• 文献检索
  • 文档翻译
  • 深度研究
  • 学术资讯
  • Suppr Zotero 插件Zotero 插件
  • 邀请有礼
  • 套餐&价格
  • 历史记录
应用&插件
Suppr Zotero 插件Zotero 插件浏览器插件Mac 客户端Windows 客户端微信小程序
定价
高级版会员购买积分包购买API积分包
服务
文献检索文档翻译深度研究API 文档MCP 服务
关于我们
关于 Suppr公司介绍联系我们用户协议隐私条款
关注我们

Suppr 超能文献

核心技术专利:CN118964589B侵权必究
粤ICP备2023148730 号-1Suppr @ 2026

文献检索

告别复杂PubMed语法,用中文像聊天一样搜索,搜遍4000万医学文献。AI智能推荐,让科研检索更轻松。

立即免费搜索

文件翻译

保留排版,准确专业,支持PDF/Word/PPT等文件格式,支持 12+语言互译。

免费翻译文档

深度研究

AI帮你快速写综述,25分钟生成高质量综述,智能提取关键信息,辅助科研写作。

立即免费体验

经皮射频消融治疗肝细胞癌后并发肝脓肿和胆支气管瘘的支气管腔内 Watanabe 分叉管置入术。

Endobronchial Watanabe Spigot Placement for Hepatic Abscess and Bronchobiliary Fistula Following Radiofrequency Ablation for Hepatocellular Carcinoma.

机构信息

Department of Respiratory Medicine, Juntendo University Nerima Hospital, Japan.

Department of Gastroenterology, Juntendo University Nerima Hospital, Japan.

出版信息

Intern Med. 2023 Apr 1;62(7):999-1004. doi: 10.2169/internalmedicine.0392-22. Epub 2022 Aug 10.

DOI:10.2169/internalmedicine.0392-22
PMID:35945018
原文链接:https://pmc.ncbi.nlm.nih.gov/articles/PMC10125827/
Abstract

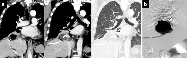
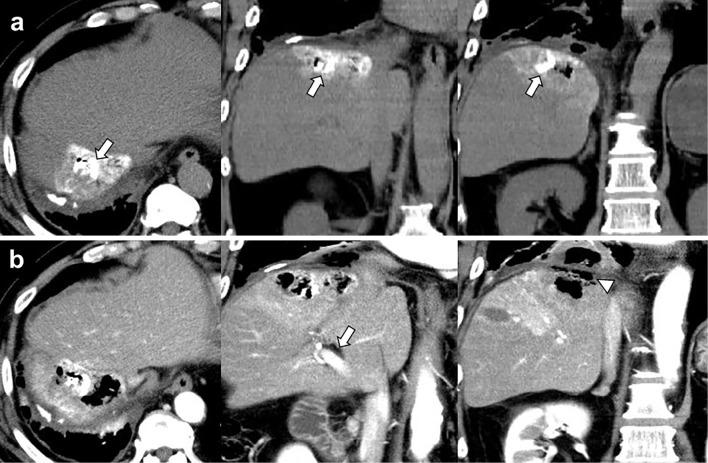
A bronchobiliary fistula (BBF) is an uncommon but severe complication after radiofrequency ablation (RFA). However, the definitive salvage methods are controversial. We herein report a patient with hepatocellular carcinoma with hepatic abscess and BBF following RFA. We also review previous reports of BBF after RFA. The patient was a man in his 70s who underwent RFA for recurrent hepatocellular carcinoma in the subphrenic area. Despite percutaneous transhepatic abscess drainage, bilioptysis persisted. Finally, the BBF was occluded with an endobronchial Watanabe spigot under fiber-optic bronchoscopy. Placing an endobronchial Watanabe spigot should be considered as a salvage therapy for refractory BBF following RFA.

摘要

支气管胆瘘(BBF)是射频消融(RFA)后一种罕见但严重的并发症。然而,明确的补救方法存在争议。我们在此报告一例 RFA 后肝脓肿和 BBF 的肝细胞癌患者。我们还回顾了 RFA 后 BBF 的以往报告。患者为 70 多岁男性,因膈下区复发性肝细胞癌接受 RFA 治疗。尽管经皮经肝脓肿引流,但仍存在胆汁漏。最终,在纤维支气管镜下通过支气管内渡边塞子闭塞 BBF。对于 RFA 后难治性 BBF,放置支气管内渡边塞子应被视为一种补救治疗方法。

