Suppr超能文献

快速进展的胸腔积液:A组链球菌感染引起的爆发性胸膜炎

Rapidly-Developing Pleural Effusion: Explosive Pleuritis Caused by Group A Streptococcal Infection.

作者信息

Asif Haris, Fernandes Mateus, Gorbonos Allen, Khan Arshan A, Ishak Gabra Nader, Palladino Lucia

机构信息

Internal Medicine, Woodhull Medical Center, New York City, USA.

Internal Medicine, Ascension St. John Hospital, Grosse Pointe, USA.

出版信息

Cureus. 2022 Jul 18;14(7):e26968. doi: 10.7759/cureus.26968. eCollection 2022 Jul.

Abstract

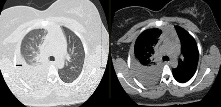
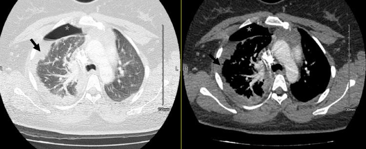
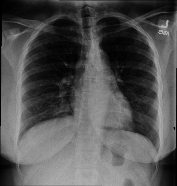
Community-acquired pneumonia is a leading cause of death from infectious diseases globally. Parapneumonic effusion is one of the most common complications of community-acquired pneumonia. As the infection progresses within the pleural space, loculation and empyema may develop. In rare cases, the parapneumonic effusions can progress significantly within 24 hours, which has been described as explosive pleuritis and may confer additional morbidity. Group A is the leading causative microorganism, which in itself has higher rates of parapneumonic effusions. We describe the case of a 30-year-old-female with a past medical history of asthma who presented to the emergency department with a sore throat, cough, and runny nose and was discharged on the same day after treatment of asthma exacerbation with upper respiratory tract infection. She re-presented within 24 hours with shortness of breath and right-sided pleuritic chest pain. Chest x-ray showed a new, large right-sided pleural effusion for which pleural fluid culture grew group A . She ultimately had prolonged hospitalization, requiring chest tube placement, and video-assisted thoracoscopic surgery (VATS). VATS was unsuccessful and she was treated with long-term antibiotics. This case demonstrates the dramatic evolution of explosive pleuritis and highlights the typical challenges encountered in these cases.

摘要

社区获得性肺炎是全球感染性疾病导致死亡的主要原因之一。类肺炎性胸腔积液是社区获得性肺炎最常见的并发症之一。随着感染在胸腔内进展,可出现分隔和脓胸。在罕见情况下,类肺炎性胸腔积液可在24小时内显著进展,这被描述为暴发性胸膜炎,可能会带来额外的发病率。A组是主要的致病微生物,其本身导致类肺炎性胸腔积液的发生率较高。我们描述了一名30岁女性的病例,她有哮喘病史,因咽痛、咳嗽和流涕到急诊科就诊,在治疗哮喘急性加重合并上呼吸道感染后于当天出院。她在24小时内再次就诊,出现气短和右侧胸膜炎性胸痛。胸部X线显示右侧有新的大量胸腔积液,胸腔积液培养生长出A组 。她最终住院时间延长,需要放置胸管,并接受了电视辅助胸腔镜手术(VATS)。VATS手术未成功,她接受了长期抗生素治疗。该病例展示了暴发性胸膜炎的急剧演变,并突出了这些病例中遇到的典型挑战。

https://cdn.ncbi.nlm.nih.gov/pmc/blobs/5bbb/9381858/64b67b12e41b/cureus-0014-00000026968-i01.jpg

文献检索

告别复杂PubMed语法,用中文像聊天一样搜索,搜遍4000万医学文献。AI智能推荐,让科研检索更轻松。

立即免费搜索

文件翻译

保留排版,准确专业,支持PDF/Word/PPT等文件格式,支持 12+语言互译。

免费翻译文档

深度研究

AI帮你快速写综述,25分钟生成高质量综述,智能提取关键信息,辅助科研写作。

立即免费体验