Zhang Dengshen, Wei Shan, Tao Wenhong, Liao Yuanfeng, Xiao Ruihan, Liu Daxing
Department of Cardiovascular Surgery, Affiliated Hospital of Zunyi Medical University, Zunyi, China.
Department of Ultrasonography, Affiliated Hospital of Zunyi Medical University, Zunyi, China.
Front Cardiovasc Med. 2022 Aug 23;9:928265. doi: 10.3389/fcvm.2022.928265. eCollection 2022.
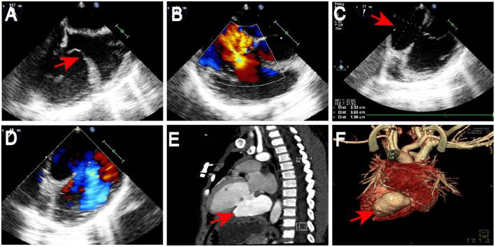
This case report is an extremely rare case of a traumatic left ventricular aneurysm in a 3-year-old child who also had tricuspid valve avulsion due to blunt trauma. The diagnostic findings and treatment protocols are discussed to provide a clinical reference.
本病例报告是一例极为罕见的3岁儿童创伤性左心室动脉瘤病例,该患儿还因钝性创伤导致三尖瓣撕脱。文中讨论了诊断结果和治疗方案,以提供临床参考。