https://cdn.ncbi.nlm.nih.gov/pmc/blobs/a6da/10125827/9fc9c576a36d/1349-7235-62-0999-g005.jpg
https://cdn.ncbi.nlm.nih.gov/pmc/blobs/a6da/10125827/be94de0bd3f9/1349-7235-62-0999-g001.jpg
https://cdn.ncbi.nlm.nih.gov/pmc/blobs/a6da/10125827/9b7f36a6e9a1/1349-7235-62-0999-g002.jpg
https://cdn.ncbi.nlm.nih.gov/pmc/blobs/a6da/10125827/a76ffd89fff5/1349-7235-62-0999-g003.jpg
https://cdn.ncbi.nlm.nih.gov/pmc/blobs/a6da/10125827/c1e9f9483c19/1349-7235-62-0999-g004.jpg
https://cdn.ncbi.nlm.nih.gov/pmc/blobs/a6da/10125827/9fc9c576a36d/1349-7235-62-0999-g005.jpg
https://cdn.ncbi.nlm.nih.gov/pmc/blobs/a6da/10125827/be94de0bd3f9/1349-7235-62-0999-g001.jpg
https://cdn.ncbi.nlm.nih.gov/pmc/blobs/a6da/10125827/9b7f36a6e9a1/1349-7235-62-0999-g002.jpg
https://cdn.ncbi.nlm.nih.gov/pmc/blobs/a6da/10125827/a76ffd89fff5/1349-7235-62-0999-g003.jpg
https://cdn.ncbi.nlm.nih.gov/pmc/blobs/a6da/10125827/c1e9f9483c19/1349-7235-62-0999-g004.jpg
https://cdn.ncbi.nlm.nih.gov/pmc/blobs/a6da/10125827/9fc9c576a36d/1349-7235-62-0999-g005.jpg

相似文献

1
Endobronchial Watanabe Spigot Placement for Hepatic Abscess and Bronchobiliary Fistula Following Radiofrequency Ablation for Hepatocellular Carcinoma.经皮射频消融治疗肝细胞癌后并发肝脓肿和胆支气管瘘的支气管腔内 Watanabe 分叉管置入术。
Intern Med. 2023 Apr 1;62(7):999-1004. doi: 10.2169/internalmedicine.0392-22. Epub 2022 Aug 10.
2
Percutaneous management of a bronchobiliary fistula after radiofrequency ablation in a patient with hepatocellular carcinoma.肝细胞癌患者射频消融术后经皮治疗支气管胆管瘘
Korean J Radiol. 2009 Jul-Aug;10(4):411-5. doi: 10.3348/kjr.2009.10.4.411. Epub 2009 Jun 25.
3
Bronchobiliary fistula after ablation of hepatocellular carcinoma adjacent to the diaphragm: Case report and literature review.膈邻近肝癌消融后并发支气管胆瘘:病例报告及文献复习。
Thorac Cancer. 2020 May;11(5):1233-1238. doi: 10.1111/1759-7714.13380. Epub 2020 Mar 9.
4
Endobronchial Watanabe Spigot in the treatment of bronchobiliary fistula.支气管内渡边套管治疗支气管胆管瘘
Monaldi Arch Chest Dis. 2016 Jun 22;81(1-2):747. doi: 10.4081/monaldi.2015.747.
5
Bronchobiliary fistula following radiofrequency ablation for liver metastases from breast cancer: A case report and literature review.乳腺癌肝转移射频消融术后并发支气管胆管瘘:一例报告及文献复习
Medicine (Baltimore). 2018 Oct;97(43):e12760. doi: 10.1097/MD.0000000000012760.
6
Delayed bronchobiliary fistula and cholangiolithiasis following percutaneous radio frequency ablation for hepatocellular carcinoma.经皮射频消融治疗肝细胞癌后迟发性支气管胆管瘘和胆管结石病
Exp Biol Med (Maywood). 2015 Feb;240(2):156-9. doi: 10.1177/1535370214548997. Epub 2014 Aug 18.
7
Endoscopic management of a bronchobiliary fistula.支气管胆管瘘的内镜治疗
J Clin Gastroenterol. 1996 Sep;23(2):125-7. doi: 10.1097/00004836-199609000-00012.
8
Surgical treatment of bronchobiliary fistula due to radiofrequency ablation for recurrent hepatocellular carcinoma.复发性肝细胞癌射频消融术后支气管胆瘘的外科治疗
Korean J Hepatobiliary Pancreat Surg. 2013 Aug;17(3):135-8. doi: 10.14701/kjhbps.2013.17.3.135. Epub 2013 Aug 31.
9
Delayed bronchobiliary fistula following radiofrequency ablation in a patient with hepatocellular carcinoma: A case report and lesson regarding treatment.肝细胞癌患者射频消融术后迟发性支气管胆管瘘:一例报告及治疗经验教训
Oncol Lett. 2016 May;11(5):3213-3217. doi: 10.3892/ol.2016.4366. Epub 2016 Mar 22.
10
Successful resection of hepatocellular carcinoma with bronchobiliary fistula caused by repeated transcatheter arterial embolizations: Report of a case.经多次肝动脉化疗栓塞术导致支气管胆管瘘的肝细胞癌成功切除:病例报告
Surg Today. 2007;37(2):154-8. doi: 10.1007/s00595-006-3351-1. Epub 2007 Jan 25.

