Suppr超能文献

颅内脑外肿瘤表观弥散系数低:病例报告。

Low apparent diffusion coefficient in an extracranial brain tumor: a case report.

机构信息

Department of Medical Imaging, University of Medical Technology and Pharmacy, Da Nang, 500000, Vietnam.

Department of Radiology, Hanoi Medical University, Hanoi, 100000, Vietnam.

出版信息

J Med Case Rep. 2022 Aug 19;16(1):310. doi: 10.1186/s13256-022-03553-x.

Abstract

BACKGROUND

Medulloblastoma is well known as the most common malignant brain tumor identified in children, frequently found at an intra-axial location in the posterior cranial fossa. Extra-axial medulloblastoma is uncommon and often misdiagnosed. We believe that a thorough understanding of atypical medulloblastoma cases is important in daily practice.

CASE PRESENTATION

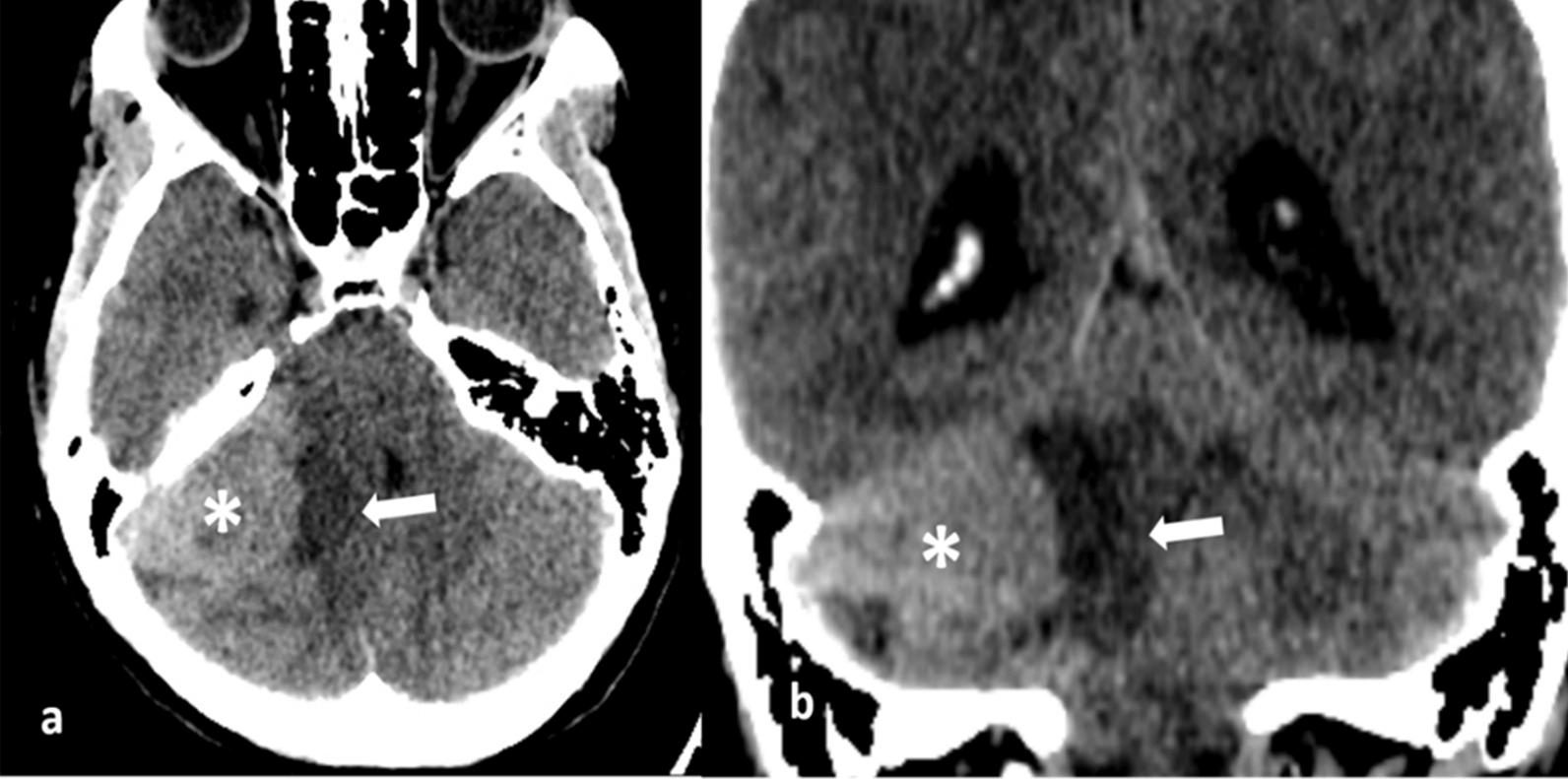
We present the unique case of a 39-year-old woman of Asian descent who suffered from headaches and right-sided hearing impairment. A right extra-axial medulloblastoma with an extremely low apparent diffusion coefficient of 0.404 × 10 mm/second was detected on magnetic resonance imaging. The initial diagnosis suggested schwannoma or hemangioblastoma. However, the postoperative histopathologic findings indicated medulloblastoma (World Health Organization grade IV). Pre- and postoperative magnetic resonance imaging revealed no drop metastasis, but adjuvant radiation therapy was still required as a standard treatment therapy CONCLUSIONS: Extra-axial medulloblastoma is an uncommon tumor that is often mistaken for other cerebellopontine angle neoplasms. We describe a rare example of extra-axial medulloblastoma, characterized by a low apparent diffusion coefficient. When evaluating an atypical cerebellopontine angle neoplasm, the apparent diffusion coefficient should be considered a relevant indicator.

摘要

背景

髓母细胞瘤是儿童中最常见的恶性脑肿瘤,通常在前颅窝的脑内轴位发现。脑外髓母细胞瘤并不常见,常被误诊。我们认为,在日常实践中,彻底了解非典型髓母细胞瘤病例非常重要。

病例介绍

我们介绍了一个独特的病例,一名 39 岁的亚洲女性,患有头痛和右侧听力障碍。磁共振成像显示右侧脑外髓母细胞瘤,表观弥散系数极低,为 0.404×10mm/秒。最初的诊断提示神经鞘瘤或血管母细胞瘤。然而,术后组织病理学检查结果提示为髓母细胞瘤(世界卫生组织 4 级)。术前和术后磁共振成像均未显示有肿瘤转移,但仍需辅助放疗作为标准治疗。

结论

脑外髓母细胞瘤是一种罕见的肿瘤,常被误诊为其他桥小脑角肿瘤。我们描述了一例罕见的脑外髓母细胞瘤,其表观弥散系数较低。在评估不典型桥小脑角肿瘤时,表观弥散系数应被视为一个相关的指标。

https://cdn.ncbi.nlm.nih.gov/pmc/blobs/38dd/9389690/b0d8dc3a1c75/13256_2022_3553_Fig1_HTML.jpg

文献检索

告别复杂PubMed语法,用中文像聊天一样搜索,搜遍4000万医学文献。AI智能推荐,让科研检索更轻松。

立即免费搜索

文件翻译

保留排版,准确专业,支持PDF/Word/PPT等文件格式,支持 12+语言互译。

免费翻译文档

深度研究

AI帮你快速写综述,25分钟生成高质量综述,智能提取关键信息,辅助科研写作。

立即免费体验