• 文献检索
  • 文档翻译
  • 深度研究
  • 学术资讯
  • Suppr Zotero 插件Zotero 插件
  • 邀请有礼
  • 套餐&价格
  • 历史记录
应用&插件
Suppr Zotero 插件Zotero 插件浏览器插件Mac 客户端Windows 客户端微信小程序
定价
高级版会员购买积分包购买API积分包
服务
文献检索文档翻译深度研究API 文档MCP 服务
关于我们
关于 Suppr公司介绍联系我们用户协议隐私条款
关注我们

Suppr 超能文献

核心技术专利:CN118964589B侵权必究
粤ICP备2023148730 号-1Suppr @ 2026

文献检索

告别复杂PubMed语法,用中文像聊天一样搜索,搜遍4000万医学文献。AI智能推荐,让科研检索更轻松。

立即免费搜索

文件翻译

保留排版,准确专业,支持PDF/Word/PPT等文件格式,支持 12+语言互译。

免费翻译文档

深度研究

AI帮你快速写综述,25分钟生成高质量综述,智能提取关键信息,辅助科研写作。

立即免费体验

首例小儿抗乳糖基神经酰胺抗体阳性的脑脊髓神经根神经病。

The first pediatric anti-lactosylceramide antibody-positive encephalomyeloradiculoneuropathy.

作者信息

Sasaki Akiko, Hayakawa Itaru, Mutoh Tatsuro, Abe Yuichi

机构信息

Division of Neurology, National Center for Child Health and Development, Tokyo, Japan.

Department of Neurology, Fujita Health University Hospital, Aichi, Japan.

出版信息

Heliyon. 2022 Aug 15;8(8):e10198. doi: 10.1016/j.heliyon.2022.e10198. eCollection 2022 Aug.

DOI:10.1016/j.heliyon.2022.e10198
PMID:36033276
原文链接:https://pmc.ncbi.nlm.nih.gov/articles/PMC9404257/
Abstract

INTRODUCTION

The anti-lactosylceramide (LacCer) antibody is an anti-neutral glycolipid antibody that is involved in the pathogenesis of encephalomyeloradiculoneuropathy (EMRN). It causes acute and subacute injuries to both the central and peripheral nerves. However, no pediatric cases of anti-LacCer antibody-positive EMRN have been reported so far.

CASE

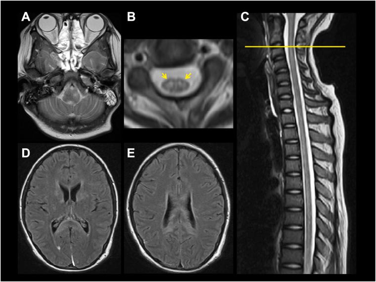
A 12-year-old girl presented with signs of meningitis. She subsequently showed disturbance of consciousness and flaccid tetraplegia and was placed on mechanical ventilation due to respiratory failure. MRI showed lesions in the cerebral white matter, basal ganglia, medulla oblongata, as well as the anterior horn of the spinal cord at the C2 to Th1 and Th11 to L1 levels. Nerve-conduction studies showed axonal neuropathy of the motor nerves. After steroid pulse therapy, high-dose immunoglobulin therapy, and plasma exchange, the lesions gradually regressed, and the neurological symptoms improved steadily. The neurological sequelae were minimal at 6 months after disease onset. Although serum anti-aquaporin 4 and anti-myelin oligodendrocyte glycoprotein antibodies were negative, she showed positive anti-lactosylceramide antibody in both serum and cerebrospinal fluid, indicating that these antibodies may be involved in the pathogenesis of this disease.

CONCLUSION

The first pediatric case of anti-LacCer antibody-positive EMRN showed similar features to the same disease in adults. Anti-neutral glycolipid antibodies should be measured in children presenting with a wide range of neurological symptoms involving both central and peripheral nerves.

摘要

引言

抗乳糖酰鞘氨醇(LacCer)抗体是一种抗中性糖脂抗体,参与脑脊髓神经根神经病(EMRN)的发病机制。它会对中枢神经和周围神经造成急性和亚急性损伤。然而,迄今为止尚未报道过抗LacCer抗体阳性的儿童EMRN病例。

病例

一名12岁女孩出现脑膜炎症状。随后她出现意识障碍和弛缓性四肢瘫,因呼吸衰竭接受机械通气。MRI显示脑白质、基底神经节、延髓以及C2至Th1和Th11至L1水平脊髓前角有病变。神经传导研究显示运动神经轴索性神经病。经过类固醇冲击治疗(激素冲击疗法)、大剂量免疫球蛋白治疗和血浆置换后,病变逐渐消退,神经症状稳步改善。发病6个月时神经后遗症极少。尽管血清抗水通道蛋白4和抗髓鞘少突胶质细胞糖蛋白抗体均为阴性,但她的血清和脑脊液中抗乳糖酰鞘氨醇抗体呈阳性,表明这些抗体可能参与了该疾病的发病机制。

