Suppr超能文献

由氨甲喋呤以外的化疗药物引起的伴轴索性球体的中毒性脑白质病。

Toxic leukoencephalopathy with axonal spheroids caused by chemotherapeutic drugs other than methotrexate.

机构信息

Department of Pathology, Seoul National University College of Medicine, 103 Daehak-ro, Jongno-gu, Seoul, 03080, Republic of Korea.

Internal Medicine, Seoul National University College of Medicine, Seoul, 03080, Republic of Korea.

出版信息

BMC Neurol. 2022 Aug 3;22(1):288. doi: 10.1186/s12883-022-02818-8.

Abstract

BACKGROUND

The objective of this report is to share the clinicopathological features of chemotherapy-induced toxic leukoencephalopathy, which is a rare and under-recognized disease, clinically characterized by rapidly progressive cognitive loss that often leads to sudden death.

CASE PRESENTATION

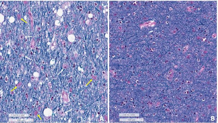
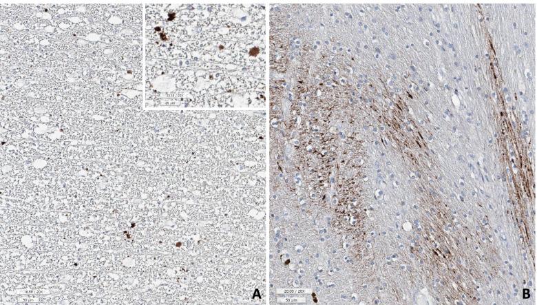
A 64-year-old woman and a 63-year-old man, who had both suffered from a rapid deterioration of consciousness, were autopsied under the clinical impressions of either the central nervous system graft versus host disease (CNS-GVHD), infectious encephalitis, or autoimmune encephalitis. Both patients had been treated with multiple chemotherapy regimens, including adriamycin, cytarabine arabinoside, daunorubicin, fludarabine, azacitidine, and allogeneic peripheral blood stem cell transplantation to treat hematological malignancies (acute myelogenous leukemia and myelodysplastic syndrome). Neuropathological findings at autopsy revealed rarefaction and vacuolar changes of the white matter with axonal spheroids, reactive gliosis, and foamy macrophage infiltration, predominantly in the visual pathways of the occipital and temporal lobes. Damaged axons exhibited immunoreactivity to beta-amyloid, consistent with axonopathy. However, there was no lymphocyte infiltration that suggested CNS-GVHD or any type of encephalitis.

CONCLUSION

The neuropathology found in the presented cases had the characteristic features of toxic leukoencephalopathy (chemobrain). Our cases showed that toxic leukoencephalopathy can also be caused by chemotherapy drugs other than methotrexate.

摘要

背景

本报告的目的是分享化疗诱导的毒理性脑白质病的临床病理特征,这种疾病较为罕见且认识不足,临床上表现为认知功能迅速下降,常导致突然死亡。

病例介绍

一名 64 岁女性和一名 63 岁男性,均因意识迅速恶化而行尸检,临床印象为中枢神经系统移植物抗宿主病(CNS-GVHD)、感染性脑炎或自身免疫性脑炎。两名患者均接受了多种化疗方案治疗,包括阿霉素、阿糖胞苷阿拉伯糖苷、柔红霉素、氟达拉滨、阿扎胞苷和异基因外周血干细胞移植,以治疗血液系统恶性肿瘤(急性髓系白血病和骨髓增生异常综合征)。尸检的神经病理学发现,白质稀疏和空泡化,伴有轴突球体、反应性神经胶质增生和泡沫状巨噬细胞浸润,主要位于枕叶和颞叶的视觉通路。受损的轴突对β-淀粉样蛋白表现出免疫反应性,符合轴突病。然而,没有提示 CNS-GVHD 或任何类型脑炎的淋巴细胞浸润。

结论

所呈现病例的神经病理学具有毒理性脑白质病(化疗性脑)的特征。我们的病例表明,除甲氨蝶呤外,其他化疗药物也可引起毒理性脑白质病。

https://cdn.ncbi.nlm.nih.gov/pmc/blobs/540d/9347126/b029af11c605/12883_2022_2818_Fig1_HTML.jpg

文献检索

告别复杂PubMed语法,用中文像聊天一样搜索,搜遍4000万医学文献。AI智能推荐,让科研检索更轻松。

立即免费搜索

文件翻译

保留排版,准确专业,支持PDF/Word/PPT等文件格式,支持 12+语言互译。

免费翻译文档

深度研究

AI帮你快速写综述,25分钟生成高质量综述,智能提取关键信息,辅助科研写作。

立即免费体验