Centre for Endocrinology, William Harvey Research Institute, Queen Mary University of London, London, UK.
Department of Endocrinology, Postgraduate Institute of Medical Education and Research, Chandigarh, India.
Acta Neuropathol Commun. 2022 Sep 16;10(1):138. doi: 10.1186/s40478-022-01441-5.
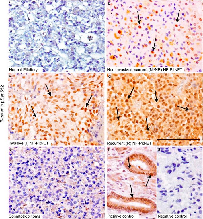
Non-functioning pituitary tumours (NF-PitNETs) are common intracranial benign neoplasms that can exhibit aggressive behaviour by invading neighbouring structures and, in some cases, have multiple recurrences. Despite resulting in severe co-morbidities, no predictive biomarkers of recurrence have been identified for NF-PitNETs. In this study we have used high-throughput mass spectrometry-based analysis to examine the phosphorylation pattern of different subsets of NF-PitNETs. Based on histopathological, radiological, surgical and clinical features, we have grouped NF-PitNETs into non-invasive, invasive, and recurrent disease groups. Tumour recurrence was determined based on regular clinical and radiological data of patients for a mean follow-up of 10 years (SD ± 5.4 years). Phosphoproteomic analyses identified a unique phosphopeptide enrichment pattern which correlates with disease recurrence. Candidate phosphorylated proteins were validated in a large cohort of NF-PitNET patients by western blot and immunohistochemistry. We identified a cluster of 22 phosphopeptides upregulated in recurrent NF-PitNETs compared to non-invasive and invasive subgroups. We reveal significant phosphorylation of the β-catenin at Ser552 in recurrent and invasive NF-PitNETs, compared to non-invasive/non-recurrent NF-PitNET subgroup. Moreover, β-catenin pSer552 correlates with the recurrence free survival among 200 patients with NF-PitNET. Together, our results suggest that the phosphorylation status of β-catenin at Ser552 could act as potential biomarker of tumour recurrence in NF-PitNETs.
无功能垂体腺瘤(NF-PitNETs)是常见的颅内良性肿瘤,可通过侵犯邻近结构表现出侵袭性行为,在某些情况下会多次复发。尽管导致严重的合并症,但尚未确定 NF-PitNETs 复发的预测性生物标志物。在这项研究中,我们使用基于高通量质谱的分析方法检查了不同 NF-PitNETs 亚群的磷酸化模式。根据组织病理学、影像学、手术和临床特征,我们将 NF-PitNETs 分为非侵袭性、侵袭性和复发性疾病组。肿瘤复发是根据患者的定期临床和放射学数据确定的,平均随访 10 年(标准差±5.4 年)。磷酸蛋白质组学分析确定了一种与疾病复发相关的独特磷酸肽富集模式。候选磷酸化蛋白通过 Western blot 和免疫组织化学在大量 NF-PitNET 患者中进行了验证。与非侵袭性和侵袭性亚组相比,我们在复发性 NF-PitNET 中发现了一组 22 个上调的磷酸肽。与非侵袭性/非复发性 NF-PitNET 亚组相比,我们揭示了复发性和侵袭性 NF-PitNET 中β-catenin 丝氨酸 552 的显著磷酸化。此外,β-catenin pSer552 与 200 例 NF-PitNET 患者的无复发生存相关。总之,我们的研究结果表明,β-catenin 丝氨酸 552 的磷酸化状态可能是 NF-PitNETs 肿瘤复发的潜在生物标志物。