结论

首例抗LacCer抗体阳性的儿童EMRN表现出与成人相同疾病相似的特征。对于出现涉及中枢和周围神经的广泛神经症状的儿童,应检测抗中性糖脂抗体。

https://cdn.ncbi.nlm.nih.gov/pmc/blobs/7c34/9404257/4f956e4bdd13/gr2.jpg
https://cdn.ncbi.nlm.nih.gov/pmc/blobs/7c34/9404257/497ee0a76b22/gr1.jpg
https://cdn.ncbi.nlm.nih.gov/pmc/blobs/7c34/9404257/4f956e4bdd13/gr2.jpg
https://cdn.ncbi.nlm.nih.gov/pmc/blobs/7c34/9404257/497ee0a76b22/gr1.jpg
https://cdn.ncbi.nlm.nih.gov/pmc/blobs/7c34/9404257/4f956e4bdd13/gr2.jpg

相似文献

1
The first pediatric anti-lactosylceramide antibody-positive encephalomyeloradiculoneuropathy.首例小儿抗乳糖基神经酰胺抗体阳性的脑脊髓神经根神经病。
Heliyon. 2022 Aug 15;8(8):e10198. doi: 10.1016/j.heliyon.2022.e10198. eCollection 2022 Aug.
2
Pediatric anti-neutral glycosphingolipid antibodies-positive encephalomyeloradiculoneuropathy presenting with prominent brain demyelination.小儿抗中性糖鞘脂抗体阳性脑脊髓神经根神经病伴显著脑脱髓鞘表现
Brain Dev. 2023 Nov;45(10):579-582. doi: 10.1016/j.braindev.2023.07.002. Epub 2023 Jul 21.
3
A Patient With Encephalomyeloradiculoneuropathy Exhibiting a Relapsing-Remitting Clinical Course: Correlation of Serum and Cerebrospinal Fluid Anti-Neutral Glycosphingolipids Antibodies With Clinical Relapse.一名患有脑脊髓神经根神经病且临床病程呈复发-缓解型的患者:血清和脑脊液抗中性糖鞘脂抗体与临床复发的相关性
Front Neurol. 2018 Apr 4;9:206. doi: 10.3389/fneur.2018.00206. eCollection 2018.
4
Reversible Conduction Failure in Anti-lactosylceramide-antibody-positive Combined Central and Peripheral Demyelination.抗乳糖基神经酰胺抗体阳性的中枢和周围联合脱髓鞘中的可逆性传导衰竭
Front Neurol. 2019 Jun 7;10:600. doi: 10.3389/fneur.2019.00600. eCollection 2019.
5
Anti-Lactosylceramide antibody positive combined central peripheral demyelination emerging from long-standing juvenile-onset chronic inflammatory polyradiculoneuropathy; a report of two cases.抗乳酰基鞘氨醇抗体阳性的慢性炎症性多发性神经病合并中枢-周围脱髓鞘病变:两例报告
J Neuroimmunol. 2023 May 15;378:578086. doi: 10.1016/j.jneuroim.2023.578086. Epub 2023 Apr 11.
6
Seropositive Neuromyelitis Optica in a Case of Undiagnosed Ankylosing Spondylitis: A Neuro-Rheumatological Conundrum.未确诊的强直性脊柱炎病例中的血清阳性视神经脊髓炎:一个神经风湿病学难题
Qatar Med J. 2022 Jul 7;2022(3):29. doi: 10.5339/qmj.2022.29. eCollection 2022.
7
Anti-neutral glycolipid antibodies in encephalomyeloradiculoneuropathy.抗中性脂多糖抗体相关性脑脊髓神经根神经病。
Neurology. 2014 Jan 14;82(2):114-8. doi: 10.1212/WNL.0000000000000015. Epub 2013 Dec 6.
8
Sphingolipid abnormalities in encephalomyeloradiculoneuropathy (EMRN) are associated with an anti-neutral glycolipid antibody.鞘脂异常在脑脊髓神经根神经病(EMRN)与抗中性神经节苷脂抗体有关。
FEBS Open Bio. 2023 Sep;13(9):1580-1586. doi: 10.1002/2211-5463.13578. Epub 2023 Mar 2.
9
[Acute myelitis associated with anti-neutral glycolipid antibody].[抗中性糖脂抗体相关的急性脊髓炎]
Rinsho Shinkeigaku. 2019 Jan 30;59(1):33-36. doi: 10.5692/clinicalneurol.cn-001219. Epub 2018 Dec 29.
10
Anti-neutral glycolipids antibody-positive combined central and peripheral demyelination mimicking encephalomyeloradiculoneuropathy phenotype.抗中性糖脂抗体阳性合并中枢和周围脱髓鞘,酷似脑脊髓神经根神经病表型。
Clin Neurol Neurosurg. 2018 Sep;172:90-92. doi: 10.1016/j.clineuro.2018.06.046. Epub 2018 Jul 3.

