Suppr超能文献

15 岁女孩接种 COVID-19 疫苗后出现双侧多灶性脉络膜炎伴视盘水肿。

Bilateral multifocal choroiditis with disc edema in a 15-year-old girl following COVID-19 vaccination.

机构信息

Department of Retina, Sri Venkateswara Aravind Eye Hospital, Tirupathi, Andhra Pradesh, India.

出版信息

Indian J Ophthalmol. 2022 Sep;70(9):3420-3422. doi: 10.4103/ijo.IJO_861_22.

Abstract

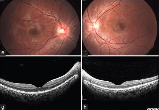
A few cases of posterior uveitis following COVID-19 vaccination have been reported but none in the pediatric age group. A 15-year-old girl presented with history of headache and bilateral blurred vision of five days duration. The symptoms developed five days after vaccination with the first dose of Covaxin (inactivated SARS-CoV-2 vaccine). Her anterior segment was normal in both eyes (BE), whereas the posterior segment showed mild vitritis with disc edema and multiple yellowish lesions at the level of choroid clustered at the macula and associated with multiple serous detachments. BE uveitis resolved, and the vision was completely recovered three weeks after treatment with steroids. Hence, ophthalmologists should be aware of uveitis following vaccination-a condition that is usually benign, transient, and results in excellent outcomes with timely diagnosis and early treatment with steroids.

摘要

有几例 COVID-19 疫苗接种后发生后葡萄膜炎的病例报告,但在儿科年龄组中没有报告。一名 15 岁女孩因头痛和双眼视力模糊五天前来就诊。这些症状在接种第一剂 Covaxin(灭活 SARS-CoV-2 疫苗)五天后出现。她双眼眼前段正常(BE),但后段显示轻微的虹膜炎,伴有视盘水肿和脉络膜水平的多个黄色病变,聚集在黄斑区并伴有多个浆液性脱离。在类固醇治疗三周后,BE 葡萄膜炎消退,视力完全恢复。因此,眼科医生应该意识到疫苗接种后的葡萄膜炎——这种情况通常是良性的、短暂的,并且通过及时诊断和早期类固醇治疗可以获得极好的结果。

https://cdn.ncbi.nlm.nih.gov/pmc/blobs/5ad6/9675529/8180a8c40e23/IJO-70-3420-g001.jpg

相似文献

1
Bilateral multifocal choroiditis with disc edema in a 15-year-old girl following COVID-19 vaccination.
Indian J Ophthalmol. 2022 Sep;70(9):3420-3422. doi: 10.4103/ijo.IJO_861_22.
2
Bilateral Multifocal Choroiditis following COVID-19 Vaccination.
Ocul Immunol Inflamm. 2021 May 19;29(4):753-757. doi: 10.1080/09273948.2021.1957123. Epub 2021 Aug 3.
4
Comments on "Goyal M, Murthy SI and Annum S, Bilateral Multifocal Choroiditis following COVID-19 Vaccination".
Ocul Immunol Inflamm. 2023 May;31(4):880. doi: 10.1080/09273948.2022.2058557. Epub 2022 Apr 20.
5
Comments on: Bilateral multifocal choroiditis with disc edema following COVID-19 vaccination.
Indian J Ophthalmol. 2023 May;71(5):2316-2317. doi: 10.4103/ijo.IJO_2146_22.
6
Reply to a Letter to the Editor on a Published Manuscript: Bilateral Multifocal Choroiditis following COVID-19 Vaccination.
Ocul Immunol Inflamm. 2021 Aug 18;29(6):1211. doi: 10.1080/09273948.2021.1972716. Epub 2021 Sep 15.
7
COVID-19 Vaccination and Bilateral Multifocal Choroiditis.
Ocul Immunol Inflamm. 2021 Aug 18;29(6):1210. doi: 10.1080/09273948.2021.1968003.
8
Bilateral uveitis after inoculation with COVID-19 vaccine: A case report.
Int J Infect Dis. 2021 Dec;113:116-118. doi: 10.1016/j.ijid.2021.09.075. Epub 2021 Sep 30.
9
Tubulointerstitial nephritis and uveitis with bilateral multifocal choroiditis.
Am J Ophthalmol. 2000 Jun;129(6):807-9. doi: 10.1016/s0002-9394(00)00484-0.
10
Recurrence of tubercular choroiditis following anti-SARS-CoV-2 vaccination.
Eur J Ophthalmol. 2023 May;33(3):NP118-NP121. doi: 10.1177/11206721221088439. Epub 2022 Mar 21.

引用本文的文献

1
Drug-Induced Uveitis: Patterns, Pathogenesis and Clinical Implications.
Clin Optom (Auckl). 2025 Jun 24;17:141-161. doi: 10.2147/OPTO.S492202. eCollection 2025.
3
Comments on: Bilateral multifocal choroiditis with disc edema following COVID-19 vaccination.
Indian J Ophthalmol. 2023 May;71(5):2316-2317. doi: 10.4103/ijo.IJO_2146_22.
4
The Characteristics of COVID-19 Vaccine-Associated Uveitis: A Summative Systematic Review.
Vaccines (Basel). 2022 Dec 28;11(1):69. doi: 10.3390/vaccines11010069.

本文引用的文献

1
After the Storm: Ophthalmic Manifestations of COVID-19 Vaccines.
Indian J Ophthalmol. 2021 Dec;69(12):3398-3420. doi: 10.4103/ijo.IJO_2824_21.
2
Bilateral uveitis after inoculation with COVID-19 vaccine: A case report.
Int J Infect Dis. 2021 Dec;113:116-118. doi: 10.1016/j.ijid.2021.09.075. Epub 2021 Sep 30.
3
Bilateral Multifocal Choroiditis following COVID-19 Vaccination.
Ocul Immunol Inflamm. 2021 May 19;29(4):753-757. doi: 10.1080/09273948.2021.1957123. Epub 2021 Aug 3.
4
Preliminary evidence on long COVID in children.
Acta Paediatr. 2021 Jul;110(7):2208-2211. doi: 10.1111/apa.15870. Epub 2021 Apr 18.
6
Detection of Covid-19 in Children in Early January 2020 in Wuhan, China.
N Engl J Med. 2020 Apr 2;382(14):1370-1371. doi: 10.1056/NEJMc2003717. Epub 2020 Mar 12.
7
Vaccine-Associated Uveitis.
Ocul Immunol Inflamm. 2019;27(4):517-520. doi: 10.1080/09273948.2019.1626188.
8
Imageology features of different types of multifocal choroiditis.
BMC Ophthalmol. 2019 Feb 1;19(1):39. doi: 10.1186/s12886-019-1045-x.
9
Advances in aluminum hydroxide-based adjuvant research and its mechanism.
Hum Vaccin Immunother. 2015;11(2):477-88. doi: 10.1080/21645515.2014.1004026.
10
The role of tumour necrosis factor (TNF-alpha) in experimental autoimmune uveoretinitis (EAU).
Prog Retin Eye Res. 2004 Nov;23(6):617-37. doi: 10.1016/j.preteyeres.2004.06.005.

文献AI研究员

20分钟写一篇综述,助力文献阅读效率提升50倍。

立即体验

用中文搜PubMed

大模型驱动的PubMed中文搜索引擎

马上搜索

文档翻译

学术文献翻译模型,支持多种主流文档格式。

立即体验