20分钟写一篇综述,助力文献阅读效率提升50倍。
大模型驱动的PubMed中文搜索引擎
学术文献翻译模型,支持多种主流文档格式。
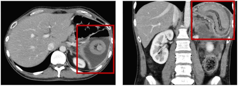
McGuire Sean P, Anderson Matthew P, Maatman Thomas K, Gillio Anna M, Schmidt C Max, Scifres Aaron M
Indiana University Department of General Surgery.
Surg Open Sci. 2022 Jul 14;10:74-75. doi: 10.1016/j.sopen.2022.07.001. eCollection 2022 Oct.