引用本文的文献

1
Clinical and electrophysiological features of adult patients with combined central and peripheral demyelination- a systematic review.成年中枢和周围神经联合脱髓鞘患者的临床及电生理特征——一项系统综述
Front Immunol. 2025 Jun 4;16:1572507. doi: 10.3389/fimmu.2025.1572507. eCollection 2025.
2
Combined central and peripheral demyelination: a case report resembling encephalomyeloradiculoneuropathy.中枢与周围神经联合脱髓鞘:一例类似脑脊髓神经根神经病的病例报告
Front Neurol. 2024 Jan 16;14:1288546. doi: 10.3389/fneur.2023.1288546. eCollection 2023.

本文引用的文献

1
Species-specific accumulation of ceramides in cerebrospinal fluid from encephalomyeloradiculoneurpathy patients associated with peripheral complement activation: A pilot study.与外周补体激活相关的脑脊髓神经根神经病患者脑脊液中神经酰胺的种属特异性积累:一项初步研究。
Biochim Biophys Acta Mol Cell Biol Lipids. 2022 Mar;1867(3):159092. doi: 10.1016/j.bbalip.2021.159092. Epub 2021 Dec 21.
2
Reversible Conduction Failure in Anti-lactosylceramide-antibody-positive Combined Central and Peripheral Demyelination.抗乳糖基神经酰胺抗体阳性的中枢和周围联合脱髓鞘中的可逆性传导衰竭
Front Neurol. 2019 Jun 7;10:600. doi: 10.3389/fneur.2019.00600. eCollection 2019.
3
[Acute myelitis associated with anti-neutral glycolipid antibody].
[抗中性糖脂抗体相关的急性脊髓炎]
Rinsho Shinkeigaku. 2019 Jan 30;59(1):33-36. doi: 10.5692/clinicalneurol.cn-001219. Epub 2018 Dec 29.
4
Anti-neutral glycolipids antibody-positive combined central and peripheral demyelination mimicking encephalomyeloradiculoneuropathy phenotype.抗中性糖脂抗体阳性合并中枢和周围脱髓鞘,酷似脑脊髓神经根神经病表型。
Clin Neurol Neurosurg. 2018 Sep;172:90-92. doi: 10.1016/j.clineuro.2018.06.046. Epub 2018 Jul 3.
5
[A case of acute disseminated encephalomyelitis concomitant with polyneuropathy associated with anti-lactosylceramide antibody].1例急性播散性脑脊髓炎合并多神经病伴抗乳糖酰鞘氨醇抗体
Rinsho Shinkeigaku. 2018 May 25;58(5):297-301. doi: 10.5692/clinicalneurol.cn-001131. Epub 2018 Apr 28.
6
A Patient With Encephalomyeloradiculoneuropathy Exhibiting a Relapsing-Remitting Clinical Course: Correlation of Serum and Cerebrospinal Fluid Anti-Neutral Glycosphingolipids Antibodies With Clinical Relapse.一名患有脑脊髓神经根神经病且临床病程呈复发-缓解型的患者:血清和脑脊液抗中性糖鞘脂抗体与临床复发的相关性
Front Neurol. 2018 Apr 4;9:206. doi: 10.3389/fneur.2018.00206. eCollection 2018.
7
Role of Ceramide from Glycosphingolipids and Its Metabolites in Immunological and Inflammatory Responses in Humans.糖鞘脂来源的神经酰胺及其代谢产物在人类免疫和炎症反应中的作用
Mediators Inflamm. 2015;2015:120748. doi: 10.1155/2015/120748. Epub 2015 Nov 1.
8
Regulation of astrocyte activation by glycolipids drives chronic CNS inflammation.糖脂对星形胶质细胞激活的调节驱动慢性中枢神经系统炎症。
Nat Med. 2014 Oct;20(10):1147-56. doi: 10.1038/nm.3681. Epub 2014 Sep 14.
9
Anti-neutral glycolipid antibodies in encephalomyeloradiculoneuropathy.抗中性脂多糖抗体相关性脑脊髓神经根神经病。
Neurology. 2014 Jan 14;82(2):114-8. doi: 10.1212/WNL.0000000000000015. Epub 2013 Dec 6.
10
Induction of human neutrophil chemotaxis by Candida albicans-derived beta-1,6-long glycoside side-chain-branched beta-glucan.白色念珠菌衍生的β-1,6-长糖苷侧链分支β-葡聚糖对人中性粒细胞趋化性的诱导作用。
J Leukoc Biol. 2006 Jul;80(1):204-11. doi: 10.1189/jlb.0106069. Epub 2006 May 2.