Suppr超能文献

颞骨转移导致的孤立性面神经麻痹

Isolated Facial Nerve Palsy Due to Temporal Bone Metastasis.

作者信息

Isaac Sangeetha, Pasha Mohammed Afraz, Yap Yoon Sim, Chan Jason

机构信息

Internal Medicine, North Alabama Medical Center, Florence, USA.

Division of Medical Oncology, National Cancer Centre Singapore, Singapore, SGP.

出版信息

Cureus. 2022 Jul 17;14(7):e26931. doi: 10.7759/cureus.26931. eCollection 2022 Jul.

Abstract

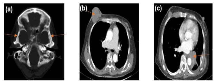
Isolated facial nerve palsy resulting from temporal bone metastasis is rare and has been sparsely reported in the literature to be the initial presentation of cancer. The most commonly reported sites of origin of such metastases include the breast, lung, kidney, gastrointestinal tract, larynx, prostate, and thyroid, to name a few. Here, we discuss a patient initially presenting with isolated lower motor neuron facial nerve palsy. The diagnosis was revised to that of breast cancer with metastasis to the temporal bone resulting in facial nerve paralysis following the subsequent clinical presentation.

摘要

由颞骨转移引起的孤立性面神经麻痹较为罕见,在文献中鲜有报道作为癌症的首发表现。此类转移最常报道的原发部位包括乳腺、肺、肾、胃肠道、喉、前列腺和甲状腺等。在此,我们讨论一名最初表现为孤立性下运动神经元面神经麻痹的患者。在随后的临床表现后,诊断修正为乳腺癌伴颞骨转移导致面神经麻痹。

https://cdn.ncbi.nlm.nih.gov/pmc/blobs/6952/9293256/009bb2a57561/cureus-0014-00000026931-i01.jpg

文献AI研究员

20分钟写一篇综述,助力文献阅读效率提升50倍。

立即体验

用中文搜PubMed

大模型驱动的PubMed中文搜索引擎

马上搜索

文档翻译

学术文献翻译模型,支持多种主流文档格式。

立即体验