Suppr超能文献

通过弓状束纤维束成像对低级别胶质瘤患者语言功能区进行无创预测:与Wada试验的相关性

Noninvasive Prediction of Language Lateralization Through Arcuate Fasciculus Tractography in Patients With Low-Grade Gliomas: Correlation With The Wada Test.

作者信息

Wu Dongdong, Zhang Meng, Geng Jiefeng, Chen Xiaolei

机构信息

Department of Neurosurgery, Chinese People's Liberation Army (PLA) General Hospital, Beijing, China.

Department of Neurosurgery, The Second Hospital of Southern Theater of Chinese Navy, Sanya, China.

出版信息

Front Oncol. 2022 Jul 22;12:936228. doi: 10.3389/fonc.2022.936228. eCollection 2022.

Abstract

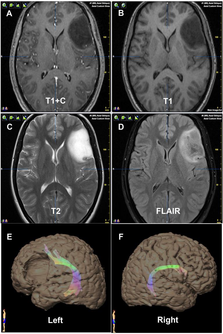
Language lateralization is unique to humans, so clarifying dominant side is helpful for removing gliomas involving language areas. This study investigated the arcuate fasciculus (AF) reconstructed by diffusion tensor imaging-based tractography (DTT) in predicting language lateralization in patients with low-grade gliomas. Wada test was performed to determine the language Dominant Hemisphere (DH) and the Contralateral Hemisphere. DTI data [1.5-T magnetic resonance imaging (MRI)] was used to reconstruct AF by two independent operators using a DTT method. Fiber number, volume, and fractional anisotropy (FA) of bilateral reconstructed AF were measured. Lateralization indexes (LIs), including Number Index (NI), Volume Index (VI), and FA Index (FI), were accordingly calculated by mean values. A total of 21 patients with WHO Grade II gliomas in the left hemisphere were included. Every patient received a successful Wada test and reconstruction of bilateral AF. DTT metrics of reconstructed AF, such as fiber number, volume, and FA, showed significantly asymmetric between hemispheres. All the LI (NI, VI, and FI) values were statistically higher in the DH determined by the Wada test. No discrepancy was found between the prediction using the cutoff values of DTT metrics and the results of WADA test. The Kappa values were 0.829, 0.696, and 0.611, indicating NI and VI as more reliable predictor than FI although FI itself may also be feasible. Compared with the Wada test, we consider that DTT of AF is a non-invasive, simple, relatively accurate, and feasible method in predicting language lateralization in patients with low-grade gliomas.

摘要

语言侧化是人类独有的,因此明确优势侧有助于切除累及语言区的胶质瘤。本研究调查了基于扩散张量成像纤维束示踪(DTT)重建的弓状束(AF)在预测低级别胶质瘤患者语言侧化中的作用。进行Wada试验以确定语言优势半球(DH)和对侧半球。使用1.5-T磁共振成像(MRI)的DTI数据由两名独立操作人员采用DTT方法重建AF。测量双侧重建AF的纤维数量、体积和分数各向异性(FA)。相应地通过平均值计算包括数量指数(NI)、体积指数(VI)和FA指数(FI)在内的侧化指数(LI)。共纳入21例左半球WHO二级胶质瘤患者。每位患者均成功进行了Wada试验和双侧AF重建。重建AF的DTT指标,如纤维数量、体积和FA,在半球间显示出明显的不对称性。在Wada试验确定的DH中,所有LI(NI、VI和FI)值在统计学上更高。使用DTT指标的临界值进行的预测与WADA试验结果之间未发现差异。Kappa值分别为0.829、0.696和0.611,表明NI和VI比FI是更可靠的预测指标,尽管FI本身也可能可行。与Wada试验相比,我们认为AF的DTT是一种预测低级别胶质瘤患者语言侧化的非侵入性、简单、相对准确且可行的方法。

https://cdn.ncbi.nlm.nih.gov/pmc/blobs/58c5/9354698/9a4b3276684b/fonc-12-936228-g001.jpg

文献检索

告别复杂PubMed语法,用中文像聊天一样搜索,搜遍4000万医学文献。AI智能推荐,让科研检索更轻松。

立即免费搜索

文件翻译

保留排版,准确专业,支持PDF/Word/PPT等文件格式,支持 12+语言互译。

免费翻译文档

深度研究

AI帮你快速写综述,25分钟生成高质量综述,智能提取关键信息,辅助科研写作。

立即免费体验