• 文献检索
  • 文档翻译
  • 深度研究
  • 学术资讯
  • Suppr Zotero 插件Zotero 插件
  • 邀请有礼
  • 套餐&价格
  • 历史记录
应用&插件
Suppr Zotero 插件Zotero 插件浏览器插件Mac 客户端Windows 客户端微信小程序
定价
高级版会员购买积分包购买API积分包
服务
文献检索文档翻译深度研究API 文档MCP 服务
关于我们
关于 Suppr公司介绍联系我们用户协议隐私条款
关注我们

Suppr 超能文献

核心技术专利:CN118964589B侵权必究
粤ICP备2023148730 号-1Suppr @ 2026

文献检索

告别复杂PubMed语法,用中文像聊天一样搜索,搜遍4000万医学文献。AI智能推荐,让科研检索更轻松。

立即免费搜索

文件翻译

保留排版,准确专业,支持PDF/Word/PPT等文件格式,支持 12+语言互译。

免费翻译文档

深度研究

AI帮你快速写综述,25分钟生成高质量综述,智能提取关键信息,辅助科研写作。

立即免费体验

双J管导致的危及生命的并发症:肾包膜下血肿。

Life-threatening complication due to double-J stent: renal subcapsular hematoma.

作者信息

Rahoui Moez, Ouanes Yassine, Chaker Kays, Dali Kheireddine Mrad, Bibi Mokhtar, Sellami Ahmed, Rhouma Sami Ben, Nouira Yassine

机构信息

Urology Department, La Rabta Hospital, Tunis, Tunisia.

出版信息

J Surg Case Rep. 2022 Jul 30;2022(7):rjac329. doi: 10.1093/jscr/rjac329. eCollection 2022 Jul.

DOI:10.1093/jscr/rjac329
PMID:35919704
原文链接:https://pmc.ncbi.nlm.nih.gov/articles/PMC9341300/
Abstract

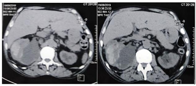
The double-J ureteral stent is a standard procedure in daily urological practice. Although considered as safe, this approach is fraught with several complications. These complications are of limited severity and resolve with symptomatic treatment. In some cases, serious and life-threatening complications, such as infection and subcapsular hematoma, can occur. In the literature, a few cases of subcapsular renal hematoma secondary to ureteral stent insertion have been reported. Herein, we report a case of renal subcapsular hematoma combined with hemorrhagic shock in a 67-year-old patient who had a ureteral stent insertion one month ago.

摘要

双J型输尿管支架置入术是泌尿外科日常实践中的标准操作。尽管该方法被认为是安全的,但仍存在一些并发症。这些并发症严重程度有限,通过对症治疗可缓解。在某些情况下,可能会出现严重且危及生命的并发症,如感染和包膜下血肿。文献中已报道了少数几例输尿管支架置入术后继发包膜下肾血肿的病例。在此,我们报告一例67岁患者,该患者在一个月前进行了输尿管支架置入术,现发生肾包膜下血肿合并失血性休克。

https://cdn.ncbi.nlm.nih.gov/pmc/blobs/66d8/9341300/006028003025/rjac329f1.jpg
https://cdn.ncbi.nlm.nih.gov/pmc/blobs/66d8/9341300/006028003025/rjac329f1.jpg
https://cdn.ncbi.nlm.nih.gov/pmc/blobs/66d8/9341300/006028003025/rjac329f1.jpg

相似文献

1
Life-threatening complication due to double-J stent: renal subcapsular hematoma.双J管导致的危及生命的并发症:肾包膜下血肿。
J Surg Case Rep. 2022 Jul 30;2022(7):rjac329. doi: 10.1093/jscr/rjac329. eCollection 2022 Jul.
2
Subcapsular double-J stent following ureteroscopy: unique complication.输尿管镜检查后置入输尿管双J管:一种独特的并发症。
J Surg Case Rep. 2020 Oct 19;2020(10):rjaa404. doi: 10.1093/jscr/rjaa404. eCollection 2020 Oct.
3
Large Hepatic Subcapsular Hematoma Secondary to Double-J Stent Placement.双J管置入术后继发的巨大肝包膜下血肿
J Endourol Case Rep. 2019 Aug 30;5(3):85-87. doi: 10.1089/cren.2019.0017. eCollection 2019.
4
Perinephric Hematoma Associated with Pyelonephritis Following Ureteral Stent Placement for Ureteral Obstruction Causing Hydronephrosis.输尿管支架置入治疗输尿管梗阻引起的肾积水后并发肾盂肾炎并肾周血肿。
Am J Case Rep. 2021 Apr 27;22:e931404. doi: 10.12659/AJCR.931404.
5
Subcapsular renal hematoma after ureteroscopy with holmium:yttrium-aluminum-garnet laser lithotripsy.钬激光:钇铝石榴石激光碎石术输尿管镜检查术后肾包膜下血肿
Lasers Med Sci. 2015 Jul;30(5):1527-32. doi: 10.1007/s10103-015-1760-3. Epub 2015 May 7.
6
An unusual complication of a double-J ureteral stent: renal parenchymal perforation in a solitary kidney.双J型输尿管支架的一种罕见并发症:孤立肾肾实质穿孔
Turk J Urol. 2014 Dec;40(4):245-7. doi: 10.5152/tud.2014.76753. Epub 2014 Oct 15.
7
Renal Parenchyma Perforation and Hematoma Formation following Double-J Stent Insertion in a Solitary Functioning Kidney: An Unusual Complication.单功能肾双J管置入术后肾实质穿孔和血肿形成:一种罕见并发症
Case Rep Urol. 2012;2012:301275. doi: 10.1155/2012/301275. Epub 2012 Oct 2.
8
A Rare Case of Spontaneous Bilateral Subcapsular Renal Hematoma.自发性双侧肾包膜下血肿罕见病例报告。
J Investig Med High Impact Case Rep. 2020 Jan-Dec;8:2324709620918098. doi: 10.1177/2324709620918098.
9
Subcapsular Renal-Infected Hematoma After Retrograde Intrarenal Surgery: A Rare but Serious Complication.逆行性肾内手术后的肾包膜下感染性血肿:一种罕见但严重的并发症。
J Endourol Case Rep. 2016 Mar 1;2(1):52-4. doi: 10.1089/cren.2016.0007. eCollection 2016.
10
Subcapsular renal hematoma after retrograde ureterorenoscopic lithotripsy: our experience.逆行输尿管肾镜碎石术后肾包膜下血肿:我们的经验
Minerva Urol Nefrol. 2018 Dec;70(6):617-623. doi: 10.23736/S0393-2249.18.03199-5. Epub 2018 Jul 23.

本文引用的文献

1
Subcapsular double-J stent following ureteroscopy: unique complication.输尿管镜检查后置入输尿管双J管:一种独特的并发症。
J Surg Case Rep. 2020 Oct 19;2020(10):rjaa404. doi: 10.1093/jscr/rjaa404. eCollection 2020 Oct.
2
An uncommon situation of kidney perforation with a ureteric stent.输尿管支架导致肾穿孔的罕见情况。
Cent European J Urol. 2014;67(1):113-4. doi: 10.5173/ceju.2014.01.art28. Epub 2014 Apr 17.
3
Renal Parenchyma Perforation and Hematoma Formation following Double-J Stent Insertion in a Solitary Functioning Kidney: An Unusual Complication.
单功能肾双J管置入术后肾实质穿孔和血肿形成:一种罕见并发症
Case Rep Urol. 2012;2012:301275. doi: 10.1155/2012/301275. Epub 2012 Oct 2.