Suppr超能文献

成功经皮栓塞术中与 Swan-Ganz 导管相关的肺动脉损伤。

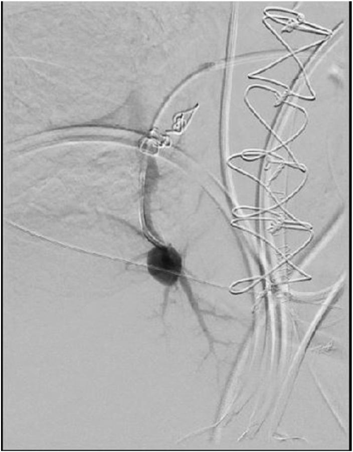
Successful percutaneous embolization of an intraoperative swan ganz catheter-related pulmonary artery injury.

作者信息

Suri Pranav, Kitley Charles

机构信息

University of Missouri Hospital and Clinics, Department of Radiology, 1 Hospital Drive, Columbia, MO 65201, USA.

出版信息

Radiol Case Rep. 2022 Aug 10;17(10):3851-3854. doi: 10.1016/j.radcr.2022.07.053. eCollection 2022 Oct.

Abstract

Intraoperative pulmonary artery injury due to Swan Ganz catheterization is a rare but potentially life-threatening injury which demands rapid recognition and treatment. Subsequent pseudoaneurysm formation can occur if not immediately recognized, and percutaneous embolization is a viable option for treatment in most settings. We report a case of a 59-year-old female who underwent coronary artery bypass surgery and suffered an intraoperative Swan Ganz catheter-related injury which led to life threatening hemorrhage with subsequent pulmonary artery pseudoaneurysm formation that was successfully embolized. This case report is pathognomonic for this injury and discusses risk factors, presentation, and treatment options of this rare but serious injury.

摘要

经 Swan Ganz 导管插入术导致的术中肺动脉损伤是一种罕见但可能危及生命的损伤,需要迅速识别和治疗。如果未能立即识别,随后可能会形成假性动脉瘤,在大多数情况下,经皮栓塞是一种可行的治疗选择。我们报告一例 59 岁女性,她接受冠状动脉搭桥手术时发生了与 Swan Ganz 导管相关地术中损伤,导致危及生命的出血,随后形成肺动脉假性动脉瘤,该假性动脉瘤成功进行了栓塞。本病例报告明确了这种损伤的特征,并讨论了这种罕见但严重损伤的危险因素、表现及治疗选择。

https://cdn.ncbi.nlm.nih.gov/pmc/blobs/c7c6/9379943/59d536518db1/gr1.jpg

文献AI研究员

20分钟写一篇综述,助力文献阅读效率提升50倍。

立即体验

用中文搜PubMed

大模型驱动的PubMed中文搜索引擎

马上搜索

文档翻译

学术文献翻译模型,支持多种主流文档格式。

立即体验