Suppr超能文献

Acute Blindness in the Elderly With Craniopharyngioma.

作者信息

Kwang Sheng Ng, Wan Hitam Wan-Hazabbah

机构信息

Department of Ophthalmology and Visual Science, School of Medical Sciences, Universiti Sains Malaysia, Kubang Kerian, MYS.

Ophthalmology Clinic, Hospital Universiti Sains Malaysia, Universiti Sains Malaysia, Kubang Kerian, MYS.

出版信息

Cureus. 2022 Jul 15;14(7):e26880. doi: 10.7759/cureus.26880. eCollection 2022 Jul.

Abstract

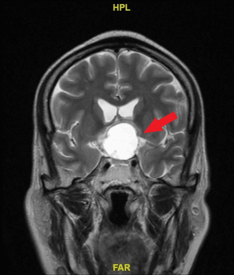
The afferent visual system is one of the most common structures involved in patients with craniopharyngioma, and the manifestations include deficits in visual acuity, color vision, and visual fields. Here, we report a case of craniopharyngioma that presented with acute blindness in an elderly man. A healthy 54-year-old man presented with an acute progressive blurring of vision and became blind in six weeks. He developed symptoms of increased intracranial pressure only a week after becoming blind. On examination, visual acuity in both eyes was no perception of light (NPL). He also had left esotropia with restriction of left eye abduction. Both pupils were not responsive to light. The anterior segment was normal in both eyes. Fundoscopy showed bilateral pale optic discs. Computed tomography scan and magnetic resonance imaging revealed a suprasellar mass consistent with craniopharyngioma that compressed the optic chiasma and adjacent brain structures with the presence of hydrocephalus. He underwent uneventful tumor debulking surgery. However, his vision remained NPL postoperatively. Ocular manifestations could be the only symptoms in craniopharyngioma. The delayed presentation may lead to a guarded prognosis.

摘要
https://cdn.ncbi.nlm.nih.gov/pmc/blobs/9dd3/9375858/8fb1c4db43c0/cureus-0014-00000026880-i01.jpg

文献AI研究员

20分钟写一篇综述,助力文献阅读效率提升50倍。

立即体验

用中文搜PubMed

大模型驱动的PubMed中文搜索引擎

马上搜索

文档翻译

学术文献翻译模型,支持多种主流文档格式。

立即体验