Suppr超能文献

用于处理眶内肿瘤的内直肌牵开的比较性内镜技术:我们的5例经验

Comparative endoscopic techniques of medial rectus muscle retraction for approaching intraconal tumors: Our experience with five cases.

作者信息

Chen Linli, Yan Xiaorong, Fu Yunshan, Wang Tingting, Zhan Zhiyun, Ye Shengnan, Jiang Changzhen, Chen Guohao

机构信息

Department of Otorhinolaryngology, Fujian Institute of Otorhinolaryngology, The First Affiliated Hospital, Fujian Medical University, Fuzhou, China.

Department of Neurosurgery, The First Affiliated Hospital, Fujian Medical University, Fuzhou, China.

出版信息

Front Surg. 2022 Jul 15;9:923712. doi: 10.3389/fsurg.2022.923712. eCollection 2022.

Abstract

OBJECTIVE

To examine the role of transnasal endoscopic approaches in the management of intraconal tumors and demonstrate the use of an eyelid speculum in comparison with different techniques of medial rectus muscle (MRM) retraction.

METHODS

Retrospective data of five patients with intraconal tumors operated on and followed up by the senior authors between December 2019 and April 2022 was collected. Presenting symptoms, technical details, imaging and histology findings, outcomes, and complications were evaluated.

RESULTS

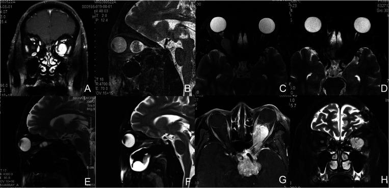
Four primary and one recurrent tumor were identified. The mean patient age was 50 (range, 29-64) years. One tumor was located lateral to the optic nerve, one central and three medial. A complete surgical resection was obtained in four primary cases and a partial resection was achieved in the recurrent case. The MRM was retracted using three different techniques: (1) an infant eyelid speculum creating an operative window between the medial and inferior rectus muscle, (2) external MRM disinsertion transconjunctivally, (3) a four-handed technique performed transseptally by two surgeons. Transient postoperative ophthalmoplegia was recorded in four cases and transient ptosis in one. Three patients completely recovered in 2-3 months while one undergoing MRM disinsertion ended up in restricted strabismus at 15-month follow-up. No other long-term complications have been noted in all five patients with a mean follow-up of 22 (range, 14-32) months. No patients with primary tumors have required additional surgery for tumor recurrence.

CONCLUSION

The indication of endoscopic intraconal surgery may expand to lesions lateral to the optic nerve when the nerve is not in its natural position. The well-known advantages of the endoscopic techniques, namely the lack of external scars, better visualization, less bleeding, and fewer complications, were confirmed. An eye speculum provides a better surgical corridor and eases the pressure exerted on the MRM, which has a promising application prospect.

摘要

目的

探讨经鼻内镜手术在圆锥内肿瘤治疗中的作用,并与不同的内直肌(MRM)牵拉技术相比较,展示眼睑撑开器的应用。

方法

收集2019年12月至2022年4月期间由资深作者进行手术及随访的5例圆锥内肿瘤患者的回顾性数据。对患者的症状表现、技术细节、影像学和组织学检查结果、手术效果及并发症进行评估。

结果

共发现4例原发性肿瘤和1例复发性肿瘤。患者平均年龄为50岁(范围29 - 64岁)。1例肿瘤位于视神经外侧,1例位于中央,3例位于内侧。4例原发性肿瘤实现了完整手术切除,复发性肿瘤实现了部分切除。采用三种不同技术牵拉MRM:(1)使用婴儿眼睑撑开器在鼻下直肌之间创建手术窗口;(2)经结膜外MRM断腱;(3)两名外科医生经鼻中隔采用四手操作技术。4例患者术后出现短暂性眼肌麻痹,1例出现短暂性上睑下垂。3例患者在2 - 3个月内完全恢复,1例接受MRM断腱术的患者在15个月随访时出现斜视受限。5例患者平均随访22个月(范围14 - 32个月),均未发现其他长期并发症。所有原发性肿瘤患者均未因肿瘤复发而需要再次手术。

结论

当视神经位置异常时,内镜下圆锥内手术的适应证可能扩展至视神经外侧的病变。内镜技术具有无外部瘢痕、视野更佳、出血更少、并发症更少等众所周知的优点,这得到了证实。眼睑撑开器提供了更好的手术通道,减轻了对MRM的压力,具有广阔的应用前景。

https://cdn.ncbi.nlm.nih.gov/pmc/blobs/c79e/9334750/10c52c3fcad3/fsurg-09-923712-g001.jpg

文献检索

告别复杂PubMed语法,用中文像聊天一样搜索,搜遍4000万医学文献。AI智能推荐,让科研检索更轻松。

立即免费搜索

文件翻译

保留排版,准确专业,支持PDF/Word/PPT等文件格式,支持 12+语言互译。

免费翻译文档

深度研究

AI帮你快速写综述,25分钟生成高质量综述,智能提取关键信息,辅助科研写作。

立即免费体验