Suppr超能文献

1例新型冠状病毒肺炎感染严重表现为免疫相关性血栓性血小板减少性紫癜伴多器官受累的罕见病例,采用血浆置换、类固醇、利妥昔单抗和卡泊单抗治疗。

A Rare Case of Severe Manifestation of COVID-19 Infection Presenting as Immune-Related Thrombotic Thrombocytopenic Purpura With Multiorgan Involvement Treated With Plasmapheresis, Steroids, Rituximab, and Caplacizumab.

作者信息

Mandyam Saikiran, Fatmi Syed S, Banzon George, Kaur Paramjit, Katamreddy Yamini, Parghi Devam, Farooq Awais, Liaqat Hamza, Basarakodu Krishnamohan

机构信息

Internal Medicine, Southeast Health Medical Center, Dothan, USA.

Internal Medicine, Alabama College of Osteopathic Medicine, Dothan, USA.

出版信息

Cureus. 2022 Jul 18;14(7):e26961. doi: 10.7759/cureus.26961. eCollection 2022 Jul.

Abstract

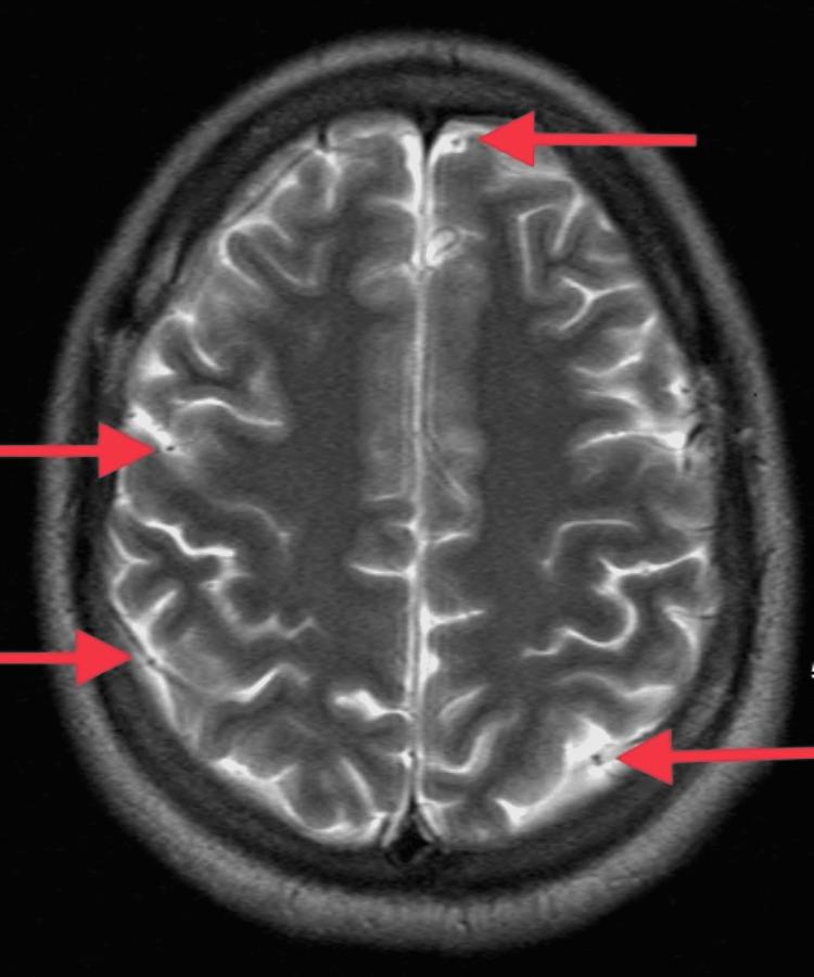
Thrombotic thrombocytopenic purpura (TTP) is a thrombotic microangiopathy (TMA) caused by decreased activity of a disintegrin and metalloproteinase with a thrombospondin type 1 motif, member 13 (ADAMTS13). Platelet-rich thrombi in small vessels lead to fragmentation of RBCs causing microangiopathic hemolytic anemia (MAHA). Therapeutic plasma exchange is life-saving and is the mainstay of the treatment of TTP. Higher dose IV steroids along with rituximab are used as an adjunct to plasma exchange. Our case report describes a 26-year-old healthy male who presented with new onset seizures and encephalopathy. Blood work demonstrated anemia, severe thrombocytopenia, elevated lactate dehydrogenase, decreased haptoglobin, and elevated creatinine, and peripheral blood smear showed marked schistocytosis indicating MAHA. Plasma exchange and high-dose steroids were started on a presumptive diagnosis of TTP. ADAMTS13 activity was undetectable and ADAMTS13 inhibitor levels were elevated. Rituximab and caplacizumab were then added. Symptoms of encephalopathy improved by day five and platelet counts started improving by day nine. After several days of plasma exchange, he showed a "clinical response" with several weeks of active treatment. The association between coronavirus disease 2019 (COVID-19) infection and the severity of TTP with multiorgan failure is not well understood yet. Although we describe a successful multimodal approach to the management of TTP, which we believe is secondary to COVID-19 infection, further research is warranted to analyze and understand the pathophysiology by which COVID-19 infection causes TTP. It would help in establishing standardized therapy in the future.

摘要

血栓性血小板减少性紫癜(TTP)是一种由具有血小板反应蛋白基序的解聚素和金属蛋白酶13(ADAMTS13)活性降低引起的血栓性微血管病(TMA)。小血管内富含血小板的血栓导致红细胞破碎,引起微血管病性溶血性贫血(MAHA)。治疗性血浆置换是挽救生命的措施,也是TTP治疗的主要方法。高剂量静脉注射类固醇联合利妥昔单抗用作血浆置换的辅助治疗。我们的病例报告描述了一名26岁的健康男性,他出现新发癫痫和脑病。血液检查显示贫血、严重血小板减少、乳酸脱氢酶升高、触珠蛋白降低和肌酐升高,外周血涂片显示明显的裂红细胞增多,提示MAHA。基于TTP的推测性诊断开始进行血浆置换和高剂量类固醇治疗。未检测到ADAMTS13活性,且ADAMTS13抑制剂水平升高。随后添加了利妥昔单抗和卡泊单抗。脑病症状在第5天有所改善,血小板计数在第9天开始改善。经过几天的血浆置换,经过数周的积极治疗,他出现了“临床反应”。2019冠状病毒病(COVID-19)感染与伴有多器官功能衰竭的TTP严重程度之间的关联尚未完全明确。尽管我们描述了一种成功的TTP多模式管理方法,我们认为这是继发于COVID-19感染,但仍需要进一步研究来分析和理解COVID-19感染导致TTP的病理生理学。这将有助于未来建立标准化治疗方案。

https://cdn.ncbi.nlm.nih.gov/pmc/blobs/0ab9/9381864/92499c94feb1/cureus-0014-00000026961-i01.jpg

文献AI研究员

20分钟写一篇综述,助力文献阅读效率提升50倍。

立即体验

用中文搜PubMed

大模型驱动的PubMed中文搜索引擎

马上搜索

文档翻译

学术文献翻译模型,支持多种主流文档格式。

立即体验