Suppr超能文献

伴有载脂蛋白E丰中町型及纯合子载脂蛋白E2/2且无血脂异常、具有特征性电子致密沉积物的膜性肾病样载脂蛋白E沉积病

Membranous Nephropathy-Like Apolipoprotein E Deposition Disease with Apolipoprotein E Toyonaka and Homozygous Apolipoprotein E2/2 without Dyslipidemia, with Characteristic Electron-Dense Deposits.

作者信息

Koshino Akihiko, Takaeda Chikako, Matsuno Takahiro, Kitajima Shinji, Iwata Yasunori, Sakai Norihiko, Nagahama Kiyotaka, Niida Yo, Saito Takao, Yokoyama Hitoshi, Wada Takashi

机构信息

Department of Nephrology and Hypertension, Public Central Hospital of Matto Ishikawa, Hakusan, Japan.

Department of Nephrology and Laboratory Medicine, Kanazawa University, Kanazawa, Japan.

出版信息

Case Rep Nephrol Dial. 2022 Jun 10;12(2):96-104. doi: 10.1159/000525086. eCollection 2022 May-Aug.

Abstract

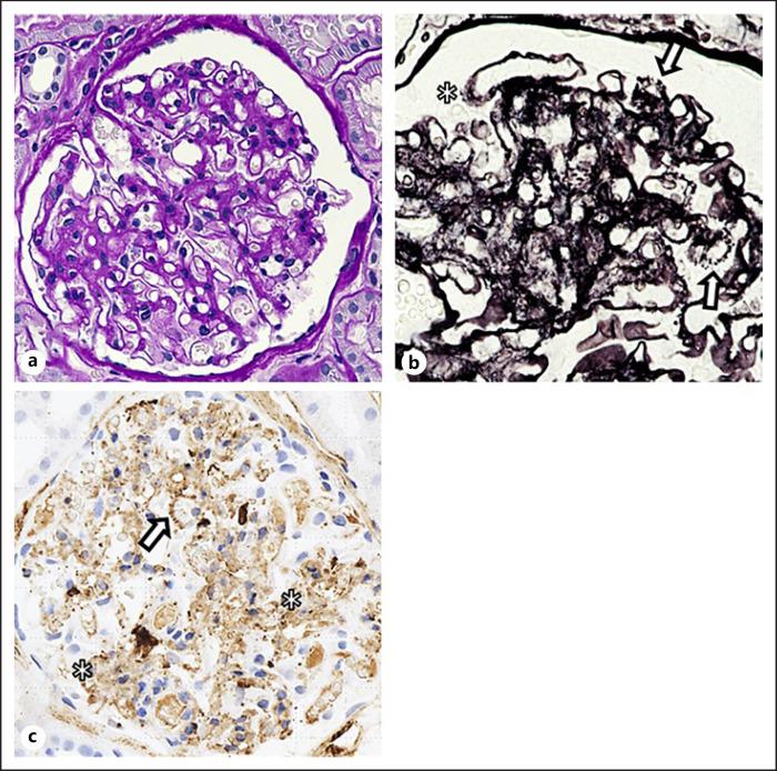
Recently, several cases of novel apolipoprotein E (apoE)-related glomerular disease known as membranous nephropathy (MN)-like apoE deposition disease with apoE Toyonaka (Ser197Cys) and homozygous apoE2/2 have been reported. However, the clinical and pathological characteristics are uncertain due to the small number of reports. Here, we report an additional case with various clinical and pathological characteristics. A 28-year-old Japanese man with mild proteinuria and hematuria underwent a kidney biopsy. Examination under a light microscope revealed mesangial proliferation, mesangial matrix expansion, and segmental spike lesion. An immunofluorescence study showed no immunoglobulin or complement depositions. In the electron microscopic (EM) examination, massive deposits with various electron densities in the subepithelial, subendothelial, and paramesangial areas were more prominent than those reported in previous cases, which resembled microbubbles or microcysts on higher magnification. The glomerular basement membrane (GBM) structure was partly degenerated by these deposits. Serum triglyceride and cholesterol levels were within the normal range. However, the serum apoE concentration was significantly high, and glomerular apoE accumulation was detected in immunohistochemistry. The DNA sequence revealed apoE Toyonaka and homozygous apoE2/2 similar to that of the previous cases with MN-like apoE deposition disease. MN-like apoE deposition disease can manifest as only mild hematuria and proteinuria without dyslipidemia. Various characteristic deposits associated with GBM degeneration can be observed in the EM study.

摘要

最近,有几例新型载脂蛋白E(apoE)相关的肾小球疾病被报道,即伴有apoE丰中(Ser197Cys)和纯合子apoE2/2的膜性肾病(MN)样apoE沉积病。然而,由于报道数量较少,其临床和病理特征尚不确定。在此,我们报告另外一例具有多种临床和病理特征的病例。一名28岁的日本男性,有轻度蛋白尿和血尿,接受了肾活检。光镜检查显示系膜增生、系膜基质扩张和节段性钉突病变。免疫荧光研究显示无免疫球蛋白或补体沉积。在电子显微镜(EM)检查中,上皮下、内皮和系膜旁区域有大量不同电子密度的沉积物,比之前报道的病例更为突出,在高倍放大下类似微泡或微囊肿。这些沉积物使肾小球基底膜(GBM)结构部分退化。血清甘油三酯和胆固醇水平在正常范围内。然而,血清apoE浓度显著升高,免疫组化检测到肾小球apoE蓄积。DNA序列显示与之前MN样apoE沉积病病例相似为apoE丰中及纯合子apoE2/2。MN样apoE沉积病可仅表现为轻度血尿和蛋白尿,而无血脂异常。在EM研究中可观察到与GBM退化相关的各种特征性沉积物。

https://cdn.ncbi.nlm.nih.gov/pmc/blobs/f1e4/9247525/2ea9a3d68ea3/cnd-0012-0096-g01.jpg

文献AI研究员

20分钟写一篇综述,助力文献阅读效率提升50倍。

立即体验

用中文搜PubMed

大模型驱动的PubMed中文搜索引擎

马上搜索

文档翻译

学术文献翻译模型,支持多种主流文档格式。

立即体验