引用本文的文献

1
Endobronchial closure of broncho-biliary fistula using Amplatzer device: Case report.使用Amplatzer装置经支气管封堵支气管胆瘘:病例报告
Respir Med Case Rep. 2023 Nov 4;46:101943. doi: 10.1016/j.rmcr.2023.101943. eCollection 2023.

本文引用的文献

1
Case of bile duct coil embolization for broncho-biliary fistula after radiofrequency ablation (with video).射频消融术后支气管胆管瘘的胆管线圈栓塞病例(附视频)
Dig Endosc. 2021 May;33(4):e79-e80. doi: 10.1111/den.13953. Epub 2021 Mar 13.
2
The development of broncho-biliary fistula after treatment for hepatocellular carcinoma: a report of two cases.治疗肝细胞癌后发生支气管-胆管瘘:两例报告。
Clin J Gastroenterol. 2021 Feb;14(1):229-237. doi: 10.1007/s12328-020-01264-8. Epub 2020 Oct 24.
3
Bronchobiliary fistula after ablation of hepatocellular carcinoma adjacent to the diaphragm: Case report and literature review.
膈邻近肝癌消融后并发支气管胆瘘:病例报告及文献复习。
Thorac Cancer. 2020 May;11(5):1233-1238. doi: 10.1111/1759-7714.13380. Epub 2020 Mar 9.
4
Radiofrequency Ablation and Microwave Ablation in Liver Tumors: An Update.射频消融与微波消融在肝脏肿瘤治疗中的应用进展
Oncologist. 2019 Oct;24(10):e990-e1005. doi: 10.1634/theoncologist.2018-0337. Epub 2019 Jun 19.
5
Bronchobiliary fistula following radiofrequency ablation for liver metastases from breast cancer: A case report and literature review.乳腺癌肝转移射频消融术后并发支气管胆管瘘:一例报告及文献复习
Medicine (Baltimore). 2018 Oct;97(43):e12760. doi: 10.1097/MD.0000000000012760.
6
Bronchobiliary fistula after multiple transcatheter arterial chemoembolizations for hepatocellular carcinoma: A case report.肝细胞癌多次经动脉化疗栓塞术后并发支气管胆管瘘:一例报告
Mol Clin Oncol. 2018 Apr;8(4):600-602. doi: 10.3892/mco.2018.1574. Epub 2018 Feb 13.
7
Combined thoracic and hepatobiliary surgery for iatrogenic bronchobiliary fistula.联合胸外科与肝胆外科治疗医源性支气管胆管瘘。
Asian Cardiovasc Thorac Ann. 2018 Jan;26(1):63-66. doi: 10.1177/0218492317745747. Epub 2017 Nov 27.
8
Endobronchial Watanabe Spigot in the treatment of bronchobiliary fistula.支气管内渡边套管治疗支气管胆管瘘
Monaldi Arch Chest Dis. 2016 Jun 22;81(1-2):747. doi: 10.4081/monaldi.2015.747.
9
Delayed bronchobiliary fistula following radiofrequency ablation in a patient with hepatocellular carcinoma: A case report and lesson regarding treatment.肝细胞癌患者射频消融术后迟发性支气管胆管瘘:一例报告及治疗经验教训
Oncol Lett. 2016 May;11(5):3213-3217. doi: 10.3892/ol.2016.4366. Epub 2016 Mar 22.
10
Surgical treatment of bronchobiliary fistula due to radiofrequency ablation for recurrent hepatocellular carcinoma.复发性肝细胞癌射频消融术后支气管胆瘘的外科治疗
Korean J Hepatobiliary Pancreat Surg. 2013 Aug;17(3):135-8. doi: 10.14701/kjhbps.2013.17.3.135. Epub 2013 Aug 31.