic valve replacement.主动脉瓣置换术后延迟出现的左心室至右心房瘘
J Heart Valve Dis. 2012 May;21(3):364-5.
4
Aorto-right ventricular fistula following transcatheter aortic valve implantation using a 29 mm SAPIEN XT valve.使用29毫米SAPIEN XT瓣膜经导管主动脉瓣植入术后发生的主动脉-右心室瘘。
BMJ Case Rep. 2017 Apr 7;2017:bcr-2017-219247. doi: 10.1136/bcr-2017-219247.
5
Incidental left atrial blood cyst in a patient undergoing transcatheter aortic valve replacement.经导管主动脉瓣置换术患者中偶然发现的左心房血囊肿。
Tex Heart Inst J. 2015 Feb 1;42(1):58-60. doi: 10.14503/THIJ-13-3699. eCollection 2015 Feb.
6
Multimodality Imaging and Percutaneous Closure of Right Sinus of Valsalva to Right Ventricular Outflow Tract Fistula After Transcatheter Aortic Valve Replacement.经导管主动脉瓣置换术后右冠窦至右心室流出道瘘的多模态成像与经皮封堵术
J Invasive Cardiol. 2019 Jul;31(7):E227-E228.
7
Case images: left ventricular outflow tract to left atrial fistula after aortic valve replacement.病例影像:主动脉瓣置换术后左心室流出道至左心房瘘
Turk Kardiyol Dern Ars. 2012 Apr;40(3):283. doi: 10.5543/tkda.2012.96630.
8
Echocardiography in transcatheter aortic (Core)Valve implantation: Part 2-Transesophageal echocardiography.经导管主动脉(核心)瓣膜植入术中的超声心动图:第2部分-经食管超声心动图
Echocardiography. 2018 Jul;35(7):1020-1041. doi: 10.1111/echo.14034.
9
Ventricular Septal Defect from Aortic Regurgitation Jet Lesion in Aortic Valve Infective Endocarditis.主动脉瓣感染性心内膜炎中主动脉反流喷射病变所致的室间隔缺损
J Heart Valve Dis. 2016 Mar;25(2):150-152.
10
Device landing zone calcification predicts significant paravalvular regurgitation after transcatheter aortic valve replacement: a real time three-dimensional transesophageal echocardiography study.装置着陆区钙化预测经导管主动脉瓣置换术后显著的瓣周反流:一项实时三维经食管超声心动图研究
Echocardiography. 2014 May;31(5):E142-4. doi: 10.1111/echo.12550. Epub 2014 Mar 19.

本文引用的文献

1
Aorto-Right Ventricular Fistula and Paravalvular Leak After Transcatheter Aortic Valve Implantation.经导管主动脉瓣植入术后的主动脉-右心室瘘和瓣周漏
JACC Case Rep. 2019 Dec 18;1(5):859-864. doi: 10.1016/j.jaccas.2019.11.025.
2
Femoral Versus Nonfemoral Subclavian/Carotid Arterial Access Route for Transcatheter Aortic Valve Replacement: A Systematic Review and Meta-Analysis.股动脉与非股动脉锁骨下/颈动脉入路行经导管主动脉瓣置换术的比较:系统评价和荟萃分析。
J Am Heart Assoc. 2020 Oct 20;9(19):e017460. doi: 10.1161/JAHA.120.017460. Epub 2020 Sep 29.
3
Safety and efficacy of transaxillary transcatheter aortic valve replacement using a current-generation balloon-expandable valve.
使用新一代球囊扩张瓣膜经腋下经导管主动脉瓣置换术的安全性和有效性。
J Cardiothorac Surg. 2020 Sep 10;15(1):244. doi: 10.1186/s13019-020-01291-z.
4
Transaxillary TAVR Leads to Shorter Ventilator Duration and Hospital Length of Stay Compared to Transapical TAVR.经胸入路 TAVR 与经心尖入路 TAVR 相比,可缩短机械通气时间和住院时间。
Curr Probl Cardiol. 2021 Mar;46(3):100624. doi: 10.1016/j.cpcardiol.2020.100624. Epub 2020 May 22.
5
A meta-analysis comparing transaxillary and transfemoral transcatheter aortic valve replacement.一项比较经腋动脉与经股动脉经导管主动脉瓣置换术的荟萃分析。
J Thorac Dis. 2019 Dec;11(12):5140-5151. doi: 10.21037/jtd.2019.12.07.
6
Impact of Complications During Transfemoral Transcatheter Aortic Valve Replacement: How Can They Be Avoided and Managed?经股动脉经导管主动脉瓣置换术中并发症的影响:如何避免和处理这些并发症?
J Am Heart Assoc. 2019 Sep 17;8(18):e013801. doi: 10.1161/JAHA.119.013801. Epub 2019 Sep 14.
7
Comparison of early and midterm outcomes after transsubclavian/axillary versus transfemoral, transapical, or transaortic transcatheter aortic valve implantation.经锁骨下动脉/腋窝与经股动脉、经心尖或经主动脉途径行经导管主动脉瓣植入术的早期和中期结果比较。
Heart Lung. 2019 Nov-Dec;48(6):519-529. doi: 10.1016/j.hrtlng.2019.04.002. Epub 2019 May 7.
8
Aorto-atrial fistula formation and closure: a systematic review.主动脉-心房瘘的形成与闭合:一项系统评价
J Thorac Dis. 2019 Mar;11(3):1031-1046. doi: 10.21037/jtd.2019.01.77.
9
Alternate Access for TAVI: Stay Clear of the Chest.经导管主动脉瓣植入术的替代入路:避开胸部。
Interv Cardiol. 2018 Sep;13(3):145-150. doi: 10.15420/icr.2018.22.1.
10
Non-transfemoral access sites for transcatheter aortic valve replacement.经导管主动脉瓣置换术的非经股动脉入路部位
J Thorac Dis. 2018 Jul;10(7):4505-4515. doi: 10.21037/jtd.2018.06.150.