Suppr超能文献

使用基于二代测序的基因panel对3级子宫内膜样腺癌进行分子分类

Molecular classification grade 3 endometrial endometrioid carcinoma using a next-generation sequencing-based gene panel.

作者信息

Li Ling, Chen Fangfang, Liu Jingcheng, Zhu Weifeng, Lin Liang, Chen Li, Shi Yi, Lin An, Chen Gang

机构信息

Department of Gynecological Oncology Surgery, Fujian Medical University Cancer Hospital, Fujian Cancer Hospital, Fuzhou, China.

Department of Molecular pathology, Fujian Medical University Cancer Hospital, Fujian Cancer Hospital, Fuzhou, China.

出版信息

Front Oncol. 2022 Aug 8;12:935694. doi: 10.3389/fonc.2022.935694. eCollection 2022.

Abstract

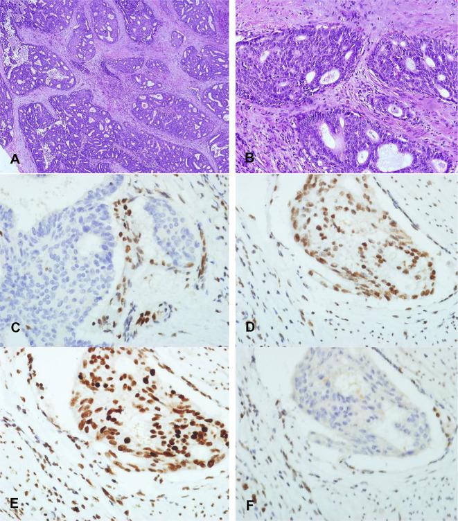
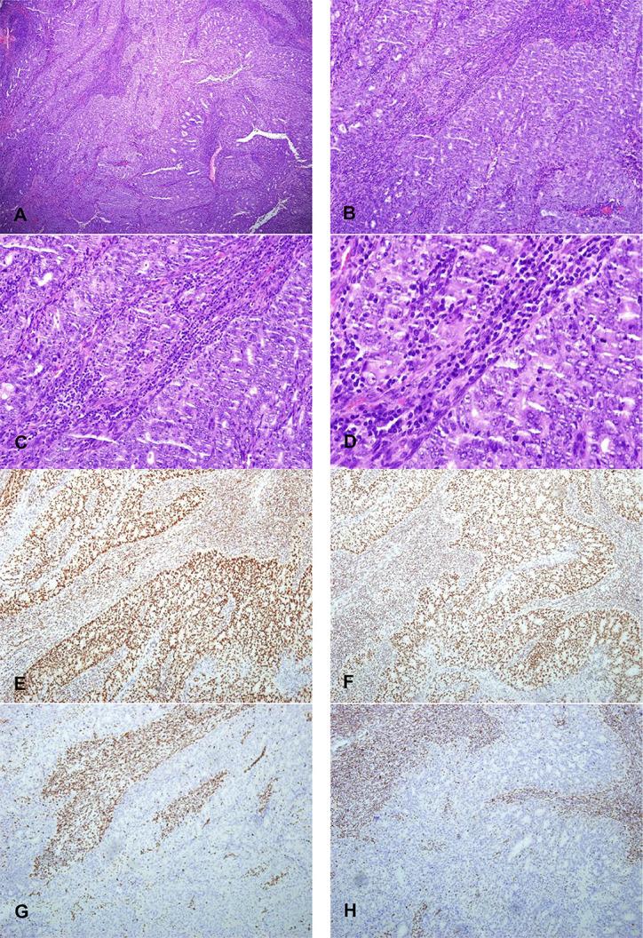
Over the past two decades, the incidence of endometrial cancer (EC) is increasing, and there is a need for molecular biomarkers to predict prognosis and guide treatment. A recent study from The Cancer Genome Atlas suggested to implement the EC analysis by molecular profile for improving diagnosis, prognosis, and therapeutic treatment. In this study, next-generation sequencing was performed on 70 cases of G3 endometrioid ECs (EECs) using an 11-gene panel (TP53, MLH1, MSH2, MSH6, PMS2, EPCAM, PIK3CA, CTNNB1, KRAS, PTEN, and POL) for molecular classification. The molecular classification based on the 11-gene NGS panel identified four molecular subgroups: POLE-ultramutated (n = 20, 28.6%), MSI-H (n = 27, 38.6%), NSMP (n = 13, 18.6%) and TP53mut (n = 10, 14.3%). The NGS method showed 98.6% (69 of 70 cases, kappa value 98%) in concordance with the cases assessed by immunohistochemistry (IHC). Among the seven dead cases, four were MSI-H tumors, two were TP53mut/p53abn tumors, and one was NSMP tumors with an average overall survival (OS) of 14.7 months. TP53mut subgroup showed that poor OS rates and POLE group have favorable prognosis. Our work suggested that the 11-gene panel is suitable for molecular classification in G3 EECs and for guiding prognosis and treatment decisions.

摘要

在过去二十年中,子宫内膜癌(EC)的发病率不断上升,因此需要分子生物标志物来预测预后并指导治疗。癌症基因组图谱(The Cancer Genome Atlas)最近的一项研究建议通过分子特征对EC进行分析,以改善诊断、预后和治疗。在本研究中,使用包含11个基因的检测板(TP53、MLH1、MSH2、MSH6、PMS2、EPCAM、PIK3CA、CTNNB1、KRAS、PTEN和POL)对70例G3子宫内膜样EC(EEC)进行下一代测序,以进行分子分类。基于11基因NGS检测板的分子分类确定了四个分子亚组:POLE超突变型(n = 20,28.6%)、微卫星高度不稳定(MSI-H,n = 27,38.6%)、非特异性分子谱(NSMP,n = 13,18.6%)和TP53突变型(n = 10,14.3%)。NGS方法与免疫组织化学(IHC)评估的病例一致性为98.6%(70例中的69例,kappa值98%)。在七例死亡病例中,四例为MSI-H肿瘤,两例为TP53突变/p53异常肿瘤,一例为NSMP肿瘤,平均总生存期(OS)为14.7个月。TP53突变亚组显示OS率较差,而POLE组预后良好。我们的研究表明,11基因检测板适用于G3 EEC的分子分类以及指导预后和治疗决策。

https://cdn.ncbi.nlm.nih.gov/pmc/blobs/e576/9394115/ccad08e5b388/fonc-12-935694-g001.jpg

文献AI研究员

20分钟写一篇综述,助力文献阅读效率提升50倍。

立即体验

用中文搜PubMed

大模型驱动的PubMed中文搜索引擎

马上搜索

文档翻译

学术文献翻译模型,支持多种主流文档格式。

立即体验